Suppr超能文献

GSK-3alpha 突变型小鼠的脑结构和行为异常。

Abnormalities in brain structure and behavior in GSK-3alpha mutant mice.

机构信息

Samuel Lunenfeld Research Institute, Mount Sinai Hospital, Toronto, ON M5G 1X5, Canada.

出版信息

Mol Brain. 2009 Nov 19;2:35. doi: 10.1186/1756-6606-2-35.

Abstract

BACKGROUND

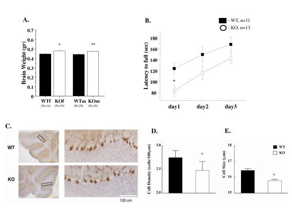
Glycogen synthase kinase-3 (GSK-3) is a widely expressed and highly conserved serine/threonine protein kinase encoded by two genes that generate two related proteins: GSK-3alpha and GSK-3beta. Mice lacking a functional GSK-3alpha gene were engineered in our laboratory; they are viable and display insulin sensitivity. In this study, we have characterized brain functions of GSK-3alpha KO mice by using a well-established battery of behavioral tests together with neurochemical and neuroanatomical analysis.

RESULTS

Similar to the previously described behaviours of GSK-3beta(+/-) mice, GSK-3alpha mutants display decreased exploratory activity, decreased immobility time and reduced aggressive behavior. However, genetic inactivation of the GSK-3alpha gene was associated with: decreased locomotion and impaired motor coordination, increased grooming activity, loss of social motivation and novelty; enhanced sensorimotor gating and impaired associated memory and coordination. GSK-3alpha KO mice exhibited a deficit in fear conditioning, however memory formation as assessed by a passive avoidance test was normal, suggesting that the animals are sensitized for active avoidance of a highly aversive stimulus in the fear-conditioning paradigm. Changes in cerebellar structure and function were observed in mutant mice along with a significant decrease of the number and size of Purkinje cells.

CONCLUSION

Taken together, these data support a role for the GSK-3alpha gene in CNS functioning and possible involvement in the development of psychiatric disorders.

摘要

背景

糖原合成酶激酶-3(GSK-3)是一种广泛表达和高度保守的丝氨酸/苏氨酸蛋白激酶,由两个基因编码,产生两种相关的蛋白质:GSK-3α 和 GSK-3β。我们实验室构建了缺乏功能性 GSK-3α 基因的小鼠模型;这些小鼠是有活力的,并且表现出胰岛素敏感性。在这项研究中,我们通过使用一系列成熟的行为测试以及神经化学和神经解剖学分析,来描述 GSK-3α KO 小鼠的大脑功能。

结果

与先前描述的 GSK-3β(+/-)小鼠行为相似,GSK-3α 突变体表现出探索活动减少、不动时间减少和攻击行为减少。然而,GSK-3α 基因的遗传失活与:运动减少和运动协调能力受损、梳理活动增加、社交动机和新奇感丧失、感觉运动门控增强以及相关记忆和协调能力受损有关。GSK-3α KO 小鼠在恐惧条件反射中表现出缺陷,但通过被动回避测试评估的记忆形成正常,这表明动物在恐惧条件反射范式中对高度厌恶刺激的主动回避变得敏感。在突变小鼠中观察到小脑结构和功能的变化,同时浦肯野细胞的数量和大小显著减少。

结论

综上所述,这些数据支持 GSK-3α 基因在中枢神经系统功能中的作用,并可能参与精神疾病的发展。

https://cdn.ncbi.nlm.nih.gov/pmc/blobs/0d26/2785804/894bc760cc73/1756-6606-2-35-1.jpg

文献检索

告别复杂PubMed语法,用中文像聊天一样搜索,搜遍4000万医学文献。AI智能推荐,让科研检索更轻松。

立即免费搜索

文件翻译

保留排版,准确专业,支持PDF/Word/PPT等文件格式,支持 12+语言互译。

免费翻译文档

深度研究

AI帮你快速写综述,25分钟生成高质量综述,智能提取关键信息,辅助科研写作。

立即免费体验