• 文献检索
  • 文档翻译
  • 深度研究
  • 学术资讯
  • Suppr Zotero 插件Zotero 插件
  • 邀请有礼
  • 套餐&价格
  • 历史记录
应用&插件
Suppr Zotero 插件Zotero 插件浏览器插件Mac 客户端Windows 客户端微信小程序
定价
高级版会员购买积分包购买API积分包
服务
文献检索文档翻译深度研究API 文档MCP 服务
关于我们
关于 Suppr公司介绍联系我们用户协议隐私条款
关注我们

Suppr 超能文献

核心技术专利:CN118964589B侵权必究
粤ICP备2023148730 号-1Suppr @ 2026

文献检索

告别复杂PubMed语法,用中文像聊天一样搜索,搜遍4000万医学文献。AI智能推荐,让科研检索更轻松。

立即免费搜索

文件翻译

保留排版,准确专业,支持PDF/Word/PPT等文件格式,支持 12+语言互译。

免费翻译文档

深度研究

AI帮你快速写综述,25分钟生成高质量综述,智能提取关键信息,辅助科研写作。

立即免费体验

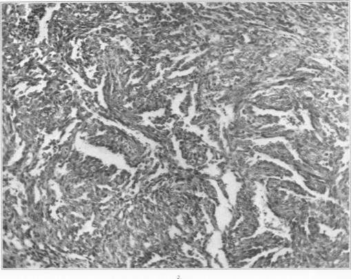
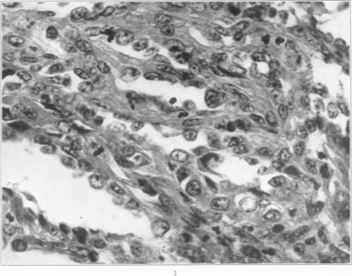
A Malignant Hemangioma of the Lung with Multiple Metastases.

作者信息

Hall E M

出版信息

Am J Pathol. 1935 Mar;11(2):343-352.3.

PMID:19970203
原文链接:https://pmc.ncbi.nlm.nih.gov/articles/PMC1910948/
Abstract
摘要
https://cdn.ncbi.nlm.nih.gov/pmc/blobs/bffe/1910948/c2fb9e33ef56/amjpathol00369-0217-b.jpg
https://cdn.ncbi.nlm.nih.gov/pmc/blobs/bffe/1910948/666207c0c2cf/amjpathol00369-0215-a.jpg
https://cdn.ncbi.nlm.nih.gov/pmc/blobs/bffe/1910948/f613bbe4b57d/amjpathol00369-0217-a.jpg
https://cdn.ncbi.nlm.nih.gov/pmc/blobs/bffe/1910948/c2fb9e33ef56/amjpathol00369-0217-b.jpg
https://cdn.ncbi.nlm.nih.gov/pmc/blobs/bffe/1910948/666207c0c2cf/amjpathol00369-0215-a.jpg
https://cdn.ncbi.nlm.nih.gov/pmc/blobs/bffe/1910948/f613bbe4b57d/amjpathol00369-0217-a.jpg
https://cdn.ncbi.nlm.nih.gov/pmc/blobs/bffe/1910948/c2fb9e33ef56/amjpathol00369-0217-b.jpg

相似文献

1
A Malignant Hemangioma of the Lung with Multiple Metastases.一例伴有多处转移的肺恶性血管瘤
Am J Pathol. 1935 Mar;11(2):343-352.3.
2
Pulmonary sclerosing hemangioma with lymph node metastases: report of 4 cases.肺硬化性血管瘤伴淋巴结转移:4例报告
Arch Pathol Lab Med. 2003 Mar;127(3):321-5. doi: 10.5858/2003-127-0321-PSHWLN.
3
Diagnostic value of diffusion weighted MRI and ADC in differential diagnosis of cavernous hemangioma of the liver.磁共振扩散加权成像及表观扩散系数在肝脏海绵状血管瘤鉴别诊断中的诊断价值
Afr Health Sci. 2016 Mar;16(1):227-33. doi: 10.4314/ahs.v16i1.30.
4
Sclerosing hemangioma of the lung.肺硬化性血管瘤
Arch Pathol Lab Med. 2009 May;133(5):820-5. doi: 10.5858/133.5.820.
5
Clinical utility of color Doppler sonography in the differentiation of hepatocellular carcinoma from metastases and hemangioma.彩色多普勒超声在肝细胞癌与转移瘤及血管瘤鉴别诊断中的临床应用价值
J Ultrasound Med. 1997 Jan;16(1):51-8. doi: 10.7863/jum.1997.16.1.51.
6
Pulmonary sclerosing hemangioma with lymph node metastases.伴有淋巴结转移的肺硬化性血管瘤
Can Respir J. 2003 Oct;10(7):391-2. doi: 10.1155/2003/534147.
7
Differentiation of atypical hepatic hemangioma from liver metastases: Diagnostic performance of a novel type of color contrast enhanced ultrasound.不典型肝血管瘤与肝转移瘤的鉴别:新型彩色对比增强超声的诊断性能。
World J Gastroenterol. 2020 Mar 7;26(9):960-972. doi: 10.3748/wjg.v26.i9.960.
8
[Malignant nevogeneous tumor with metastases of the skin and lungs].[伴有皮肤和肺转移的恶性神经源性肿瘤]
Klin Med Osterr Z Wiss Prakt Med. 1948 Oct 1;3(19):789.
9
Sclerosing hemangioma with metastases to multiple nodal stations.伴有多组淋巴结转移的硬化性血管瘤。
Ann Thorac Surg. 2002 Mar;73(3):981-3. doi: 10.1016/s0003-4975(01)03122-8.
10
Cytologic features of sclerosing hemangioma of the lung on crush preparations.肺硬化性血管瘤挤压涂片的细胞学特征。
Diagn Cytopathol. 2013 Mar;41(3):242-6. doi: 10.1002/dc.21768. Epub 2011 Jun 27.

引用本文的文献

1
Generalized Angiomatosis Presenting the Clinical Characteristics of Storage Reticulosis: With Some Observations on the Reticulo-Endothelioses.呈现贮积性网状细胞增多症临床特征的全身性血管瘤病:兼对网状内皮细胞增多症的一些观察
Arch Dis Child. 1940;15(83):129-58. doi: 10.1136/adc.15.83.129.
2
Lymph node metastasis of sarcoma.肉瘤的淋巴结转移
Am J Pathol. 1938 Sep;14(5):605-620.1.
3
CONGENITAL ARTERIOVENOUS ANGIOMA OF THE ARM: METASTASES ELEVEN YEARS AFTER AMPUTATION.先天性臂部动静脉血管瘤:截肢术后11年发生转移

本文引用的文献

1
Primary Multiple Hemangioma of the Spleen with Multiple Liver Metastases.脾脏原发性多发性血管瘤伴多发性肝转移
Am J Pathol. 1928 Nov;4(6):507-524.7.
2
IX. Report of a Case of Cavernous Angioma of the Spleen.IX. 脾海绵状血管瘤病例报告。
Ann Surg. 1897 Jun;25(6):732-4.
Ann Surg. 1940 Jun;111(6):1021-45. doi: 10.1097/00000658-194006000-00009.
4
PULMONARY ARTERIOVENOUS FISTULAS IN CHILDREN.儿童肺动静脉瘘
Ann Surg. 1963 Oct;158(4):713-20. doi: 10.1097/00000658-196310000-00017.
5
Primary malignant tumors of the lung other than bronchogenic carcinoma.除支气管源性癌以外的原发性肺恶性肿瘤。
Ann Surg. 1959 Jun;149(6):936-47; discussion 947-8. doi: 10.1097/00000658-195906000-00017.
6
Single coronary artery.单冠状动脉
Br Heart J. 1954 Oct;16(4):457-9. doi: 10.1136/hrt.16.4.457.
7
[Cytology of some unusual nonepithelial, intrathoracic neoplasms].[某些不常见的非上皮性胸内肿瘤的细胞学研究]
Beitr Klin Erforsch Tuberk Lungenkr. 1970;141(4):352-61.
8
"Sclerosing haemangioma" of the lung: an alternative view of its development.肺“硬化性血管瘤”:对其发展的另一种观点
J Clin Pathol. 1973 Oct;26(10):792-9. doi: 10.1136/jcp.26.10.792.