Department of Disease Pharmacology, LEO Pharma A/S, Industriparken 55, DK-2750 Ballerup, Denmark.
J Transl Med. 2009 Dec 17;7:107. doi: 10.1186/1479-5876-7-107.
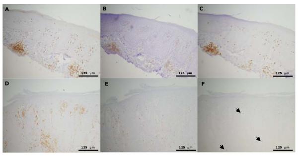
The aim of the present study was to compare the effects of Daivobet and calcipotriol on clinical score and biomarker responses in a modified version of the Scholtz-Dumas psoriasis plaque assay. Furthermore, it was the aim to compare the effects of calcipotriol and betamethasone in the murine psoriasis xenograft model. Twenty four patients with psoriasis were treated topically once daily for three weeks, whereas the grafted mice were treated for four weeks. Clinical responses were scored twice weekly and biopsies were taken at the end of each study to analyse for skin biomarkers by histology and immunohistochemistry. The results clearly demonstrate effects on both clinical signs and biomarkers. In the patient study the total clinical score was reduced significantly with both Daivobet and calcipotriol. Both treatments reduced epidermal thickness, Ki-67 and cytokeratin 16 expression. T cell infiltration was significantly reduced by Daivobet but only marginally by calcipotriol. Both treatments showed strong effects on the epidermal psoriatic phenotype.Results from the xenograft model essentially showed the same results. However differences were observed when investigating subtypes of T cells.The study demonstrates the feasibility of obtaining robust biomarker data in the psoriasis plaque test that correlate well with those obtained in other clinical studies. Furthermore, the biomarker data from the plaque test correlate with biopsy data from the grafted mice.
本研究旨在比较达力士和卡泊三醇在改良的 Scholtz-Dumas 银屑病斑块试验中对临床评分和生物标志物反应的影响。此外,还旨在比较卡泊三醇和倍他米松在银屑病异种移植模型中的作用。24 例银屑病患者接受局部治疗,每天一次,持续 3 周,而移植的小鼠接受治疗 4 周。临床反应每周评分两次,在每个研究结束时取活检,通过组织学和免疫组织化学分析皮肤生物标志物。结果清楚地表明对临床体征和生物标志物都有影响。在患者研究中,达力士和卡泊三醇都显著降低了总临床评分。两种治疗方法均降低了表皮厚度、Ki-67 和细胞角蛋白 16 的表达。达力士显著减少了 T 细胞浸润,但卡泊三醇只有轻微减少。两种治疗方法均对表皮银屑病表型有强烈影响。异种移植模型的结果基本相同。然而,当研究 T 细胞亚群时,观察到了差异。该研究证明了在银屑病斑块试验中获得与其他临床研究相关的稳健生物标志物数据的可行性。此外,斑块试验的生物标志物数据与移植小鼠的活检数据相关。