• 文献检索
  • 文档翻译
  • 深度研究
  • 学术资讯
  • Suppr Zotero 插件Zotero 插件
  • 邀请有礼
  • 套餐&价格
  • 历史记录
应用&插件
Suppr Zotero 插件Zotero 插件浏览器插件Mac 客户端Windows 客户端微信小程序
定价
高级版会员购买积分包购买API积分包
服务
文献检索文档翻译深度研究API 文档MCP 服务
关于我们
关于 Suppr公司介绍联系我们用户协议隐私条款
关注我们

Suppr 超能文献

核心技术专利:CN118964589B侵权必究
粤ICP备2023148730 号-1Suppr @ 2026

文献检索

告别复杂PubMed语法,用中文像聊天一样搜索,搜遍4000万医学文献。AI智能推荐,让科研检索更轻松。

立即免费搜索

文件翻译

保留排版,准确专业,支持PDF/Word/PPT等文件格式,支持 12+语言互译。

免费翻译文档

深度研究

AI帮你快速写综述,25分钟生成高质量综述,智能提取关键信息,辅助科研写作。

立即免费体验

播散性眶部放线菌病:一例报告。

Disseminated orbital actinomycetoma: a case report.

机构信息

D. Y. Patil Medical College and Research Center, Navi Mumbai, India.

出版信息

Indian J Ophthalmol. 2010 Jan-Feb;58(1):60-3. doi: 10.4103/0301-4738.58474.

DOI:10.4103/0301-4738.58474
PMID:20029148
原文链接:https://pmc.ncbi.nlm.nih.gov/articles/PMC2841376/
Abstract

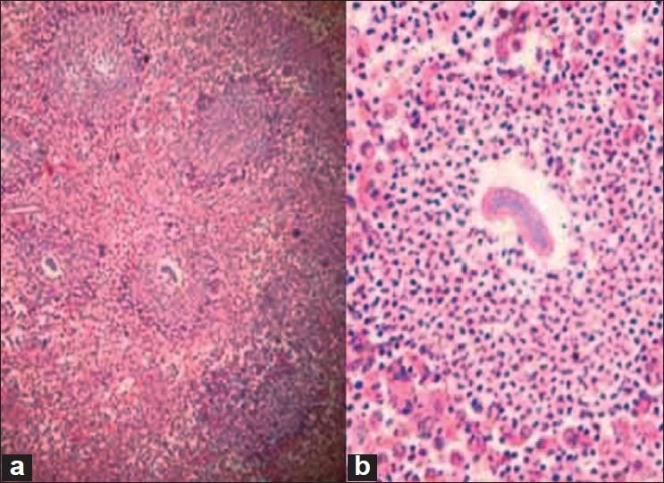
Mycetoma is a chronic granulomatous infection. Lower extremities are commonly involved. A 20-year-old male came with complaints of multiple sinuses on scalp, left eyelid swelling with a sinus and dystopia, since one year. On examination there was relative proptosis in left eye of 2 mm. Computed tomography scan showed soft tissue swelling of the pre-septal area of the left upper eyelid with orbital involvement. Magnetic resonance imaging showed increased left orbital volume and evident dystopia. Microbiology testing of the erosive scalp and lid lesions showed genus Nocardia, suggestive of actinomycetoma. This case is presented as it shows an unusual involvement of the orbit.

摘要

足菌肿是一种慢性肉芽肿性感染。下肢最常受累。一名 20 岁男性因头皮多个窦道、左眼肿胀伴窦道和斜视来就诊,病史 1 年。检查发现左眼有 2mm 的相对突出。计算机断层扫描显示左眼额隔前区软组织肿胀伴眶内受累。磁共振成像显示左侧眶容积增大,明显斜视。侵蚀性头皮和眼睑病变的微生物学检测显示诺卡氏菌属,提示放线菌肿。本病例的特殊性在于其眼眶受累。

https://cdn.ncbi.nlm.nih.gov/pmc/blobs/0815/2841376/9c82488e883e/IJO-58-60-g005.jpg
https://cdn.ncbi.nlm.nih.gov/pmc/blobs/0815/2841376/f1add2b4ee71/IJO-58-60-g001.jpg
https://cdn.ncbi.nlm.nih.gov/pmc/blobs/0815/2841376/1f77dfe0ea8d/IJO-58-60-g002.jpg
https://cdn.ncbi.nlm.nih.gov/pmc/blobs/0815/2841376/bc4bec5e5b57/IJO-58-60-g003.jpg
https://cdn.ncbi.nlm.nih.gov/pmc/blobs/0815/2841376/72c6dd787c9c/IJO-58-60-g004.jpg
https://cdn.ncbi.nlm.nih.gov/pmc/blobs/0815/2841376/9c82488e883e/IJO-58-60-g005.jpg
https://cdn.ncbi.nlm.nih.gov/pmc/blobs/0815/2841376/f1add2b4ee71/IJO-58-60-g001.jpg
https://cdn.ncbi.nlm.nih.gov/pmc/blobs/0815/2841376/1f77dfe0ea8d/IJO-58-60-g002.jpg
https://cdn.ncbi.nlm.nih.gov/pmc/blobs/0815/2841376/bc4bec5e5b57/IJO-58-60-g003.jpg
https://cdn.ncbi.nlm.nih.gov/pmc/blobs/0815/2841376/72c6dd787c9c/IJO-58-60-g004.jpg
https://cdn.ncbi.nlm.nih.gov/pmc/blobs/0815/2841376/9c82488e883e/IJO-58-60-g005.jpg

相似文献

1
Disseminated orbital actinomycetoma: a case report.播散性眶部放线菌病:一例报告。
Indian J Ophthalmol. 2010 Jan-Feb;58(1):60-3. doi: 10.4103/0301-4738.58474.
2
Orbital nocardiosis.眼眶诺卡菌病
Indian J Ophthalmol. 2011 Mar-Apr;59(2):168; author reply 168-9. doi: 10.4103/0301-4738.77021.
3
Atypical mycobacterial infection of the orbit.
Ophthalmology. 1995 Oct;102(10):1536-41. doi: 10.1016/s0161-6420(95)30834-2.
4
Actinomycetoma of the scalp after a car accident.头皮放线菌病,车祸后发生。
Int J Dermatol. 2011 Jul;50(7):854-7. doi: 10.1111/j.1365-4632.2011.04874.x.
5
Bilateral periorbital ecthyma gangrenosum.双侧眶周坏疽性臁疮
Ophthalmic Plast Reconstr Surg. 2006 Nov-Dec;22(6):492-3. doi: 10.1097/01.iop.0000248990.71690.a2.
6
Voriconazole in the treatment of fungal osteomyelitis of the orbit in the immunocompromised host.伏立康唑治疗免疫功能低下宿主眼眶真菌性骨髓炎
Orbit. 2005 Dec;24(4):285-9. doi: 10.1080/01676830500187696.
7
An abscess causing a delayed optic neuropathy after decompression for thyroid eye disease.一例甲状腺眼病减压术后引起迟发性视神经病变的脓肿。
Orbit. 2014 Feb;33(1):65-7. doi: 10.3109/01676830.2013.842256. Epub 2013 Oct 21.
8
Neonatal orbital abscess.新生儿眼眶脓肿
Indian J Ophthalmol. 2014 Mar;62(3):354-7. doi: 10.4103/0301-4738.116447.
9
Orbital abscess caused by viridans Streptococcus.草绿色链球菌引起的眶内脓肿。
Ophthalmic Plast Reconstr Surg. 2010 Nov-Dec;26(6):500-1. doi: 10.1097/IOP.0b013e3181cf94b3.
10
Bilateral cavernous sinus thromboses and intraorbital abscesses secondary to Streptococcus milleri.米勒链球菌继发双侧海绵窦血栓形成及眶内脓肿。
Ophthalmology. 2003 Mar;110(3):569-74. doi: 10.1016/S0161-6420(02)01765-7.

引用本文的文献

1
Orbital actinomadura madurae actinomycetoma: Case report and literature review.眼眶马杜拉放线菌性足菌肿:病例报告及文献复习
PLoS Negl Trop Dis. 2025 Apr 29;19(4):e0013035. doi: 10.1371/journal.pntd.0013035. eCollection 2025 Apr.
2
Isolated Nocardiosis, an Unrecognized Primary Immunodeficiency?孤立性奴卡菌病,一种未被认识的原发性免疫缺陷病?
Front Immunol. 2020 Oct 20;11:590239. doi: 10.3389/fimmu.2020.590239. eCollection 2020.
3
Mycetoma: a clinical dilemma in resource limited settings.真菌性足菌肿:资源有限环境中的临床难题。

本文引用的文献

1
Histopathological Identification of Various Causal Species of Mycetoma Prevalent in North-west Rajasthan (bikaner Region).
Indian J Dermatol Venereol Leprol. 1985 Mar-Apr;51(2):76-79.
2
Actinomycetoma with negative culture: a therapeutic challenge.培养结果为阴性的放线菌性足菌肿:一项治疗挑战。
Dermatol Online J. 2008 Apr 15;14(4):5.
3
A modified two-step treatment for actinomycetoma.放线菌性足菌肿的改良两步治疗法。
Indian J Dermatol Venereol Leprol. 2007 Jul-Aug;73(4):235-9. doi: 10.4103/0378-6323.32888.
Ann Clin Microbiol Antimicrob. 2018 Aug 10;17(1):35. doi: 10.1186/s12941-018-0287-4.
4
Nocardia infections of the face and neck.面部和颈部诺卡菌感染。
Curr Infect Dis Rep. 2011 Apr;13(2):132-40. doi: 10.1007/s11908-011-0165-0.
5
Orbital nocardiosis.眼眶诺卡菌病
Indian J Ophthalmol. 2011 Mar-Apr;59(2):168; author reply 168-9. doi: 10.4103/0301-4738.77021.
4
Tropical dermatology: fungal tropical diseases.热带皮肤病学:真菌性热带疾病
J Am Acad Dermatol. 2005 Dec;53(6):931-51, quiz 952-4. doi: 10.1016/j.jaad.2004.10.883.
5
Intracranial actinomadura granuloma.
Neurol India. 2005 Sep;53(3):368-70. doi: 10.4103/0028-3886.16952.
6
Compressive myelopathy due to nocardiosis from dermal lesion.皮肤病变引起的诺卡菌病所致压迫性脊髓病
J Assoc Physicians India. 2003 Mar;51:318-21.
7
Nocardiosis in 30 patients with advanced human immunodeficiency virus infection: clinical features and outcome.30例晚期人类免疫缺陷病毒感染患者的诺卡菌病:临床特征与转归
Clin Infect Dis. 1994 Mar;18(3):348-53. doi: 10.1093/clinids/18.3.348.
8
The medically important aerobic actinomycetes: epidemiology and microbiology.具有医学重要性的需氧放线菌:流行病学与微生物学
Clin Microbiol Rev. 1994 Jul;7(3):357-417. doi: 10.1128/CMR.7.3.357.
9
Amikacin alone and in combination with trimethoprim-sulfamethoxazole in the treatment of actinomycotic mycetoma.阿米卡星单独及联合甲氧苄啶-磺胺甲恶唑治疗放线菌性足菌肿
J Am Acad Dermatol. 1987 Sep;17(3):443-8. doi: 10.1016/s0190-9622(87)70227-8.
10
Actinomycotic pseudo-tumour of the mid-cervical region (a case report).
J Postgrad Med. 1991 Jan;37(1):62-4.