Suppr超能文献

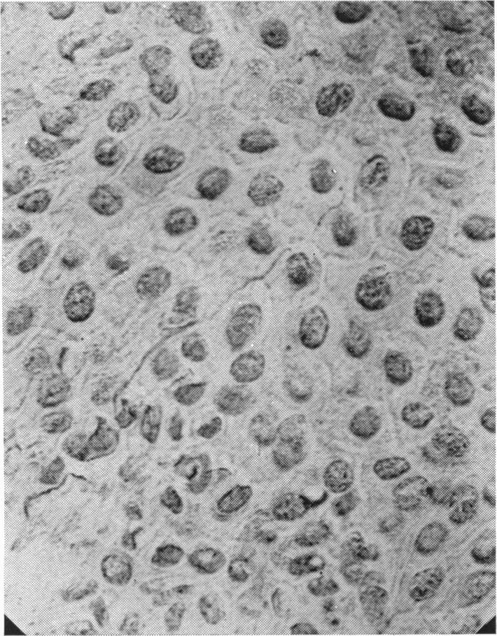
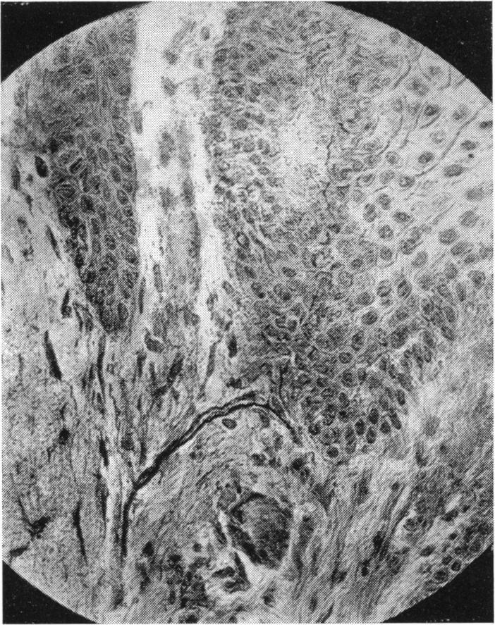
The Innervation of the Human Gum.

作者信息

Lewinsky W, Stewart D

机构信息

Department of Anatomy, Victoria University of Manchester.

出版信息

J Anat. 1938 Jul;72(Pt 4):531-534.3.

Abstract
摘要
https://cdn.ncbi.nlm.nih.gov/pmc/blobs/dd10/1252360/8ad15ee45969/janat00529-0066-a.jpg

相似文献

1
The Innervation of the Human Gum.
J Anat. 1938 Jul;72(Pt 4):531-534.3.
2
The innervation of the gum of Talpa europea.
J Anat. 1939 Oct;74(Pt 1):53-56.1.
3
Gum arabic establishes prebiotic functionality in healthy human volunteers in a dose-dependent manner.
Br J Nutr. 2008 Dec;100(6):1269-75. doi: 10.1017/S0007114508981447. Epub 2008 May 9.
5
Chewing gum and context-dependent memory: the independent roles of chewing gum and mint flavour.
Br J Psychol. 2008 May;99(Pt 2):293-306. doi: 10.1348/000712607X228474. Epub 2007 Jul 24.
6
Solution properties of conventional gum arabic and a matured gum arabic (Acacia (sen) SUPER GUM).
Biomacromolecules. 2008 Apr;9(4):1163-9. doi: 10.1021/bm7011696. Epub 2008 Mar 7.
7
Addiction to the nicotine gum in never smokers.
BMC Public Health. 2007 Jul 17;7:159. doi: 10.1186/1471-2458-7-159.
8
Dependence on the nicotine gum in former smokers.
Addict Behav. 2009 Mar;34(3):246-51. doi: 10.1016/j.addbeh.2008.10.018. Epub 2008 Nov 1.
9
Does gum chewing help prevent impaired gastric motility in the postoperative period?
J Am Acad Nurse Pract. 2007 Mar;19(3):133-6. doi: 10.1111/j.1745-7599.2006.00209.x.
10
Evidence against memorial facilitation and context-dependent memory effects through the chewing of gum.
Appetite. 2007 May;48(3):394-6. doi: 10.1016/j.appet.2006.10.003. Epub 2006 Nov 22.

引用本文的文献

1
Somatosensory innervation of the oral mucosa of adult and aging mice.
Sci Rep. 2018 Jul 2;8(1):9975. doi: 10.1038/s41598-018-28195-2.
2
3
A comparative study of the innervation of the epithelium of the gum.
Proc R Soc Med. 1946 Apr;39(6):348-54. doi: 10.1177/003591574603900629.
4
A Comparative Study of the Innervation of the Gum: (Section of Odontology).
Proc R Soc Med. 1939 Jul;32(9):1054-62. doi: 10.1177/003591573903200921.
6
The innervation of the gum of Talpa europea.
J Anat. 1939 Oct;74(Pt 1):53-56.1.
7
Some abnormalities in the nerve supply of the oral mucosa.
Proc R Soc Med. 1958 Nov;51(11):951-6. doi: 10.1177/003591575805101113.

文献AI研究员

20分钟写一篇综述,助力文献阅读效率提升50倍。

立即体验

用中文搜PubMed

大模型驱动的PubMed中文搜索引擎

马上搜索

文档翻译

学术文献翻译模型,支持多种主流文档格式。

立即体验