Kitakawa Dárcio, Fontes Patrícia Campos, Magalhães Fernando Augusto Cintra, Almeida Janete Dias, Cabral Luiz Antonio Guimarães
Department of Bioscience and Oral Diagnosis, São José dos Campos Dental School, São Paulo State University-UNESP, São José dos Campos-SP, Brazil.
J Med Case Rep. 2009 Nov 10;3:116. doi: 10.1186/1752-1947-3-116.
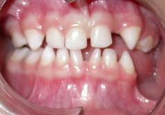
Incontinentia pigmenti or Bloch-Sulzberger syndrome is a rare X-linked dominant disease that mainly affects the skin, eyes, hair, central nervous system and teeth. The disease is predominant among women. Although dermatologic manifestations are among the most important aspects for the diagnosis of the syndrome, they are less damaging to the patient and do not require treatment. However, oral involvement characterized by hypodontia of deciduous and permanent teeth is important for the diagnosis and treatment of the patient.
We report the case of a 3-year-old girl with ophthalmologic and neurologic disturbances, cutaneous manifestations and hypodontia. Since the patient did not present more damaging manifestations such as neurologic and/or ophthalmologic problems, her most severe complications were related to dental anomalies. The importance of integrated dental treatment, which combines pediatric dentistry, orthodontics and conventional prosthesis, is emphasized.
Hypodontia is a frequent finding in incontinentia pigmenti, and dentists should be aware of this condition in order to help with the diagnosis.
色素失禁症或布洛赫 - 苏尔茨贝格综合征是一种罕见的X连锁显性疾病,主要影响皮肤、眼睛、毛发、中枢神经系统和牙齿。该疾病在女性中更为常见。尽管皮肤表现是该综合征诊断的最重要方面之一,但它们对患者的损害较小且无需治疗。然而,以乳牙和恒牙先天缺牙为特征的口腔受累情况对患者的诊断和治疗很重要。
我们报告了一名3岁女童的病例,她患有眼科和神经功能障碍、皮肤表现和先天缺牙。由于该患者未出现如神经和/或眼科问题等更具损害性的表现,她最严重的并发症与牙齿异常有关。强调了综合牙科治疗的重要性,这种治疗结合了儿童牙科、正畸学和传统修复学。
先天缺牙在色素失禁症中很常见,牙医应了解这种情况以协助诊断。