• 文献检索
  • 文档翻译
  • 深度研究
  • 学术资讯
  • Suppr Zotero 插件Zotero 插件
  • 邀请有礼
  • 套餐&价格
  • 历史记录
应用&插件
Suppr Zotero 插件Zotero 插件浏览器插件Mac 客户端Windows 客户端微信小程序
定价
高级版会员购买积分包购买API积分包
服务
文献检索文档翻译深度研究API 文档MCP 服务
关于我们
关于 Suppr公司介绍联系我们用户协议隐私条款
关注我们

Suppr 超能文献

核心技术专利:CN118964589B侵权必究
粤ICP备2023148730 号-1Suppr @ 2026

文献检索

告别复杂PubMed语法,用中文像聊天一样搜索,搜遍4000万医学文献。AI智能推荐,让科研检索更轻松。

立即免费搜索

文件翻译

保留排版,准确专业,支持PDF/Word/PPT等文件格式,支持 12+语言互译。

免费翻译文档

深度研究

AI帮你快速写综述,25分钟生成高质量综述,智能提取关键信息,辅助科研写作。

立即免费体验

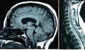
颅颈交界区畸形(Chiari Ⅰ型和脊髓空洞症:分类、诊断和治疗)。

Malformations of the craniocervical junction (Chiari type I and syringomyelia: classification, diagnosis and treatment).

机构信息

Carlos III Health Institute, Sinesio Delgado n. 6 (pavilion 12), 28029 Madrid, Spain.

出版信息

BMC Musculoskelet Disord. 2009 Dec 17;10 Suppl 1(Suppl 1):S1. doi: 10.1186/1471-2474-10-S1-S1.

DOI:10.1186/1471-2474-10-S1-S1
PMID:20018097
原文链接:https://pmc.ncbi.nlm.nih.gov/articles/PMC2796052/
Abstract

Chiari disease (or malformation) is in general a congenital condition characterized by an anatomic defect of the base of the skull, in which the cerebellum and brain stem herniate through the foramen magnum into the cervical spinal canal. The onset of Chiari syndrome symptoms usually occurs in the second or third decade (age 25 to 45 years). Symptoms may vary between periods of exacerbation and remission. The diagnosis of Chiari type I malformation in patients with or without symptoms is established with neuroimaging techniques. The most effective therapy for patients with Chiari type I malformation/syringomyelia is surgical decompression of the foramen magnum, however there are non-surgical therapy to relieve neuropathic pain: either pharmacological and non-pharmacological. Pharmacological therapy use drugs that act on different components of pain. Non-pharmacological therapies are primarily based on spinal or peripheral electrical stimulation. It is important to determine the needs of the patients in terms of health-care, social, educational, occupational, and relationship issues, in addition to those derived from information aspects, particularly at onset of symptoms. Currently, there is no consensus among the specialists regarding the etiology of the disease or how to approach, monitor, follow-up, and treat the condition. It is necessary that the physicians involved in the care of people with this condition comprehensively approach the management and follow-up of the patients, and that they organize interdisciplinary teams including all the professionals that can help to increase the quality of life of patients.

摘要

Chiari 病(或畸形)通常是一种先天性疾病,其特征是颅底解剖缺陷,小脑和脑干通过枕骨大孔疝入颈椎椎管。Chiari 综合征症状的发作通常发生在第二或第三个十年(25 至 45 岁)。症状在加重和缓解期之间可能会有所不同。对于有或无症状的患者,神经影像学技术可用于诊断 Chiari Ⅰ型畸形。对于 Chiari Ⅰ型畸形/脊髓空洞症患者,最有效的治疗方法是枕骨大孔减压术,但也有非手术治疗方法来缓解神经病理性疼痛:药物和非药物。药物治疗使用作用于疼痛不同成分的药物。非药物治疗主要基于脊髓或外周电刺激。除了与信息相关的方面,重要的是要确定患者在医疗保健、社会、教育、职业和人际关系问题方面的需求,特别是在症状出现时。目前,专家们对于该疾病的病因或如何进行治疗、监测、随访和治疗该病尚无共识。参与此类疾病患者护理的医生必须全面处理患者的管理和随访,并组织包括所有能够帮助提高患者生活质量的专业人员在内的跨学科团队。

https://cdn.ncbi.nlm.nih.gov/pmc/blobs/9be2/2796052/15a75c586d0e/1471-2474-10-S1-S1-2.jpg
https://cdn.ncbi.nlm.nih.gov/pmc/blobs/9be2/2796052/239b7231f318/1471-2474-10-S1-S1-1.jpg
https://cdn.ncbi.nlm.nih.gov/pmc/blobs/9be2/2796052/15a75c586d0e/1471-2474-10-S1-S1-2.jpg
https://cdn.ncbi.nlm.nih.gov/pmc/blobs/9be2/2796052/239b7231f318/1471-2474-10-S1-S1-1.jpg
https://cdn.ncbi.nlm.nih.gov/pmc/blobs/9be2/2796052/15a75c586d0e/1471-2474-10-S1-S1-2.jpg

相似文献

1
Malformations of the craniocervical junction (Chiari type I and syringomyelia: classification, diagnosis and treatment).颅颈交界区畸形(Chiari Ⅰ型和脊髓空洞症:分类、诊断和治疗)。
BMC Musculoskelet Disord. 2009 Dec 17;10 Suppl 1(Suppl 1):S1. doi: 10.1186/1471-2474-10-S1-S1.
2
[Clinical evaluation on etiology and surgical outcome in syringomyelia associated with Chiari type I malformation].[Chiari I型畸形伴脊髓空洞症的病因及手术疗效临床评估]
No To Shinkei. 1997 Dec;49(12):1131-8.
3
Posterior Calvarial Augmentation for Chiari Malformation Type 1 Refractory to Foramen Magnum Decompression.Chiari 畸形 1 型伴寰枕减压无效的颅后窝扩大术。
World Neurosurg. 2020 Jul;139:70-74. doi: 10.1016/j.wneu.2020.03.218. Epub 2020 Apr 13.
4
Foramen magnum cerebrospinal fluid flow characteristics in children with Chiari I malformation before and after craniocervical decompression.小儿Chiari I型畸形颅颈减压术前、后脑脊液在枕骨大孔处的流动特征
J Neurosurg. 2004 Nov;101(2 Suppl):169-78. doi: 10.3171/ped.2004.101.2.0169.
5
Chiari-like Malformation.Chiari样畸形
Vet Clin North Am Small Anim Pract. 2016 Mar;46(2):231-42. doi: 10.1016/j.cvsm.2015.10.002. Epub 2015 Nov 27.
6
Elucidating the pathophysiology of syringomyelia.阐明脊髓空洞症的病理生理学。
J Neurosurg. 1999 Oct;91(4):553-62. doi: 10.3171/jns.1999.91.4.0553.
7
Diagnosis of Chiari I malformation and related syringomyelia: radiological and neurophysiological studies.Chiari I型畸形及相关脊髓空洞症的诊断:影像学与神经生理学研究
Childs Nerv Syst. 2004 May;20(5):332-5. doi: 10.1007/s00381-003-0880-4. Epub 2004 Mar 18.
8
Clinical diagnosis-part I: what is really caused by Chiari I.临床诊断——第一部分:Chiari I畸形真正导致的是什么。
Childs Nerv Syst. 2019 Oct;35(10):1673-1679. doi: 10.1007/s00381-019-04206-z. Epub 2019 Jun 3.
9
[Endoscopic foramen magnum decompression of Chiari malformation].[内镜下枕大孔减压治疗Chiari畸形]
Zhongguo Yi Xue Ke Xue Yuan Xue Bao. 2007 Feb;29(1):134-6.
10
Arnold-Chiari malformation with syringomyelia in an elderly woman.一名老年女性的阿诺德-奇阿利畸形合并脊髓空洞症
Age Ageing. 1999 Jul;28(4):399-400. doi: 10.1093/ageing/28.4.399.

引用本文的文献

1
Pediatric Arnold-Chiari I Malformation With Syrinx Presenting With Unilateral Hand Weakness: A Case Report.小儿伴有脊髓空洞症的Ⅰ型阿诺德-奇亚里畸形表现为单侧手部无力:病例报告
Hand (N Y). 2025 Jul 10:15589447251352008. doi: 10.1177/15589447251352008.
2
A Rare Course of Chiari Malformation With Large Syringomyelia Presenting at 54 Years Old.一名54岁出现巨大脊髓空洞症的Chiari畸形罕见病例。
Cureus. 2025 Feb 2;17(2):e78399. doi: 10.7759/cureus.78399. eCollection 2025 Feb.
3
A Prospective Study of CSF Flow Dynamics Across Foramen Magnum in Adult Chiari Malformation/Syringomyelia Complex and its Clinical Correlation with Outcomes after Surgery.

本文引用的文献

1
The effects of posterior fossa decompressive surgery in adult patients with Chiari malformation and sleep apnea.小脑扁桃体下疝畸形伴睡眠呼吸暂停成人患者行后颅窝减压手术的效果。
J Neurosurg. 2010 Apr;112(4):800-7. doi: 10.3171/2009.7.JNS09174.
2
Association of Chiari malformation type I and tethered cord syndrome: preliminary results of sectioning filum terminale.I型Chiari畸形与脊髓拴系综合征的关联:终丝切断术的初步结果
Surg Neurol. 2009 Jul;72(1):20-35. doi: 10.1016/j.surneu.2009.03.008.
3
Chiari type I malformation in a pediatric population.
成人Chiari畸形/脊髓空洞症复合体中脑脊液通过枕骨大孔的流动动力学的前瞻性研究及其与手术预后的临床相关性
Asian J Neurosurg. 2024 Oct 22;20(1):43-51. doi: 10.1055/s-0044-1791710. eCollection 2025 Mar.
4
The Benefits of Cognitive Therapeutic Exercise in Symptomatic Arnold-Chiari Syndrome Type I: A Case Report on Gait, Balance, and Pain Management.认知治疗性锻炼对症状性Ⅰ型阿诺德-奇亚里综合征的益处:关于步态、平衡和疼痛管理的病例报告
J Clin Med. 2024 Sep 18;13(18):5502. doi: 10.3390/jcm13185502.
5
Impact of chronic pain and depressive symptoms on the quality of life of adults with Chiari Malformation type I: A comparative study.慢性疼痛和抑郁症状对I型Chiari畸形成年人生活质量的影响:一项比较研究。
Intractable Rare Dis Res. 2024 Aug 31;13(3):148-156. doi: 10.5582/irdr.2024.01010.
6
MRI Insights in Chiari Malformation Type 1 and Variations With Hydrosyringomyelia.1型Chiari畸形及其合并脊髓空洞症变异的MRI影像学见解
Cureus. 2024 Mar 6;16(3):e55676. doi: 10.7759/cureus.55676. eCollection 2024 Mar.
7
Pulsatile microvascular cerebral blood flow waveforms change with intracranial compliance and age.搏动性微血管脑血流波形随颅内顺应性和年龄而变化。
Neurophotonics. 2024 Jan;11(1):015003. doi: 10.1117/1.NPh.11.1.015003. Epub 2024 Jan 20.
8
Physiotherapeutic Intervention in a 19-Year-Old Female Patient With Syringohydromyelia: A Case Report.一名19岁女性脊髓空洞症患者的物理治疗干预:病例报告
Cureus. 2023 Dec 12;15(12):e50419. doi: 10.7759/cureus.50419. eCollection 2023 Dec.
9
Cognition in Chiari Malformation Type I: an Update of a Systematic Review.Chiari 畸形 I 型认知功能障碍:系统评价更新。
Neuropsychol Rev. 2024 Sep;34(3):952-973. doi: 10.1007/s11065-023-09622-2. Epub 2023 Oct 6.
10
Downbeat nystagmus and progressive ataxia in adults: consider Chiari malformation type 1.成人出现下跳性眼球震颤和进行性共济失调:考虑1型Chiari畸形。
Arq Neuropsiquiatr. 2023 Oct;81(10):937-938. doi: 10.1055/s-0043-1771171. Epub 2023 Sep 29.
小儿人群中的 Chiari I 型畸形。
Pediatr Neurol. 2009 Jun;40(6):449-54. doi: 10.1016/j.pediatrneurol.2009.01.003.
4
Sleep disorder: a possible cause of attention deficit in children and adolescents with Chiari malformation type II.睡眠障碍:II型Chiari畸形儿童和青少年注意力缺陷的一个可能原因。
Arq Neuropsiquiatr. 2009 Mar;67(1):29-34. doi: 10.1590/s0004-282x2009000100008.
5
The natural history of the Chiari Type I anomaly.Chiari I型畸形的自然病史。
J Neurosurg Pediatr. 2008 Sep;2(3):179-87. doi: 10.3171/PED/2008/2/9/179.
6
Chiari malformation and syringomyelia.Chiari畸形和脊髓空洞症。
Radiol Technol. 2008 Jul-Aug;79(6):555-8.
7
Chiari I malformation associated with syringomyelia: a retrospective study of 316 surgically treated patients.伴脊髓空洞症的Chiari I型畸形:316例手术治疗患者的回顾性研究
Spinal Cord. 2008 May;46(5):358-63. doi: 10.1038/sj.sc.3102141. Epub 2007 Nov 20.
8
Antidepressants for neuropathic pain.用于治疗神经性疼痛的抗抑郁药。
Cochrane Database Syst Rev. 2007 Oct 17;2007(4):CD005454. doi: 10.1002/14651858.CD005454.pub2.
9
New challenges: general practitioners faced with "rare diseases".新挑战:全科医生面临“罕见病”问题。
Aten Primaria. 2006 Apr 30;37(7):369-70. doi: 10.1157/13087370.
10
The median atlanto-occipital joint in advanced age.老年人群中的寰枕关节正中位
Spine (Phila Pa 1976). 2006 Jun 15;31(14):E430-6. doi: 10.1097/01.brs.0000222156.96731.34.