Suppr超能文献

一名骨骼成熟患者复发性跟骨骨软骨瘤:病例报告

A calcaneal osteochondroma with recurrence in a skeletally mature patient: a case report.

作者信息

Koplay Mustafa, Toker Serdar, Sahin Levent, Kilincoglu Volkan

机构信息

1 Department of Radiology, Medical Faculty, Dumlupinar University, Kutahya, Turkey.

出版信息

Cases J. 2009 Jun 23;2:7013. doi: 10.4076/1757-1627-2-7013.

Abstract

INTRODUCTION

Osteochondroma is the most common benign tumor of the skeleton. However, calcaneal osteochondroma is very rare. Osteochondromas grow during childhood through adolescence, but usually growing ends when the epiphyseal plates close. In an adult, growth of an osteochondroma suggests the diagnosis of malignant transformation to a chondrosarcoma. However, enlargement of an osteochondroma reported as benign after skeletal maturity is present in literature.

CASE PRESENTATION

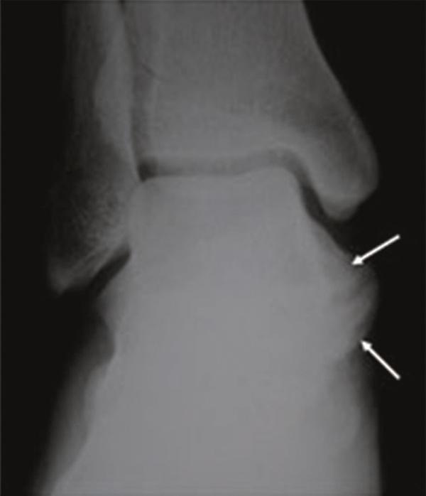
We report the clinical and radiologic findings of a calcaneal osteochondroma with an extremely rare placement and painfull, rapid reccurence following surgical excision in a skeletally mature female. The lesion showed growth the first-operation later and was re-operated. Histopathological examination did not show malignancy.

CONCLUSION

It should kept in mind that benign osteochondromas can show symptomatic growth in skeletally mature patients without malignant transformation.

摘要

引言

骨软骨瘤是骨骼最常见的良性肿瘤。然而,跟骨骨软骨瘤非常罕见。骨软骨瘤在儿童期至青春期生长,但通常在骨骺板闭合时停止生长。在成年人中,骨软骨瘤的生长提示恶变成为软骨肉瘤。然而,文献中报道了骨骼成熟后被诊断为良性的骨软骨瘤出现增大的情况。

病例报告

我们报告了一名骨骼成熟女性跟骨骨软骨瘤的临床和影像学表现,该肿瘤位置极其罕见,手术切除后疼痛且迅速复发。病变在首次手术后出现生长并再次接受手术。组织病理学检查未显示恶性。

结论

应记住,良性骨软骨瘤在骨骼成熟患者中可出现有症状的生长,而无恶变。

https://cdn.ncbi.nlm.nih.gov/pmc/blobs/5057/2740046/efe41bb250d1/1757-1626-0002-0000007013-1.jpg

文献检索

告别复杂PubMed语法,用中文像聊天一样搜索,搜遍4000万医学文献。AI智能推荐,让科研检索更轻松。

立即免费搜索

文件翻译

保留排版,准确专业,支持PDF/Word/PPT等文件格式,支持 12+语言互译。

免费翻译文档

深度研究

AI帮你快速写综述,25分钟生成高质量综述,智能提取关键信息,辅助科研写作。

立即免费体验