Suppr超能文献

在兔皮肤溃疡模型中,生长因子通过直接和诱导活性促进组织修复。

Growth factor-induced acceleration of tissue repair through direct and inductive activities in a rabbit dermal ulcer model.

作者信息

Mustoe T A, Pierce G F, Morishima C, Deuel T F

机构信息

Department of Surgery, Jewish Hospital, Washington University Medical Center, St. Louis, Missouri 63110.

出版信息

J Clin Invest. 1991 Feb;87(2):694-703. doi: 10.1172/JCI115048.

Abstract

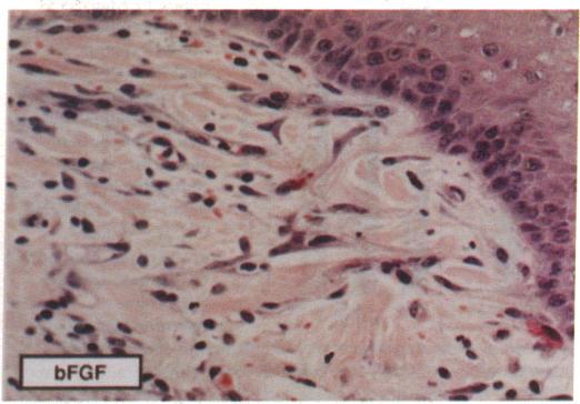
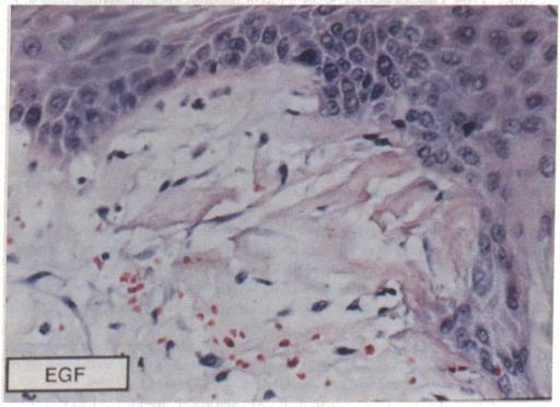
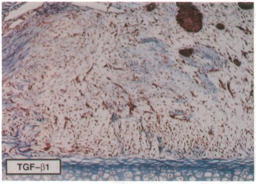
The roles of polypeptide growth factors in promoting wound healing and in directing the specificity and sequence of responses of different tissues in wounds are little understood. We investigated the influence of four growth factors on the rates of healing of a novel full thickness dermal ulcer placed on an avascular base in the rabbit ear. The wound model precludes significant wound contraction and requires new granulation tissue and epithelial cells for healing to originate centripetally. 5 micrograms (7-31 pmol/mm2) of platelet-derived growth factor-B chain (PDGF-BB), basic fibroblast growth factor (bFGF), and epidermal growth factor (EGF) applied locally at the time of wounding resulted in a twofold increase in complete reepithelialization of treated wounds (PDGF-BB, P = 0.02 chi square analysis; bFGF, P = 0.04; EGF, P = 0.05); transforming growth factor (TGF)-beta 1 significantly inhibited reepithelialization (P = 0.05). Both PDGF-BB and TGF-beta 1 uniquely increased the depth and area of new granulation tissue (P less than 0.005), the influx of fibroblasts, and the deposition of new matrix into wounds. Explants from 7-d old PDGF-BB-treated wounds remained metabolically far more active than controls, incorporating 473% more [3H]thymidine into DNA (P = 0.05) and significantly more [3H]leucine and [3H]proline into collagenase-sensitive protein (P = 0.04). The results establish that polypeptide growth factors have significant and selective positive influences on healing of full thickness ulcers in the rabbit.

摘要

多肽生长因子在促进伤口愈合以及指导伤口中不同组织反应的特异性和顺序方面,人们了解甚少。我们研究了四种生长因子对放置在兔耳无血管基底上的新型全层真皮溃疡愈合速度的影响。该伤口模型可防止明显的伤口收缩,且愈合需要新的肉芽组织和上皮细胞向心起源。在受伤时局部应用5微克(7 - 31皮摩尔/平方毫米)的血小板衍生生长因子 - B链(PDGF - BB)、碱性成纤维细胞生长因子(bFGF)和表皮生长因子(EGF),可使治疗伤口的完全再上皮化增加两倍(PDGF - BB,卡方分析P = 0.02;bFGF,P = 0.04;EGF,P = 0.05);转化生长因子(TGF) - β1显著抑制再上皮化(P = 0.05)。PDGF - BB和TGF - β1均独特地增加了新肉芽组织的深度和面积(P < 0.005)、成纤维细胞的流入以及伤口中新基质的沉积。来自7日龄PDGF - BB处理伤口的外植体在代谢上比对照活跃得多,将多473%的[3H]胸腺嘧啶掺入DNA(P = 0.05),并将显著更多的[3H]亮氨酸和[3H]脯氨酸掺入对胶原酶敏感的蛋白质中(P = 0.04)。结果表明,多肽生长因子对兔全层溃疡的愈合具有显著且选择性的积极影响。

https://cdn.ncbi.nlm.nih.gov/pmc/blobs/8ea1/296361/d3abe0571b27/jcinvest00057-0323-a.jpg

文献检索

告别复杂PubMed语法,用中文像聊天一样搜索,搜遍4000万医学文献。AI智能推荐,让科研检索更轻松。

立即免费搜索

文件翻译

保留排版,准确专业,支持PDF/Word/PPT等文件格式,支持 12+语言互译。

免费翻译文档

深度研究

AI帮你快速写综述,25分钟生成高质量综述,智能提取关键信息,辅助科研写作。

立即免费体验