Suppr超能文献

使用双重逆转录聚合酶链反应比较与年龄相关的猪内源性逆转录病毒(PERV)表达

Comparison of the age-related porcine endogenous retrovirus (PERV)expression using duplex RT-PCR.

作者信息

Moon Hyoung Joon, Kim Hye Kwon, Park Seong Jun, Lee Chul Seung, Song Dae Sub, Kang Bo Kyu, Park Bong Kyun

机构信息

Department of Veterinary Medicine Virology Lab, College of Veterinary Medicine and BK21 Program for Veterinary Science, Seoul National University, Seoul 151-742, Korea.

出版信息

J Vet Sci. 2009 Dec;10(4):317-22. doi: 10.4142/jvs.2009.10.4.317.

Abstract

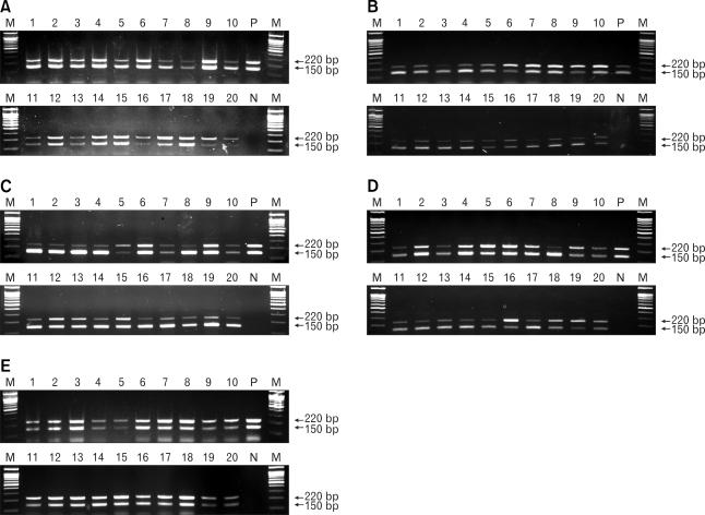
Porcine endogenous retroviruses (PERVs) are members of family Retroviridae, genus Gamma retrovirus, and transmitted by both horizontally and vertically like other endogenous retroviruses (ERVs). PERV was initially described in the 1970s having inserted its gene in the host genome of different pig breeds, and three classes, PERV-A, PERV-B, and PERV-C are known. The therapeutic use of living cells, tissues, and organs from animals called xenotransplantation might relieve the limited supply of allografts in the treatment of organ dysfunction. Because of ethical considerations, compatible organ sizes, and physiology, the pig has been regarded as an alternative source for xenotransplantation. Sensitive duplex reverse transcription-polymerase chain reaction protocols for simultaneously detecting PERV gag mRNA and porcine glyceraldehydes 3-phosphate dehydrogenase mRNA in one tube was established. To compare the age-related PERV expression patterns of the lung, liver, spleen, kidney, heart, and pancreas in commercial pigs, 20 pigs from four age groups (5 heads each in 10 days-, 40 days-, 70 days-, and 110 days-old, respectively) were used in this study. The expression patterns of PERV were statistically different among age groups in lung, liver, and kidney (ANOVA, p < 0.05). These data may support in the selection of appropriate donor pigs expressing low levels of PERV mRNA.

摘要

猪内源性逆转录病毒(PERVs)是逆转录病毒科γ逆转录病毒属的成员,与其他内源性逆转录病毒(ERVs)一样通过水平和垂直方式传播。PERV最初在20世纪70年代被描述,其基因已插入不同猪品种的宿主基因组中,已知有A、B、C三类。使用来自动物的活细胞、组织和器官进行治疗的异种移植可能会缓解器官功能障碍治疗中同种异体移植供应有限的问题。出于伦理考虑、器官大小适配性和生理学因素,猪已被视为异种移植的替代来源。建立了一种灵敏的双链逆转录-聚合酶链反应方案,可在同一管中同时检测PERV gag mRNA和猪甘油醛-3-磷酸脱氢酶mRNA。为了比较商品猪肺、肝、脾、肾、心和胰腺中与年龄相关的PERV表达模式,本研究使用了来自四个年龄组的20头猪(分别为10日龄、40日龄、70日龄和110日龄的猪各5头)。PERV的表达模式在肺、肝和肾的年龄组之间存在统计学差异(方差分析,p<0.05)。这些数据可能有助于选择表达低水平PERV mRNA的合适供体猪。

https://cdn.ncbi.nlm.nih.gov/pmc/blobs/f162/2807268/306ebf08ea00/jvs-10-317-g001.jpg

文献AI研究员

20分钟写一篇综述,助力文献阅读效率提升50倍。

立即体验

用中文搜PubMed

大模型驱动的PubMed中文搜索引擎

马上搜索

文档翻译

学术文献翻译模型,支持多种主流文档格式。

立即体验