Suppr超能文献

SA12作为南非大狒狒的一种与猿猴病毒40相关的乳头瘤多瘤空泡病毒的特性描述。

Characterization of SA12 as a simian virus 40-related papovavirus of chacma baboons.

作者信息

Valis J D, Newell N, Reissig M, Malherbe H, Kaschula V R, Shah K V

出版信息

Infect Immun. 1977 Oct;18(1):247-52. doi: 10.1128/iai.18.1.247-252.1977.

Abstract

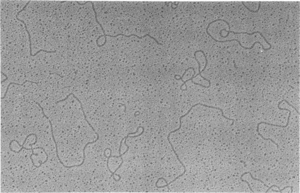
SA12 virus, originally isolated from an uninoculated South African vervet monkey kidney culture, was identified as a new member of the simian virus 40 (SV40)-polyoma subgroup of papovaviruses. The virus produced a cytopathic effect with nuclear enlargement in primary rhesus kidney cells. The virion had papovavirus morphology and a diameter of 44 to 45 nm. The DNA of the virus was a circular, double-stranded, superhelical molecule with a mean length 101% that of SV40 DNA and an estimated molecular weight of 3.3 X 10(6). The virus was found to be unrelated to other papovaviruses by neutralization, immune electron microscopy, and immunofluorescence tests with antiviral sera. SA12 virus-infected cells exhibited a capsid antigen, which has recently been found to be common to viruses of the SV40-polyoma subgroup. The virus readily transformed kideny cells from 10-day-old hamsters. Inoculation of transformed cells produced tumors in 3- to 4-week-old hamsters. The T antigens of SA12 and SV40 viruses were strongly and reciprocally cross-reactive. A high proportion of the sera of chacma baboons, Papio ursinus, and a comparatively lower proportion of the sera of vervet monkeys, Cercopithecus pygerythrus, had neutralizing antibodies to SA12 virus

摘要

SA12病毒最初从一株未接种的南非绿猴肾细胞培养物中分离得到,被鉴定为乳头瘤病毒中猿猴病毒40(SV40)-多瘤病毒亚组的一个新成员。该病毒在恒河猴原代肾细胞中产生核肿大的细胞病变效应。病毒粒子具有乳头瘤病毒形态,直径为44至45纳米。病毒的DNA是一个环状双链超螺旋分子,平均长度为SV40 DNA的101%,估计分子量为3.3×10⁶。通过中和试验、免疫电镜以及用抗病毒血清进行的免疫荧光试验发现,该病毒与其他乳头瘤病毒无关。SA12病毒感染的细胞表现出一种衣壳抗原,最近发现这种抗原是SV40-多瘤病毒亚组病毒所共有的。该病毒很容易转化10日龄仓鼠的肾细胞。接种转化细胞可在3至4周龄的仓鼠中诱发肿瘤。SA12病毒和SV40病毒的T抗原具有强烈的相互交叉反应性。南非大狒狒(Papio ursinus)血清中有很大比例、黑长尾猴(Cercopithecus pygerythrus)血清中有相对较低比例的血清具有针对SA12病毒的中和抗体。

https://cdn.ncbi.nlm.nih.gov/pmc/blobs/4130/421220/c23975ab5892/iai00214-0259-a.jpg

文献检索

告别复杂PubMed语法,用中文像聊天一样搜索,搜遍4000万医学文献。AI智能推荐,让科研检索更轻松。

立即免费搜索

文件翻译

保留排版,准确专业,支持PDF/Word/PPT等文件格式,支持 12+语言互译。

免费翻译文档

深度研究

AI帮你快速写综述,25分钟生成高质量综述,智能提取关键信息,辅助科研写作。

立即免费体验