Suppr超能文献

牙龈神经支配的比较研究:(牙科学部分)

A Comparative Study of the Innervation of the Gum: (Section of Odontology).

作者信息

Stewart D, Lewinsky W

出版信息

Proc R Soc Med. 1939 Jul;32(9):1054-62. doi: 10.1177/003591573903200921.

Abstract

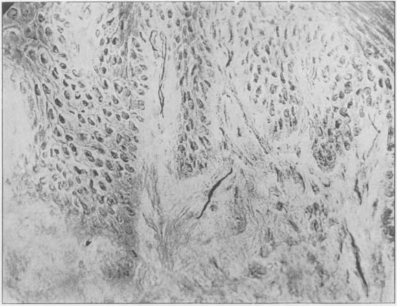
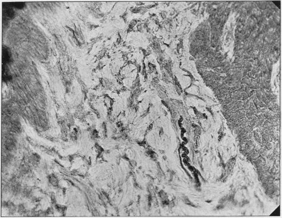
In this paper we give a comparative study of the innervation of the connective tissues of the gum underlying the epithelium. Our material was taken from carnivores, rodents, insectivores and men. The fibres form superficial and deep plexuses and leashes, and specialized nerve-endings are also present. The types of specialized nerve-endings seen have been:-(1) Coils which are situated either in the intra-papillary zone of the deeper connective tissue.(2) Ruffini-like nerve-endings and convoluted fibres the presence of which in the gum has not been previously described.

摘要

在本文中,我们对上皮下牙龈结缔组织的神经支配进行了比较研究。我们的材料取自食肉动物、啮齿动物、食虫动物和人类。纤维形成浅丛和深丛以及神经束,并且也存在特化的神经末梢。所见到的特化神经末梢类型有:(1)位于较深层结缔组织乳头内区的螺旋;(2)类鲁菲尼神经末梢和盘绕纤维,牙龈中它们的存在此前未曾有过描述。

https://cdn.ncbi.nlm.nih.gov/pmc/blobs/680a/1997884/09fdda305438/procrsmed00665-0038-a.jpg

文献AI研究员

20分钟写一篇综述,助力文献阅读效率提升50倍。

立即体验

用中文搜PubMed

大模型驱动的PubMed中文搜索引擎

马上搜索

文档翻译

学术文献翻译模型,支持多种主流文档格式。

立即体验