Suppr超能文献

遗传性出血性毛细血管扩张症在妊娠期间表现为高输出性心力衰竭。

Hereditary Hemorrhagic Telangiectasia Presenting as High Output Cardiac Failure during Pregnancy.

机构信息

Division of Cardiology, Providence Heart Institute, Southfield, MI 48075, USA.

出版信息

Cardiol Res Pract. 2009;2009:437237. doi: 10.4061/2009/437237. Epub 2009 Sep 7.

Abstract

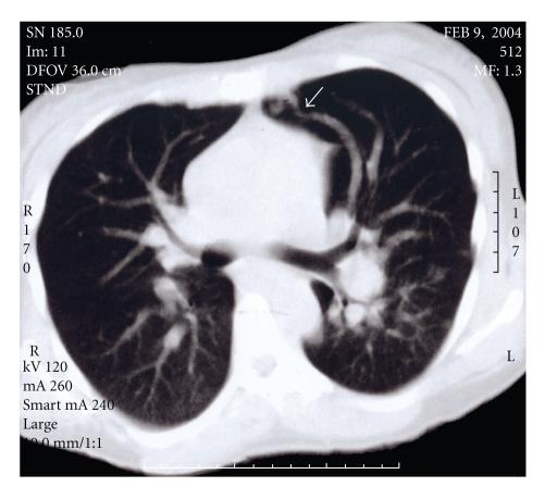
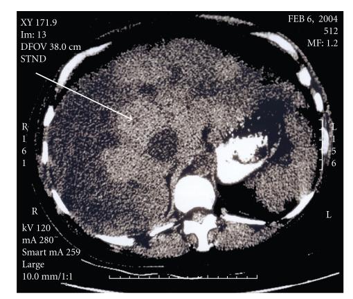
High-output cardiac failure secondary to hepatic involvement is a rare complication of hereditary hemorrhagic telangiectasia (HHT). Here we report a 43-year-old woman who presented at 29 weeks gestation of her second pregnancy with complications of right-sided heart failure and preterm labor. After delivery via cesarean section, the patient was found to have intrahepatic arteriovenous malformations through non-invasive imaging. Subsequently, a family history of vascular malformations and epistaxis was elucidated and a diagnosis of HHT was made. This case is presented, along with a review of the literature and discussion of hepatic involvement in HHT with particular focus on the pregnant patient.

摘要

继发于肝脏受累的高输出性心力衰竭是遗传性出血性毛细血管扩张症(HHT)的罕见并发症。我们在此报告了一位 43 岁的女性,她在第二次妊娠 29 周时因右侧心力衰竭和早产并发症就诊。经剖宫产分娩后,通过无创影像学检查发现患者存在肝内动静脉畸形。随后,发现存在血管畸形和鼻出血的家族史,并诊断为 HHT。本文呈现了该病例,并对文献进行了回顾,讨论了 HHT 中的肝脏受累,特别关注了孕妇患者。

https://cdn.ncbi.nlm.nih.gov/pmc/blobs/6e5b/2778442/e80df530551e/CRP2009-437237.001.jpg

文献AI研究员

20分钟写一篇综述,助力文献阅读效率提升50倍。

立即体验

用中文搜PubMed

大模型驱动的PubMed中文搜索引擎

马上搜索

文档翻译

学术文献翻译模型,支持多种主流文档格式。

立即体验