Suppr超能文献

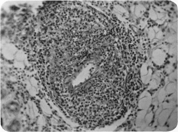
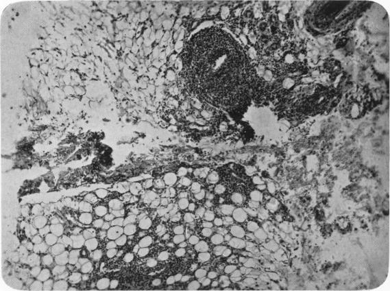
A case of periarteritis nodosa with subcutaneous lesions and recovery.

作者信息

Vining C W

出版信息

Arch Dis Child. 1938 Mar;13(73):31-44. doi: 10.1136/adc.13.73.31.

Abstract
摘要
https://cdn.ncbi.nlm.nih.gov/pmc/blobs/e87f/1975554/b17d222ee106/archdisch01472-0036-a.jpg

文献AI研究员

20分钟写一篇综述,助力文献阅读效率提升50倍。

立即体验

用中文搜PubMed

大模型驱动的PubMed中文搜索引擎

马上搜索

文档翻译

学术文献翻译模型,支持多种主流文档格式。

立即体验