Melcher G P, Reed K D, Rinaldi M G, Lee J W, Pizzo P A, Walsh T J
Department of Medicine, Wilford Hall U.S. Air Force Medical Center, Lackland Air Force Base, Texas 78236.
J Clin Microbiol. 1991 Jan;29(1):192-6. doi: 10.1128/jcm.29.1.192-196.1991.
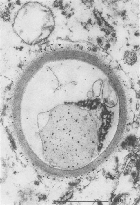
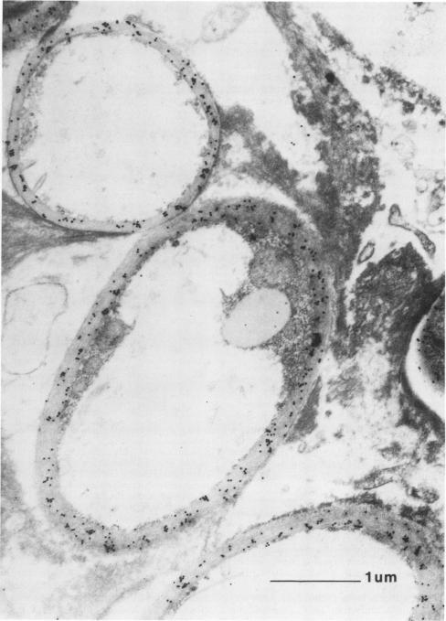
Patients with disseminated infections caused by Trichosporon beigelii have a circulating antigen that cross-reacts with the polysaccharide capsule of Cryptococcus neoformans. We studied the localization of this antigen by immunoelectron microscopy in a rabbit model of experimental disseminated trichosporonosis. Deparaffinized lung sections were examined by using a murine monoclonal anti-cryptococcal polysaccharide antibody and colloidal gold particles coated with goat antibody to murine immunoglobulin G. Antigen that cross-reacted with the monoclonal antibody was observed in the T. beigelii cell wall and in a fibrillar matrix extending from the cell wall.
由白吉利丝孢酵母引起的播散性感染患者体内有一种循环抗原,它与新型隐球菌的多糖荚膜发生交叉反应。我们通过免疫电子显微镜在实验性播散性丝孢酵母病的兔模型中研究了这种抗原的定位。使用鼠单克隆抗隐球菌多糖抗体和包被有山羊抗鼠免疫球蛋白G的胶体金颗粒检查脱蜡后的肺切片。在白吉利丝孢酵母细胞壁以及从细胞壁延伸出的纤维状基质中观察到了与单克隆抗体发生交叉反应的抗原。