Suppr超能文献

杨梅提取物可保护肝脏免受四氯化碳诱导的损伤。

Myrica rubra Extracts Protect the Liver from CCl(4)-Induced Damage.

机构信息

Jiangsu Key Laboratory of Molecular Medicine, School of Medicine, Nanjing University, Nanjing, China.

出版信息

Evid Based Complement Alternat Med. 2011;2011:518302. doi: 10.1093/ecam/nep196. Epub 2011 Feb 14.

Abstract

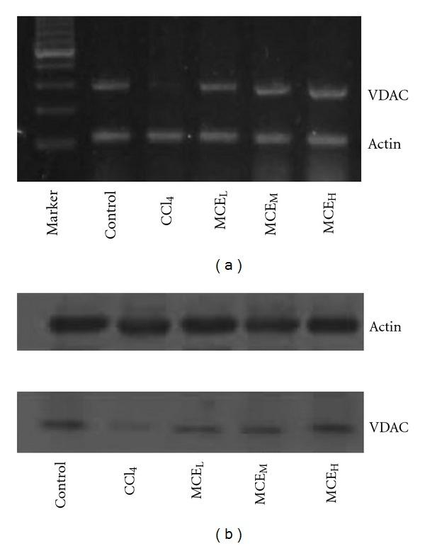
The relationship between the expression of mitochondrial voltage-dependent anion channels (VDACs) and the protective effects of Myrica rubra Sieb. Et Zucc fruit extract (MCE) against carbon tetrachloride (CCl(4))-induced liver damage was investigated. Pretreatment with 50 mg kg(-1), 150 mg kg(-1) or 450 mg kg(-1) MCE significantly blocked the CCl(4)-induced increase in both serum aspartate aminotransferase (sAST) and serum alanine aminotransferase (sALT) levels in mice (P < .05 or .01 versus CCl(4) group). Ultrastructural observations of decreased nuclear condensation, ameliorated mitochondrial fragmentation of the cristae and less lipid deposition by an electron microscope confirmed the hepatoprotection. The mitochondrial membrane potential dropped from -191.94 ± 8.84 mV to -132.06 ± 12.26 mV (P < .01) after the mice had been treated with CCl(4). MCE attenuated CCl(4)-induced mitochondrial membrane potential dissipation in a dose-dependent manner. At a dose of 150 or 450 mg kg(-1) of MCE, the mitochondrial membrane potentials were restored (P < .05). Pretreatment with MCE also prevented the elevation of intra-mitochondrial free calcium as observed in the liver of the CCl(4)-insulted mice (P < .01 versus CCl(4) group). In addition, MCE treatment (50-450 mg kg(-1)) significantly increased both transcription and translation of VDAC inhibited by CCl(4). The above data suggest that MCE mitigates the damage to liver mitochondria induced by CCl(4), possibly through the regulation of mitochondrial VDAC, one of the most important proteins in the mitochondrial outer membrane.

摘要

研究了杨梅果实提取物(MCE)对线粒体电压依赖性阴离子通道(VDACs)表达与对四氯化碳(CCl4)诱导肝损伤的保护作用之间的关系。50mg/kg、150mg/kg 或 450mg/kg 的 MCE 预处理可显著抑制 CCl4 诱导的小鼠血清天冬氨酸转氨酶(sAST)和血清丙氨酸转氨酶(sALT)水平升高(P<0.05 或 P<0.01 与 CCl4 组相比)。电镜下观察到核浓缩减少、嵴线粒体片段化改善和脂滴沉积减少,证实了其肝脏保护作用。线粒体膜电位从 CCl4 处理后的-191.94±8.84mV 降至-132.06±12.26mV(P<0.01)。MCE 呈剂量依赖性减弱 CCl4 诱导的线粒体膜电位耗散。在 150 或 450mg/kg 的剂量下,线粒体膜电位得到恢复(P<0.05)。MCE 预处理还可防止 CCl4 损伤小鼠肝线粒体中游离钙的升高(P<0.01 与 CCl4 组相比)。此外,MCE 处理(50-450mg/kg)可显著增加 CCl4 抑制的 VDAC 的转录和翻译。上述数据表明,MCE 减轻了 CCl4 诱导的肝线粒体损伤,可能是通过调节线粒体 VDAC 实现的,VDAC 是线粒体外膜最重要的蛋白质之一。

https://cdn.ncbi.nlm.nih.gov/pmc/blobs/684a/3135754/4a7b13090680/ECAM2011-518302.001.jpg

文献AI研究员

20分钟写一篇综述,助力文献阅读效率提升50倍。

立即体验

用中文搜PubMed

大模型驱动的PubMed中文搜索引擎

马上搜索

文档翻译

学术文献翻译模型,支持多种主流文档格式。

立即体验