Department of Biochemistry, University of Delhi South Campus, New Delhi, India.
PLoS One. 2009 Dec 21;4(12):e8387. doi: 10.1371/journal.pone.0008387.
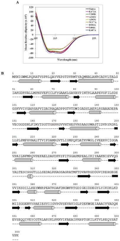
Newly emerging multi-drug resistant strains of Mycobacterium tuberculosis (M.tb) severely limit the treatment options for tuberculosis (TB); hence, new antitubercular drugs are urgently needed. The mymA operon is essential for the virulence and intracellular survival of M.tb and thus represents an attractive target for the development of new antitubercular drugs. This study is focused on the structure-function relationship of Fatty Acyl-CoA Synthetase (FadD13, Rv3089) belonging to the mymA operon. Eight site-directed mutants of FadD13 were designed, constructed and analyzed for the structural-functional integrity of the enzyme. The study revealed that mutation of Lys(487) resulted in approximately 95% loss of the activity thus demonstrating its crucial requirement for the enzymatic activity. Comparison of the kinetic parameters showed the residues Lys(172) and Ala(302) to be involved in the binding of ATP and Ser(404) in the binding of CoenzymeA. The influence of mutations of the residues Val(209) and Trp(377) emphasized their importance in maintaining the structural integrity of FadD13. Besides, we show a synergistic influence of fatty acid and ATP binding on the conformation and rigidity of FadD13. FadD13 represents the first Fatty Acyl-CoA Synthetase to display biphasic kinetics for fatty acids. FadD13 exhibits a distinct preference for C(26)/C(24) fatty acids, which in the light of earlier reported observations further substantiates the role of the mymA operon in remodeling the cell envelope of intracellular M.tb under acidic conditions. A three-dimensional model of FadD13 was generated; the docking of ATP to the active site verified its interaction with Lys(172), Ala(302) and Lys(487) and corresponded well with the results of the mutational studies. Our study provides a significant understanding of the FadD13 protein including the identification of residues important for its activity as well as in the maintenance of structural integrity. We believe that the findings of this study will provide valuable inputs in the development of inhibitors against the mymA operon, an important target for the development of antitubercular drugs.
新型耐多药结核分枝杆菌(M.tb)菌株严重限制了结核病(TB)的治疗选择;因此,急需新的抗结核药物。mycA 操纵子对于结核分枝杆菌的毒力和细胞内生存至关重要,因此是开发新的抗结核药物的一个有吸引力的靶点。本研究集中于属于 mycA 操纵子的脂肪酸酰基辅酶 A 合成酶(FadD13,Rv3089)的结构 - 功能关系。设计、构建并分析了 FadD13 的 8 个定点突变体,以研究酶的结构 - 功能完整性。研究表明,突变赖氨酸(487)导致活性丧失约 95%,因此表明其对酶活性的关键要求。比较动力学参数表明,残基赖氨酸(172)和丙氨酸(302)参与 ATP 的结合,丝氨酸(404)参与辅酶 A 的结合。突变残基缬氨酸(209)和色氨酸(377)的影响强调了它们在维持 FadD13 结构完整性方面的重要性。此外,我们还展示了脂肪酸和 ATP 结合对 FadD13 构象和刚性的协同影响。FadD13 代表第一个显示脂肪酸双相动力学的脂肪酸酰基辅酶 A 合成酶。FadD13 对 C(26)/C(24)脂肪酸表现出明显的偏好,这进一步证实了 mycA 操纵子在酸性条件下重塑细胞内结核分枝杆菌细胞包膜的作用。生成了 FadD13 的三维模型;将 ATP 对接至活性位点验证了其与赖氨酸(172)、丙氨酸(302)和赖氨酸(487)的相互作用,与突变研究的结果非常吻合。我们的研究提供了对 FadD13 蛋白的深入了解,包括确定对其活性和结构完整性维护重要的残基。我们相信,这项研究的结果将为针对 mycA 操纵子的抑制剂的开发提供有价值的信息,mycA 操纵子是开发抗结核药物的一个重要靶点。