• 文献检索
  • 文档翻译
  • 深度研究
  • 学术资讯
  • Suppr Zotero 插件Zotero 插件
  • 邀请有礼
  • 套餐&价格
  • 历史记录
应用&插件
Suppr Zotero 插件Zotero 插件浏览器插件Mac 客户端Windows 客户端微信小程序
定价
高级版会员购买积分包购买API积分包
服务
文献检索文档翻译深度研究API 文档MCP 服务
关于我们
关于 Suppr公司介绍联系我们用户协议隐私条款
关注我们

Suppr 超能文献

核心技术专利:CN118964589B侵权必究
粤ICP备2023148730 号-1Suppr @ 2026

文献检索

告别复杂PubMed语法,用中文像聊天一样搜索,搜遍4000万医学文献。AI智能推荐,让科研检索更轻松。

立即免费搜索

文件翻译

保留排版,准确专业,支持PDF/Word/PPT等文件格式,支持 12+语言互译。

免费翻译文档

深度研究

AI帮你快速写综述,25分钟生成高质量综述,智能提取关键信息,辅助科研写作。

立即免费体验

肿瘤坏死因子在IgA和IgG免疫复合物所致肺损伤发病机制中的不同作用

Contrasting roles for tumor necrosis factor in the pathogeneses of IgA and IgG immune complex lung injury.

作者信息

Warren J S, Barton P A, Jones M L

机构信息

Department of Pathology, University of Michigan, Medical School, Ann Arbor 48109-0602.

出版信息

Am J Pathol. 1991 Mar;138(3):581-90.

PMID:2000937
原文链接:https://pmc.ncbi.nlm.nih.gov/articles/PMC1886288/
Abstract

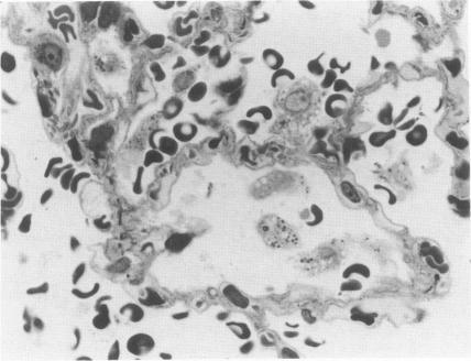
Recent studies suggest that development of acute gamma G immunoglobulin (IgG) immune complex lung injury is partially dependent on a tumor necrosis factor (TNF)-dependent mechanisms of neutrophil (PMN) recruitment. The authors have sought to further define the role of intrapulmonary TNF in IgG alveolitis and to examine its role in IgA immune complex alveolitis, a neutrophil-independent model of acute lung injury. IgG immune complex lung injury resulted in a marked rise in intrapulmonary TNF activity accompanied by progressive pulmonary PMN accumulation. Intratracheal instillation of neutralizing concentrations of anti-TNF markedly reduced PMN influx measured at 4 hours but had no effect on PMN recruitment quantitated at 2 hours. IgA immune complex deposition resulted in acute lung injury accompanied by increased numbers of intrapulmonary mononuclear phagocytes but few neutrophils. Lung lavage fluids obtained from IgA immune complex-injured rats contained both neutrophil and monocyte chemotactic activities, albeit at twofold to fourfold lower concentrations than observed in IgG-mediated alveolitis. In contrast to IgG complex-mediated alveolitis, lung lavage fluids from IgA-injured rats contained no TNF activity. Intratracheal administration of anti-TNF antibodies had no effect on the development of IgA lung injury as assessed by morphology and measurements of vascular permeability. In vitro exposure of isolated alveolar macrophages to performed IgG immune complexes resulted in dose-dependent TNF secretion, while exposure to IgA complexes resulted in very low levels of TNF secretion. These data suggest that TNF-mediated pulmonary neutrophil recruitment (in IgG lung injury) is manifest chiefly in the late phase (approximately 4 hours) of developing alveolitis. The virtual absence of intrapulmonary TNF activity in evolving IgA immune complex alveolitis may in part account for the limited PMN recruitment observed in this model.

摘要

近期研究表明,急性γG免疫球蛋白(IgG)免疫复合物肺损伤的发生部分依赖于肿瘤坏死因子(TNF)介导的中性粒细胞(PMN)募集机制。作者试图进一步明确肺内TNF在IgG肺泡炎中的作用,并研究其在IgA免疫复合物肺泡炎(一种与中性粒细胞无关的急性肺损伤模型)中的作用。IgG免疫复合物肺损伤导致肺内TNF活性显著升高,同时伴有肺内PMN逐渐积聚。气管内滴注中和浓度的抗TNF抗体可显著降低4小时时测得的PMN流入量,但对2小时时定量的PMN募集无影响。IgA免疫复合物沉积导致急性肺损伤,伴有肺内单核吞噬细胞数量增加,但中性粒细胞很少。从IgA免疫复合物损伤大鼠获得的肺灌洗液中同时含有中性粒细胞和单核细胞趋化活性,尽管其浓度比IgG介导的肺泡炎中观察到的低两到四倍。与IgG复合物介导的肺泡炎不同,IgA损伤大鼠的肺灌洗液中没有TNF活性。气管内给予抗TNF抗体对IgA肺损伤的发展没有影响,这通过形态学和血管通透性测量来评估。体外将分离的肺泡巨噬细胞暴露于已形成的IgG免疫复合物中会导致剂量依赖性的TNF分泌,而暴露于IgA复合物中则导致TNF分泌水平非常低。这些数据表明,TNF介导的肺中性粒细胞募集(在IgG肺损伤中)主要表现在肺泡炎发展的后期(约4小时)。在进展性IgA免疫复合物肺泡炎中肺内几乎没有TNF活性,这可能部分解释了该模型中观察到的有限的PMN募集。

https://cdn.ncbi.nlm.nih.gov/pmc/blobs/6ce6/1886288/4184f99e7ef6/amjpathol00099-0079-a.jpg
https://cdn.ncbi.nlm.nih.gov/pmc/blobs/6ce6/1886288/4184f99e7ef6/amjpathol00099-0079-a.jpg
https://cdn.ncbi.nlm.nih.gov/pmc/blobs/6ce6/1886288/4184f99e7ef6/amjpathol00099-0079-a.jpg

相似文献

1
Contrasting roles for tumor necrosis factor in the pathogeneses of IgA and IgG immune complex lung injury.肿瘤坏死因子在IgA和IgG免疫复合物所致肺损伤发病机制中的不同作用
Am J Pathol. 1991 Mar;138(3):581-90.
2
Intrapulmonary tumor necrosis factor triggers local platelet-activating factor production in rat immune complex alveolitis.肺内肿瘤坏死因子在大鼠免疫复合物性肺泡炎中引发局部血小板活化因子的产生。
Lab Invest. 1990 Dec;63(6):746-54.
3
Tumor necrosis factor participates in the pathogenesis of acute immune complex alveolitis in the rat.
J Clin Invest. 1989 Dec;84(6):1873-82. doi: 10.1172/JCI114374.
4
Relationship between interleukin-1 beta and platelet-activating factor in the pathogenesis of acute immune complex alveolitis in the rat.白细胞介素-1β与血小板活化因子在大鼠急性免疫复合物性肺泡炎发病机制中的关系。
Am J Pathol. 1992 Sep;141(3):551-60.
5
Lung injury after deposition of IgA immune complexes. Requirements for CD18 and L-arginine.IgA免疫复合物沉积后的肺损伤。CD18和L-精氨酸的需求。
J Immunol. 1992 May 15;148(10):3086-92.
6
In vitro activation of rat neutrophils and alveolar macrophages with IgA and IgG immune complexes. Implications for immune complex-induced lung injury.用IgA和IgG免疫复合物对大鼠中性粒细胞和肺泡巨噬细胞进行体外激活。对免疫复合物诱导的肺损伤的影响。
Am J Pathol. 1987 Dec;129(3):578-88.
7
Role of beta 1, beta 2 integrins and ICAM-1 in lung injury after deposition of IgG and IgA immune complexes.β1、β2整合素及细胞间黏附分子-1在IgG和IgA免疫复合物沉积后肺损伤中的作用
J Immunol. 1993 Mar 15;150(6):2407-17.
8
Protective effects of IL-4 and IL-10 against immune complex-induced lung injury.白细胞介素-4和白细胞介素-10对免疫复合物诱导的肺损伤的保护作用。
J Immunol. 1993 Nov 15;151(10):5666-74.
9
Disparate roles for TNF in the pathogenesis of acute immune complex alveolitis and dermal vasculitis.肿瘤坏死因子在急性免疫复合物性肺泡炎和皮肤血管炎发病机制中的不同作用。
Clin Immunol Immunopathol. 1991 Nov;61(2 Pt 1):249-59. doi: 10.1016/s0090-1229(05)80028-5.
10
Intrapulmonary interleukin 1 mediates acute immune complex alveolitis in the rat.肺内白细胞介素1介导大鼠急性免疫复合物性肺泡炎。
Biochem Biophys Res Commun. 1991 Mar 15;175(2):604-10. doi: 10.1016/0006-291x(91)91608-f.

引用本文的文献

1
In vivo recruitment of neutrophils: consistent requirements for L-arginine and variable requirements for complement and adhesion molecules.中性粒细胞的体内募集:对L-精氨酸的一致需求以及对补体和黏附分子的可变需求。
Inflammation. 1998 Jun;22(3):327-39. doi: 10.1023/a:1022356301181.
2
Oxygen radicals, cytokines, adhesion molecules, and lung injury.氧自由基、细胞因子、黏附分子与肺损伤。
Environ Health Perspect. 1994 Dec;102 Suppl 10(Suppl 10):13-6. doi: 10.1289/ehp.94102s1013.
3
The regulation of pulmonary immunity.肺部免疫的调节

本文引用的文献

1
PREPARATION OF PURIFIED ANTI-2,4-DINITROPHENYL ANTIBODIES.纯化抗2,4-二硝基苯基抗体的制备
Methods Med Res. 1964;10:94-102.
2
Effect of 1-O-octadecyl-2-O-acetyl-sn-glycero-3-phosphocholine (PAF-acether) on leukocytes I. Analysis of the in vitro migration of human neutrophils.1-油酰基-2-乙酰基-sn-甘油-3-磷酸胆碱(血小板激活因子)对白细胞的作用I. 人中性粒细胞体外迁移分析
Chem Phys Lipids. 1981 Dec;29(4):317-26. doi: 10.1016/0009-3084(81)90065-7.
3
Induction of leukocytic infiltrates in rabbit skin by acetyl glyceryl ether phosphorylcholine.
Adv Immunol. 1995;59:369-455. doi: 10.1016/s0065-2776(08)60634-3.
乙酰甘油醚磷酸胆碱对兔皮肤白细胞浸润的诱导作用。
Lab Invest. 1982 Sep;47(3):227-34.
4
Purification and physico-chemical characterization of rabbit tumor necrosis factor.兔肿瘤坏死因子的纯化及理化特性分析
J Immunol. 1980 Oct;125(4):1671-7.
5
In vitro and in vivo stimulation of rat neutrophils and alveolar macrophages by immune complexes. Production of O-2 and H2O2.免疫复合物对大鼠中性粒细胞和肺泡巨噬细胞的体外及体内刺激。超氧阴离子(O-2)和过氧化氢(H2O2)的产生。
Am J Pathol. 1983 Mar;110(3):297-309.
6
Fc receptors for IgA and other immunoglobulins on resident and activated alveolar macrophages.驻留和活化肺泡巨噬细胞上的IgA及其他免疫球蛋白的Fc受体
Mol Immunol. 1983 Sep;20(9):1029-37. doi: 10.1016/0161-5890(83)90044-5.
7
Acute lung injury in rat caused by immunoglobulin A immune complexes.免疫球蛋白A免疫复合物所致大鼠急性肺损伤
J Clin Invest. 1984 Aug;74(2):358-69. doi: 10.1172/JCI111431.
8
Acute immunologic pulmonary alveolitis.急性免疫性肺泡炎
J Clin Invest. 1974 Aug;54(2):349-57. doi: 10.1172/JCI107770.
9
Stimulation of the adherence of neutrophils to umbilical vein endothelium by human recombinant tumor necrosis factor.人重组肿瘤坏死因子对中性粒细胞与脐静脉内皮细胞黏附的刺激作用。
Proc Natl Acad Sci U S A. 1985 Dec;82(24):8667-71. doi: 10.1073/pnas.82.24.8667.
10
Induction and detection of a human endothelial activation antigen in vivo.体内人类内皮细胞活化抗原的诱导与检测。
J Exp Med. 1986 Aug 1;164(2):661-6. doi: 10.1084/jem.164.2.661.