Suppr超能文献

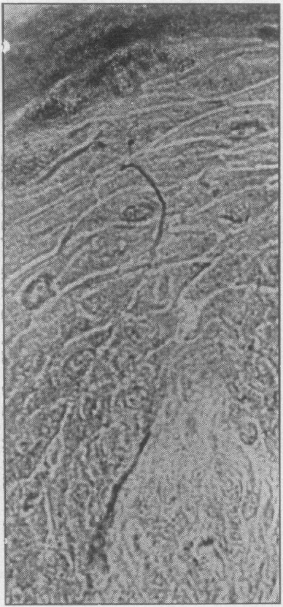
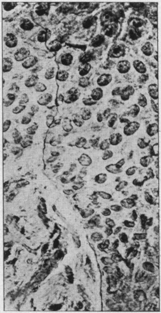
A comparative study of the innervation of the epithelium of the gum.

作者信息

Lewinsky W, Stewart D

出版信息

Proc R Soc Med. 1946 Apr;39(6):348-54. doi: 10.1177/003591574603900629.

Abstract
摘要
https://cdn.ncbi.nlm.nih.gov/pmc/blobs/f38d/2181802/2b2d3f3fa804/procrsmed00547-0072-a.jpg

文献AI研究员

20分钟写一篇综述,助力文献阅读效率提升50倍。

立即体验

用中文搜PubMed

大模型驱动的PubMed中文搜索引擎

马上搜索

文档翻译

学术文献翻译模型,支持多种主流文档格式。

立即体验