Suppr超能文献

RNA 聚合酶的分子机制——F/E(RPB4/7)复合物对于体外的高延伸性是必需的。

Molecular mechanisms of RNA polymerase--the F/E (RPB4/7) complex is required for high processivity in vitro.

机构信息

Division of Biosciences, Institute for Structural and Molecular Biology, University College London, Darwin Building, Gower Street, London WC1E 6BT, UK.

出版信息

Nucleic Acids Res. 2010 Jan;38(2):585-96. doi: 10.1093/nar/gkp928. Epub 2009 Nov 11.

Abstract

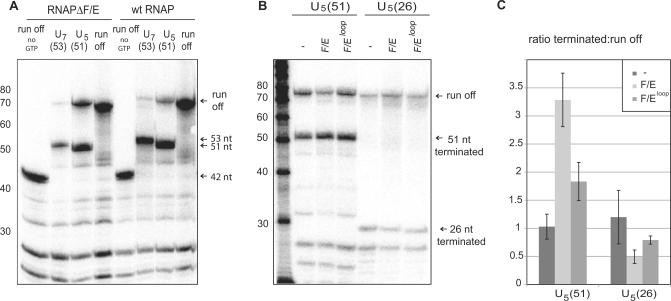
Transcription elongation in vitro is affected by the interactions between RNA polymerase (RNAP) subunits and the nucleic acid scaffold of the ternary elongation complex (TEC, RNAP-DNA-RNA). We have investigated the role of the RNAP subunits F/E (homologous to eukaryotic RPB4/7) during transcription elongation and termination using a wholly recombinant archaeal RNAP and synthetic nucleic acid scaffolds. The F/E complex greatly stimulates the processivity of RNAP, it enhances the formation of full length products, reduces pausing, and increases transcription termination facilitated by weak termination signals. Mutant variants of F/E that are defective in RNA binding show that these activities correlate with the nucleic acid binding properties of F/E. However, a second RNA-binding independent component also contributes to the stimulatory activities of F/E. In summary, our results suggest that interactions between RNAP subunits F/E and the RNA transcript are pivotal to the molecular mechanisms of RNAP during transcription elongation and termination.

摘要

体外转录延伸受 RNA 聚合酶 (RNAP) 亚基与三元延伸复合物 (TEC,RNAP-DNA-RNA) 核酸支架之间相互作用的影响。我们使用全重组古菌 RNAP 和合成核酸支架研究了 RNAP 亚基 F/E(与真核生物 RPB4/7 同源)在转录延伸和终止过程中的作用。F/E 复合物极大地促进了 RNAP 的持续性,它增强全长产物的形成,减少暂停,并增加由弱终止信号促进的转录终止。在 RNA 结合中存在缺陷的 F/E 突变体表明,这些活性与 F/E 的核酸结合特性相关。然而,第二个与 RNA 结合无关的成分也为 F/E 的刺激活性做出了贡献。总之,我们的结果表明,RNAP 亚基 F/E 之间的相互作用与 RNA 转录物之间的相互作用对于 RNAP 在转录延伸和终止过程中的分子机制至关重要。

https://cdn.ncbi.nlm.nih.gov/pmc/blobs/b945/2811020/5a69ccabf0a5/gkp928f1.jpg

文献检索

告别复杂PubMed语法,用中文像聊天一样搜索,搜遍4000万医学文献。AI智能推荐,让科研检索更轻松。

立即免费搜索

文件翻译

保留排版,准确专业,支持PDF/Word/PPT等文件格式,支持 12+语言互译。

免费翻译文档

深度研究

AI帮你快速写综述,25分钟生成高质量综述,智能提取关键信息,辅助科研写作。

立即免费体验