Suppr超能文献

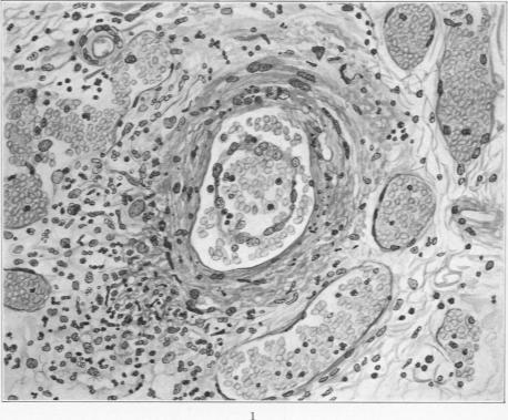
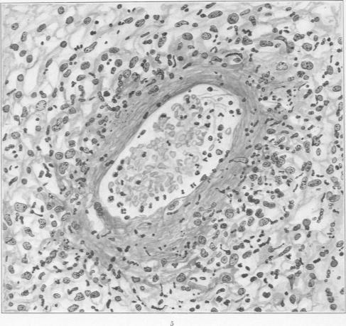
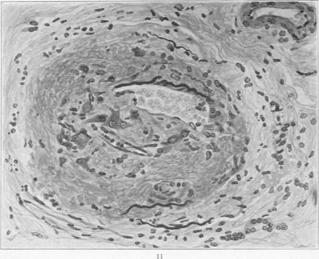
Specific Lesions of Peripheral Blood Vessels in Rheumatism.

作者信息

Vonglahn W C, Pappenheimer A M

出版信息

Am J Pathol. 1926 May;2(3):235-250.11.

Abstract
摘要
https://cdn.ncbi.nlm.nih.gov/pmc/blobs/2b14/1931756/12dade13f775/amjpathol00382-0071-a.jpg

本文引用的文献

1
Auricular Endocarditis of Rheumatic Origin.
Am J Pathol. 1926 Jan;2(1):1-14.17.

文献AI研究员

20分钟写一篇综述,助力文献阅读效率提升50倍。

立即体验

用中文搜PubMed

大模型驱动的PubMed中文搜索引擎

马上搜索

文档翻译

学术文献翻译模型,支持多种主流文档格式。

立即体验