Suppr超能文献

图文并茂的文章:胎儿脑部的磁共振成像

Pictorial essay: MRI of the fetal brain.

作者信息

B Ganesh Rao, Ramamurthy Bs

出版信息

Indian J Radiol Imaging. 2009 Feb;19(1):69-74. doi: 10.4103/0971-3026.45349.

Abstract

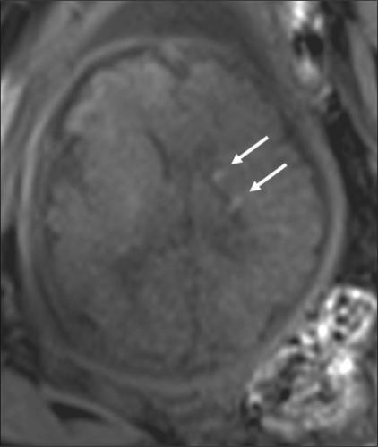
MRI is a useful supplement to USG for the assessment of fetal brain malformations. Superior soft tissue contrast and the ability to depict sulcation and myelination are the strengths of MRI. Subtle or inconclusive USG abnormalities can be confirmed or ruled out by MRI. In some cases, additional findings detected with MRI often help in arriving at a definitive diagnosis, which is necessary for parental counseling and for guiding management. Fast T2W sequences form the basis of fetal MRI. There have been no reports of deleterious effects of MRI on the fetus. A few case examples are presented to illustrate the advantages of MRI.

摘要

磁共振成像(MRI)是超声检查(USG)评估胎儿脑畸形的有用补充。MRI的优势在于软组织对比度高以及能够描绘脑沟和髓鞘形成。MRI可以确认或排除超声检查中细微或不确定的异常情况。在某些情况下,MRI检测到的其他发现通常有助于做出明确诊断,这对于向父母提供咨询和指导治疗至关重要。快速T2加权序列是胎儿MRI的基础。目前尚无关于MRI对胎儿有害影响的报道。本文列举了一些病例来说明MRI的优势。

https://cdn.ncbi.nlm.nih.gov/pmc/blobs/83b3/2747421/ff797fc6dad7/IJRI-19-69-g001.jpg

文献AI研究员

20分钟写一篇综述,助力文献阅读效率提升50倍。

立即体验

用中文搜PubMed

大模型驱动的PubMed中文搜索引擎

马上搜索

文档翻译

学术文献翻译模型,支持多种主流文档格式。

立即体验