Suppr超能文献

食管闭锁:胃造瘘管移入支气管。

Esophageal Atresia: Migration of the gastrostomy tube into the bronchus.

作者信息

Hosseini Seyed Mohammad Vahid, Banani Seyed Abbas, Sabet Babak, Zeraatian Sam, Razmi Tannaz, Banani Seyed Javad

机构信息

Department of Pediatric Surgery, Shiraz University of Medical Sciences, Shiraz, Iran.

出版信息

J Indian Assoc Pediatr Surg. 2008 Jul;13(3):118-9. doi: 10.4103/0971-9261.43823.

Abstract

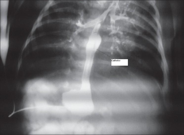
A 2-day-old baby boy, 38 weeks gestation, weight 2000 g was brought due to hypersalivation and imperforate anus with gasless abdomen on plain X-ray. He underwent a gastrostomy tube insertion and colostomy. In contrast study of the stomach, on the 5th postoperative day, the dye spilled into the tracheo bronchial tree and the catheter was seen, entering the right main bronchus. The patient underwent right thoracotomy and the presence of fistula and catheter were confirmed. The fistula and distal esophagus were closed and fixed to the prevertebral fascia because of a long gap. He is under follow-up and recieving home care for a later delayed primary anastomosis.

摘要

一名孕38周、体重2000克的2日龄男婴因流涎过多、肛门闭锁且腹部平片显示无气腹而入院。他接受了胃造瘘管插入术和结肠造口术。术后第5天进行的胃部造影检查中,造影剂漏入气管支气管树,且可见导管进入右主支气管。患者接受了右开胸手术,证实存在瘘管和导管。由于间隙较长,瘘管和远端食管被闭合并固定于椎前筋膜。他正在接受随访,并在家中接受后期延迟一期吻合术的护理。

https://cdn.ncbi.nlm.nih.gov/pmc/blobs/8147/2788459/737ee90b15f1/JIAPS-13-118-g001.jpg

相似文献

1
Esophageal Atresia: Migration of the gastrostomy tube into the bronchus.
J Indian Assoc Pediatr Surg. 2008 Jul;13(3):118-9. doi: 10.4103/0971-9261.43823.
2
Management of Esophageal Lung in a Patient With VACTERL Anomalies.
Am Surg. 2020 Nov;86(11):1538-1540. doi: 10.1177/0003134820933615. Epub 2020 Jul 1.
5
"Thoracic gastrostomy"--a new technique for feeding gastrostomy in wide-gap esophageal atresia and tracheo-esophageal fistula.
Pediatr Surg Int. 2003 Oct;19(8):567-72. doi: 10.1007/s00383-003-0966-9. Epub 2003 Oct 10.
6
Image-guided percutaneous gastrostomy in neonates with esophageal atresia.
J Pediatr Surg. 2004 Nov;39(11):1648-50. doi: 10.1016/j.jpedsurg.2004.07.004.
7
Exteriorization of the distal esophagus in the abdomen in esophageal atresia.
J Pediatr Surg. 1998 Mar;33(3):489-91. doi: 10.1016/s0022-3468(98)90094-x.
8
A gasless abdomen does not exclude distal tracheoesophageal fistula: the value of a repeat x-ray.
J Pediatr Surg. 2007 Mar;42(3):576-7. doi: 10.1016/j.jpedsurg.2006.10.052.
9
Unintentional Suture Fistula Between the Proximal and Distal Esophagus in a Preterm Neonate with Type C Esophageal Atresia.
European J Pediatr Surg Rep. 2024 Jan 22;12(1):e20-e22. doi: 10.1055/a-2227-6252. eCollection 2024 Jan.
10
Foker Technique for the Management of Pure Esophageal Atresia: Long-Term Outcomes at a Single Institution.
Eur J Pediatr Surg. 2016 Apr;26(2):215-8. doi: 10.1055/s-0035-1546757. Epub 2015 Mar 16.

本文引用的文献

1
2
The development of gastroesophageal reflux after percutaneous endoscopic gastrostomy.
J Pediatr Surg. 1997 Feb;32(2):321-2; discussion 322-3. doi: 10.1016/s0022-3468(97)90202-5.
3
Gastrostomy: its use and dangers in pediatric patients.
N Engl J Med. 1972 Jun 22;286(25):1345-7. doi: 10.1056/NEJM197206222862506.
4
Gastrostomies: evolution, techniques, indications, and complications.
Curr Probl Surg. 1986 Sep;23(9):657-719. doi: 10.1016/0011-3840(86)90020-1.
5
Gastroesophageal reflux following percutaneous endoscopic gastrostomy in children.
J Pediatr Surg. 1989 Jan;24(1):42-4; Discussion 44-5. doi: 10.1016/s0022-3468(89)80298-2.
6
Gastrostomy with antireflux properties.
J Pediatr Surg. 1990 Oct;25(10):1019-21. doi: 10.1016/0022-3468(90)90209-r.
7
Preparing families of children with gastrostomies.
Pediatr Nurs. 1991 Mar-Apr;17(2):153-8.

文献AI研究员

20分钟写一篇综述,助力文献阅读效率提升50倍。

立即体验

用中文搜PubMed

大模型驱动的PubMed中文搜索引擎

马上搜索

文档翻译

学术文献翻译模型,支持多种主流文档格式。

立即体验