• 文献检索
  • 文档翻译
  • 深度研究
  • 学术资讯
  • Suppr Zotero 插件Zotero 插件
  • 邀请有礼
  • 套餐&价格
  • 历史记录
应用&插件
Suppr Zotero 插件Zotero 插件浏览器插件Mac 客户端Windows 客户端微信小程序
定价
高级版会员购买积分包购买API积分包
服务
文献检索文档翻译深度研究API 文档MCP 服务
关于我们
关于 Suppr公司介绍联系我们用户协议隐私条款
关注我们

Suppr 超能文献

核心技术专利:CN118964589B侵权必究
粤ICP备2023148730 号-1Suppr @ 2026

文献检索

告别复杂PubMed语法,用中文像聊天一样搜索,搜遍4000万医学文献。AI智能推荐,让科研检索更轻松。

立即免费搜索

文件翻译

保留排版,准确专业,支持PDF/Word/PPT等文件格式,支持 12+语言互译。

免费翻译文档

深度研究

AI帮你快速写综述,25分钟生成高质量综述,智能提取关键信息,辅助科研写作。

立即免费体验

具有特征性黏液分泌的肝细胞癌:一例报告

Hepatocellular carcinoma with characteristic mucin production: a case report.

作者信息

Lee Kyung Hwa, Kim Young Bog, Cho Sung Bum, Lee Min Cheol, Park Chang Soo, Lee Jae Hyuk

机构信息

Department of Pathology, Seonam University, College of Medicine, #720, Gwangchi-dong, Namwon, Jeollanamdo, 590-711, Republic of Korea.

出版信息

Cases J. 2009 Aug 25;2:6789. doi: 10.4076/1757-1626-2-6789.

DOI:10.4076/1757-1626-2-6789
PMID:19918544
原文链接:https://pmc.ncbi.nlm.nih.gov/articles/PMC2769314/
Abstract

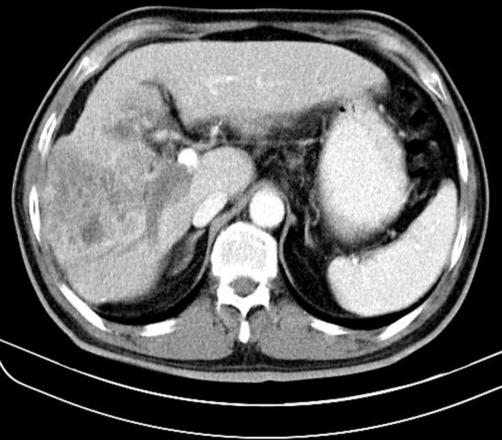
We present a unique case of hepatocellular carcinoma with mucin-producing gland formation. A 53-year-old man with hepatitis B infection presented with weight loss for the past month. Computed tomography demonstrated a 10 x 9.8 cm mass in the right hepatic lobe accompanied by cirrhotic changes in the hepatic parenchyma. Right hepatectomy was performed, and the tumor cut surface showed a poorly-circumscribed, white to pink tumor with numerous nodules and extensive necrosis. Microscopically, the tumor was composed of thick trabeculae and large, irregularly-shaped islands, both of which were filled with pleomorphic eosinophilic hepatoid cells or gland-forming columnar cells with mucin production. Those cells were immunoreactive for cytokeratin 19 in both the trabeculae and the glands. In some tumor cells, limited immunoreactivity for cytokeratin 7, epithelial membrane antigen and carcinoembryonic antigen was noted. The cells forming thick trabeculae were focally positive for hepatocyte paraffin 1 and alpha-fetoprotein. We suggest that this tumor shows bidirectional differentiation into hepatocytes and cholangiocytes, supporting the concepts that human hepatocarcinogenesis can be based on transformation of progenitor cells which can imply divergent differentiation.

摘要

我们报告一例独特的伴有黏液生成性腺形成的肝细胞癌病例。一名53岁的乙型肝炎感染男性患者,出现了过去一个月体重减轻的症状。计算机断层扫描显示右肝叶有一个10×9.8厘米的肿块,肝实质伴有肝硬化改变。进行了右肝切除术,肿瘤切面显示边界不清,呈白色至粉红色,有许多结节和广泛坏死。显微镜下,肿瘤由粗大的小梁和大的、不规则形状的岛状结构组成,两者均充满多形性嗜酸性肝样细胞或产生黏液的腺形成柱状细胞。这些细胞在小梁和腺体内对细胞角蛋白19均呈免疫反应阳性。在一些肿瘤细胞中,观察到对细胞角蛋白7、上皮膜抗原和癌胚抗原有有限的免疫反应。形成粗大小梁的细胞对肝细胞石蜡1和甲胎蛋白呈局灶性阳性。我们认为该肿瘤表现出向肝细胞和胆管细胞的双向分化,支持人类肝癌发生可基于祖细胞转化这一观点,而祖细胞转化可能意味着不同的分化。

https://cdn.ncbi.nlm.nih.gov/pmc/blobs/4501/2769314/b9473319b477/1757-1626-0002-0000006789-003.jpg
https://cdn.ncbi.nlm.nih.gov/pmc/blobs/4501/2769314/6ba03e230be5/1757-1626-0002-0000006789-001.jpg
https://cdn.ncbi.nlm.nih.gov/pmc/blobs/4501/2769314/9d9abf0d1320/1757-1626-0002-0000006789-002.jpg
https://cdn.ncbi.nlm.nih.gov/pmc/blobs/4501/2769314/b9473319b477/1757-1626-0002-0000006789-003.jpg
https://cdn.ncbi.nlm.nih.gov/pmc/blobs/4501/2769314/6ba03e230be5/1757-1626-0002-0000006789-001.jpg
https://cdn.ncbi.nlm.nih.gov/pmc/blobs/4501/2769314/9d9abf0d1320/1757-1626-0002-0000006789-002.jpg
https://cdn.ncbi.nlm.nih.gov/pmc/blobs/4501/2769314/b9473319b477/1757-1626-0002-0000006789-003.jpg

相似文献

1
Hepatocellular carcinoma with characteristic mucin production: a case report.具有特征性黏液分泌的肝细胞癌:一例报告
Cases J. 2009 Aug 25;2:6789. doi: 10.4076/1757-1626-2-6789.
2
Primary liver cancer with bidirectional differentiation into hepatocytes and biliary epithelium.原发性肝癌,具有双向分化为肝细胞和胆管上皮细胞的特征。
J Hepatobiliary Pancreat Surg. 2005;12(6):484-7. doi: 10.1007/s00534-005-1010-3.
3
Immunohistochemical characterization of multicentric hepatocholangiocellular adenoma in a pig.
J Vet Diagn Invest. 2014 May;26(3):448-452. doi: 10.1177/1040638714525626. Epub 2014 Mar 12.
4
Hepatocyte paraffin 1 antibody does not distinguish primary ovarian tumors with hepatoid differentiation from metastatic hepatocellular carcinoma.肝细胞石蜡1抗体无法区分具有肝样分化的原发性卵巢肿瘤与转移性肝细胞癌。
Int J Gynecol Pathol. 2004 Jan;23(1):58-64. doi: 10.1097/01.pgp.0000101141.31270.a1.
5
Hepatoid variant of yolk sac tumor of the testis.睾丸卵黄囊瘤的肝样变体。
Pathol Int. 2000 Sep;50(9):754-8. doi: 10.1046/j.1440-1827.2000.01102.x.
6
Hepatocellular carcinoma with mesothelioma-like dissemination.伴有间皮瘤样播散的肝细胞癌
Pathol Int. 2005 Nov;55(11):738-44. doi: 10.1111/j.1440-1827.2005.01897.x.
7
Adenoendocrine cell carcinoma of the gallbladder producing a high level of alpha-fetoprotein.产生高水平甲胎蛋白的胆囊腺内分泌细胞癌。
Clin J Gastroenterol. 2012 Aug;5(4):261-7. doi: 10.1007/s12328-012-0311-8. Epub 2012 Jun 7.
8
Hepatoid thymic carcinoma: a case report of a rare subtype of thymic carcinoma.肝样胸腺癌:一例罕见胸腺癌亚型的病例报告
J Pathol Transl Med. 2021 May;55(3):230-234. doi: 10.4132/jptm.2021.03.10. Epub 2021 Apr 14.
9
A mixed hepatocellular carcinoma and cholangiocarcinoma: dual expression of biliary-type cytokeratin and hepatocyte specific marker.混合性肝细胞癌和胆管癌:胆管型细胞角蛋白与肝细胞特异性标志物的双重表达
Hepatogastroenterology. 2004 May-Jun;51(57):839-41.
10
Hepatoid adenocarcinoma of the urinary bladder.膀胱肝样腺癌
Virchows Arch. 2003 Apr;442(4):381-7. doi: 10.1007/s00428-003-0772-8. Epub 2003 Mar 25.

本文引用的文献

1
Immunohistologic attempt to find carcinogenesis from hepatic progenitor cell in hepatocellular carcinoma.通过免疫组织学方法探寻肝细胞癌中肝祖细胞的致癌机制。
Dig Surg. 2005;22(5):364-70. doi: 10.1159/000090515. Epub 2005 Dec 22.
2
Hepatic 'stem cell' malignancies in adults: four cases.成人肝“干细胞”恶性肿瘤:4例
Histopathology. 2003 Sep;43(3):263-71. doi: 10.1046/j.1365-2559.2003.01707.x.
3
Combined hepatocellular-cholangiocarcinoma: a histopathologic, immunohistochemical, and in situ hybridization study.肝细胞-胆管细胞癌合并症:一项组织病理学、免疫组织化学及原位杂交研究
Am J Surg Pathol. 2002 Aug;26(8):989-97. doi: 10.1097/00000478-200208000-00003.
4
Diagnostic implications of albumin messenger RNA detection and cytokeratin pattern in benign hepatic lesions and biliary cystadenocarcinoma.白蛋白信使核糖核酸检测及细胞角蛋白模式在良性肝脏病变和胆管囊腺癌中的诊断意义
Diagn Mol Pathol. 1998 Dec;7(6):289-94. doi: 10.1097/00019606-199812000-00001.
5
Primary liver tumour of intermediate (hepatocyte-bile duct cell) phenotype: a progenitor cell tumour?具有中间型(肝细胞-胆管细胞)表型的原发性肝肿瘤:一种祖细胞肿瘤?
Liver. 1998 Aug;18(4):288-93. doi: 10.1111/j.1600-0676.1998.tb00168.x.
6
A clinicopathological study on combined hepatocellular and cholangiocarcinoma.肝细胞癌与胆管癌合并的临床病理研究
J Gastroenterol Hepatol. 1996 Aug;11(8):758-64. doi: 10.1111/j.1440-1746.1996.tb00327.x.
7
Classification of hepatocellular carcinoma according to hepatocellular and biliary differentiation markers. Clinical and biological implications.根据肝细胞和胆管分化标志物对肝细胞癌进行分类。临床及生物学意义。
Am J Pathol. 1996 Oct;149(4):1167-75.
8
Identification of bipotential progenitor cells in human liver development.人类肝脏发育中双能祖细胞的鉴定。
Hepatology. 1996 Mar;23(3):476-81. doi: 10.1002/hep.510230312.
9
The role of determined stem-cells in the cellular lineage of hepatocellular carcinoma.定向干细胞在肝细胞癌细胞谱系中的作用。
Int J Dev Biol. 1993 Mar;37(1):189-201.