Suppr超能文献

胸腔镜治疗脓胸

Thoracoscopic management of empyema thoracis.

作者信息

Wait Michael A, Beckles Daniel L, Paul Michelle, Hotze Margaret, Dimaio Michael J

机构信息

Department of Cardiovascular and Thoracic Surgery, University of Texas, Southwestern Medical Center, Dallas, Texas, USA.

出版信息

J Minim Access Surg. 2007 Oct;3(4):141-8. doi: 10.4103/0972-9941.38908.

Abstract

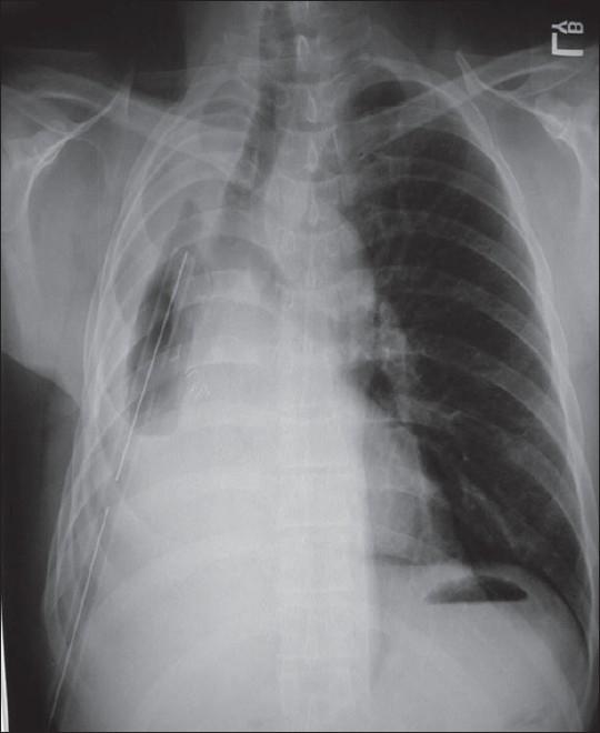
Appropriate management of empyema thoracis is dependent upon a secure diagnosis of the etiology of empyema and the phase of development. Minimal access surgery using video-assisted thoracoscopy (VATS) is one of many useful techniques in treating empyema. Complex empyema requires adjunctive treatment in addition to VATS.

摘要

脓胸的恰当管理取决于对脓胸病因及发展阶段的准确诊断。使用电视辅助胸腔镜(VATS)的微创手术是治疗脓胸的众多有效技术之一。复杂脓胸除了VATS外还需要辅助治疗。

https://cdn.ncbi.nlm.nih.gov/pmc/blobs/84a2/2749197/4b938e86a75d/JMAS-03-141-g001.jpg

文献检索

告别复杂PubMed语法,用中文像聊天一样搜索,搜遍4000万医学文献。AI智能推荐,让科研检索更轻松。

立即免费搜索

文件翻译

保留排版,准确专业,支持PDF/Word/PPT等文件格式,支持 12+语言互译。

免费翻译文档

深度研究

AI帮你快速写综述,25分钟生成高质量综述,智能提取关键信息,辅助科研写作。

立即免费体验