Suppr超能文献

中国中部地区戊型肝炎病毒感染的研究结果表明,在该地区,人类和猪之间不存在跨种传播的证据。

Hepatitis E virus infection in central China reveals no evidence of cross-species transmission between human and swine in this area.

机构信息

School of Agriculture and Biology, Shanghai JiaoTong University, Shanghai, People's Republic of China.

出版信息

PLoS One. 2009 Dec 7;4(12):e8156. doi: 10.1371/journal.pone.0008156.

Abstract

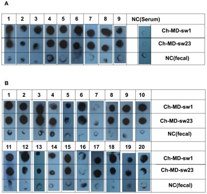
Hepatitis E virus (HEV) is a zoonotic pathogen of which several species of animal were reported as reservoirs. Swine stands out as the major reservoir for HEV infection in humans, as suggested by the close genetic relationship of swine and human virus. Since 2000, Genotype 4 HEV has become the dominant cause of hepatitis E disease in China. Recent reports showed that genotype 4 HEV is freely transmitted between humans and swine in eastern and southern China. However, the infection status of HEV in human and swine populations in central China is still unclear. This study was conducted in a rural area of central China, where there are many commercial swine farms. A total of 1476 serum and 554 fecal specimens were collected from the general human and swine populations in this area, respectively. The seroepidemiological study was conducted by enzyme-linked immunosorbent assay. Conserved genomic sequences of open reading frame 2 were detected using reverse transcription-PCR. The results indicated that the overall viral burden of the general human subjects was 0.95% (14/1476), while 7.0% (39/554) of the swine excreted HEV in stool. The positive rate of anti-HEV IgG and IgM in the serum samples was 7.9% (117/1476) and 1.6% (24/1476), respectively. Phylogenetic analysis based on the 150 nt partial sequence of the capsid protein gene showed that the 53 swine and human HEV isolates in the current study all belonged to genotype 4, clustering into three major groups. However, the HEV isolates prevalent in the human and swine populations were classified into known distinct subgenotypes, which suggested that no cross-species transmission between swine and humans had taken place in this area. This result was confirmed by cloning and phylogenetic analysis of the complete capsid protein gene sequence of three representative HEV strains in the three major groups. The cross reactivity between anti-HEV IgG from human sera and the two representative strains from swine in central China was confirmed by Dot-blot assay. In conclusion, although all the HEV strains prevalent in central China belonged to genotype 4, there is no evidence of cross-species transmission between human and swine in this area.

摘要

戊型肝炎病毒 (HEV) 是一种人畜共患病病原体,有几种动物被报道为其储主。猪是人类 HEV 感染的主要储主,这表明猪和人类病毒之间存在密切的遗传关系。自 2000 年以来,基因型 4 HEV 已成为中国戊型肝炎疾病的主要原因。最近的报告显示,基因型 4 HEV 在中国东部和南部的人类和猪之间自由传播。然而,中国中部地区人类和猪群中 HEV 的感染状况仍不清楚。本研究在中国中部的一个农村地区进行,该地区有许多商业养猪场。从该地区的一般人群和猪群中分别采集了 1476 份血清和 554 份粪便标本。通过酶联免疫吸附试验进行血清流行病学研究。使用逆转录-PCR 检测开放阅读框 2 的保守基因组序列。结果表明,一般人群中病毒总负荷为 0.95%(14/1476),而 554 份粪便中有 7.0%(39/554)的猪排出 HEV。血清样本中抗-HEV IgG 和 IgM 的阳性率分别为 7.9%(117/1476)和 1.6%(24/1476)。基于衣壳蛋白基因的 150 个核苷酸部分序列的系统进化分析显示,本研究中 53 株猪和人 HEV 分离株均属于基因型 4,分为三个主要组。然而,在人群和猪群中流行的 HEV 分离株分为已知的不同亚基因型,这表明在该地区没有发生猪与人之间的跨种传播。这一结果通过对三个主要组中三个代表性 HEV 株的完整衣壳蛋白基因序列的克隆和系统进化分析得到了证实。通过 Dot-blot 试验证实了来自中国中部的两种代表性猪源 HEV 株与人血清抗-HEV IgG 之间的交叉反应性。总之,尽管中国中部流行的所有 HEV 株均属于基因型 4,但在该地区没有证据表明猪与人之间存在跨种传播。

https://cdn.ncbi.nlm.nih.gov/pmc/blobs/e82a/2785466/9faade26630d/pone.0008156.g001.jpg

文献AI研究员

20分钟写一篇综述,助力文献阅读效率提升50倍。

立即体验

用中文搜PubMed

大模型驱动的PubMed中文搜索引擎

马上搜索

文档翻译

学术文献翻译模型,支持多种主流文档格式。

立即体验