• 文献检索
  • 文档翻译
  • 深度研究
  • 学术资讯
  • Suppr Zotero 插件Zotero 插件
  • 邀请有礼
  • 套餐&价格
  • 历史记录
应用&插件
Suppr Zotero 插件Zotero 插件浏览器插件Mac 客户端Windows 客户端微信小程序
定价
高级版会员购买积分包购买API积分包
服务
文献检索文档翻译深度研究API 文档MCP 服务
关于我们
关于 Suppr公司介绍联系我们用户协议隐私条款
关注我们

Suppr 超能文献

核心技术专利:CN118964589B侵权必究
粤ICP备2023148730 号-1Suppr @ 2026

文献检索

告别复杂PubMed语法,用中文像聊天一样搜索,搜遍4000万医学文献。AI智能推荐,让科研检索更轻松。

立即免费搜索

文件翻译

保留排版,准确专业,支持PDF/Word/PPT等文件格式,支持 12+语言互译。

免费翻译文档

深度研究

AI帮你快速写综述,25分钟生成高质量综述,智能提取关键信息,辅助科研写作。

立即免费体验

结直肠腺癌中细胞周期蛋白的蛋白表达和基因扩增的差异。

Differences in protein expression and gene amplification of cyclins between colon and rectal adenocarcinomas.

机构信息

Faculty Division Akershus University Hospital, University of Oslo, 1474 Nordbyhagen, Norway.

出版信息

Gastroenterol Res Pract. 2009;2009:285830. doi: 10.1155/2009/285830. Epub 2009 Dec 15.

DOI:10.1155/2009/285830
PMID:20029639
原文链接:https://pmc.ncbi.nlm.nih.gov/articles/PMC2796221/
Abstract

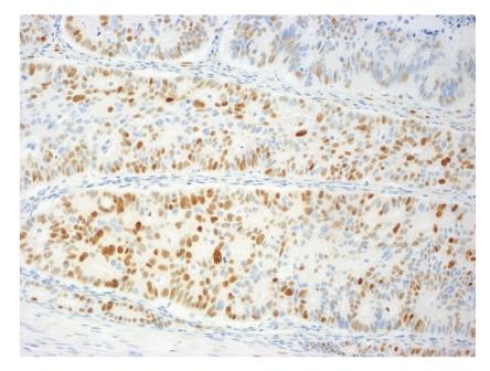
Adenocarcinomas of rectum and colon may be different with regard to the cellular biological basis for cancer development. A material of 246 rectal cancers removed surgically at Akershus University Hospital in the years 1992-2000 was investigated and was compared to a material of 219 colon cancers operated on at Akershus University Hospital during the years 1988, 1990 and 1997-2000. There were highly significant differences between the rectal and the colon cancers in the protein expression of cyclin D1, cyclin D3, cyclin E, nuclear beta-catenin, and c-Myc and in gene amplification of cyclin A2, cyclin B1, cyclin D1, and cyclin E. Gene amplification and protein expression in the rectal cancers correlated significantly for the cyclins B1, D3, and E. A statistically significant relation was observed between overexpression of cyclin A2 and local relapse of rectal carcinomas, as higher expression of cyclin A2 was associated with lower local recurrence rate.

摘要

直肠和结肠的腺癌在癌症发展的细胞生物学基础方面可能有所不同。对阿克什胡斯大学医院 1992-2000 年间手术切除的 246 例直肠癌标本进行了研究,并与阿克什胡斯大学医院 1988 年、1990 年和 1997-2000 年间手术切除的 219 例结肠癌标本进行了比较。在 cyclin D1、cyclin D3、cyclin E、核 β-catenin 和 c-Myc 的蛋白表达以及 cyclin A2、cyclin B1、cyclin D1 和 cyclin E 的基因扩增方面,直肠癌和结肠癌之间存在显著差异。直肠癌中 cyclin B1、D3 和 E 的基因扩增和蛋白表达显著相关。cyclin A2 的过度表达与直肠癌的局部复发之间存在统计学上的显著关系,因为 cyclin A2 的高表达与较低的局部复发率相关。

https://cdn.ncbi.nlm.nih.gov/pmc/blobs/6518/2796221/90b6681e9c22/GRP2009-285830.004.jpg
https://cdn.ncbi.nlm.nih.gov/pmc/blobs/6518/2796221/c894662aa073/GRP2009-285830.001.jpg
https://cdn.ncbi.nlm.nih.gov/pmc/blobs/6518/2796221/61250d7f6d5e/GRP2009-285830.002.jpg
https://cdn.ncbi.nlm.nih.gov/pmc/blobs/6518/2796221/86bb2071b3c2/GRP2009-285830.003.jpg
https://cdn.ncbi.nlm.nih.gov/pmc/blobs/6518/2796221/90b6681e9c22/GRP2009-285830.004.jpg
https://cdn.ncbi.nlm.nih.gov/pmc/blobs/6518/2796221/c894662aa073/GRP2009-285830.001.jpg
https://cdn.ncbi.nlm.nih.gov/pmc/blobs/6518/2796221/61250d7f6d5e/GRP2009-285830.002.jpg
https://cdn.ncbi.nlm.nih.gov/pmc/blobs/6518/2796221/86bb2071b3c2/GRP2009-285830.003.jpg
https://cdn.ncbi.nlm.nih.gov/pmc/blobs/6518/2796221/90b6681e9c22/GRP2009-285830.004.jpg

相似文献

1
Differences in protein expression and gene amplification of cyclins between colon and rectal adenocarcinomas.结直肠腺癌中细胞周期蛋白的蛋白表达和基因扩增的差异。
Gastroenterol Res Pract. 2009;2009:285830. doi: 10.1155/2009/285830. Epub 2009 Dec 15.
2
Expression and gene amplification of primary (A, B1, D1, D3, and E) and secondary (C and H) cyclins in colon adenocarcinomas and correlation with patient outcome.原发性(A、B1、D1、D3和E)和继发性(C和H)细胞周期蛋白在结肠腺癌中的表达、基因扩增及其与患者预后的相关性。
J Clin Pathol. 2005 May;58(5):509-14. doi: 10.1136/jcp.2004.020347.
3
The prognostic value and overexpression of cyclin A is correlated with gene amplification of both cyclin A and cyclin E in breast cancer patient.细胞周期蛋白A的预后价值及过表达与乳腺癌患者中细胞周期蛋白A和细胞周期蛋白E的基因扩增相关。
Cell Oncol. 2006;28(3):107-16. doi: 10.1155/2006/721919.
4
Expression of cyclins D1 and E in human colon adenocarcinomas.细胞周期蛋白D1和E在人结肠腺癌中的表达。
J Med. 1997;28(5-6):285-309.
5
Deregulation of D-type cyclins in uterine cancers. Cyclin D1/D3 is differentially expressed in cervical cancer.子宫癌中D型细胞周期蛋白的失调。细胞周期蛋白D1/D3在宫颈癌中存在差异表达。
Anticancer Res. 2003 Sep-Oct;23(5A):3929-35.
6
Analysis of cyclins A, B1, D1 and E in breast cancer in relation to tumour grade and other prognostic factors.乳腺癌中细胞周期蛋白A、B1、D1和E与肿瘤分级及其他预后因素的相关性分析。
BMC Res Notes. 2009 Jul 17;2:140. doi: 10.1186/1756-0500-2-140.
7
Cyclin gene amplification and overexpression in breast and ovarian cancers: evidence for the selection of cyclin D1 in breast and cyclin E in ovarian tumors.细胞周期蛋白基因在乳腺癌和卵巢癌中的扩增与过表达:乳腺癌中细胞周期蛋白D1及卵巢肿瘤中细胞周期蛋白E选择的证据。
Int J Cancer. 1996 Aug 22;69(4):247-53. doi: 10.1002/(SICI)1097-0215(19960822)69:4<247::AID-IJC1>3.0.CO;2-X.
8
Prognostic Significance of Cyclins A2, B1, D1, and E1 and Numerical Aberrations in Oral Squamous Cell Carcinomas.Cyclins A2、B1、D1 和 E1 以及口腔鳞状细胞癌中的数字畸变的预后意义。
Anal Cell Pathol (Amst). 2018 Mar 27;2018:7253510. doi: 10.1155/2018/7253510. eCollection 2018.
9
Cyclin alterations in giant cell tumor of bone.骨巨细胞瘤中的细胞周期蛋白改变。
Mod Pathol. 2003 Mar;16(3):210-8. doi: 10.1097/01.MP.0000057235.65327.40.
10
Overexpression of cyclin D1 and cyclin E in 1,2-dimethylhydrazine dihydrochloride-induced rat colon carcinogenesis.细胞周期蛋白D1和细胞周期蛋白E在二盐酸1,2 - 二甲基肼诱导的大鼠结肠癌发生中的过表达
J Vet Sci. 2000 Dec;1(2):121-6.

引用本文的文献

1
Plasma protein expression differs between colorectal cancer patients depending on primary tumor location.结直肠癌患者的血浆蛋白表达因其原发肿瘤位置而异。
Cancer Med. 2020 Jul;9(14):5221-5234. doi: 10.1002/cam4.3178. Epub 2020 May 26.
2
RIPK1 polymorphisms alter the susceptibility to cervical Cancer among the Uyghur population in China.RIPK1 多态性改变了中国维吾尔族人群罹患宫颈癌的易感性。
BMC Cancer. 2020 Apr 9;20(1):299. doi: 10.1186/s12885-020-06779-4.
3
Are Colon and Rectal Cancer Two Different Tumor Entities? A Proposal to Abandon the Term Colorectal Cancer.

本文引用的文献

1
Predicting recurrence after oral precancer treatment: use of cell cycle analysis.口腔癌前病变治疗后复发的预测:细胞周期分析的应用。
Br J Oral Maxillofac Surg. 2008 Jul;46(5):370-5. doi: 10.1016/j.bjoms.2008.01.003. Epub 2008 Feb 20.
2
Cyclin A and E2F1 overexpression correlate with reduced disease-free survival in node-negative breast cancer patients.
Anticancer Res. 2006 Nov-Dec;26(6B):4415-21.
3
Prognostic significance of Cyclin A in epidermoid anal cancer.
Oncol Rep. 2006 Sep;16(3):443-9.
4
结肠癌和直肠癌是两种不同的肿瘤实体吗?建议放弃“结直肠癌”一词。
Int J Mol Sci. 2018 Aug 30;19(9):2577. doi: 10.3390/ijms19092577.
4
Adjuvant chemotherapy.辅助化疗
EJC Suppl. 2013 Sep;11(2):72-9. doi: 10.1016/j.ejcsup.2013.07.034.
5
Expression profiling of rectal tumors defines response to neoadjuvant treatment related genes.直肠肿瘤的表达谱分析确定了对新辅助治疗相关基因的反应。
PLoS One. 2014 Nov 7;9(11):e112189. doi: 10.1371/journal.pone.0112189. eCollection 2014.
6
Cyclin E involved in early stage carcinogenesis of esophageal adenocarcinoma by SNP DNA microarray and immunohistochemical studies.通过单核苷酸多态性DNA微阵列和免疫组织化学研究发现,细胞周期蛋白E参与食管腺癌的早期致癌过程。
BMC Gastroenterol. 2014 Apr 17;14:78. doi: 10.1186/1471-230X-14-78.
7
Association study of germline variants in CCNB1 and CDK1 with breast cancer susceptibility, progression, and survival among Chinese Han women.CCNB1和CDK1种系变异与中国汉族女性乳腺癌易感性、进展及生存的关联研究
PLoS One. 2013 Dec 27;8(12):e84489. doi: 10.1371/journal.pone.0084489. eCollection 2013.
8
Differences in survival between colon and rectal cancer from SEER data.从 SEER 数据看结肠癌与直肠癌的生存差异。
PLoS One. 2013 Nov 12;8(11):e78709. doi: 10.1371/journal.pone.0078709. eCollection 2013.
9
Expression of cyclin E in stage III colorectal carcinoma.细胞周期蛋白E在III期结直肠癌中的表达。
Oncol Lett. 2013 Jan;5(1):145-148. doi: 10.3892/ol.2012.955. Epub 2012 Oct 5.
10
RIPK1 and CASP7 polymorphism as prognostic markers for survival in patients with colorectal cancer after complete resection.RIPK1 和 CASP7 多态性作为结直肠癌患者完全切除术后生存的预后标志物。
J Cancer Res Clin Oncol. 2011 Apr;137(4):705-13. doi: 10.1007/s00432-010-0929-1. Epub 2010 Jun 22.
Prognostic significance of cyclin A in gastric cancer.细胞周期蛋白A在胃癌中的预后意义。
Int J Cancer. 2006 Oct 15;119(8):1897-901. doi: 10.1002/ijc.21944.
5
Improved prognostication in soft tissue sarcoma: independent information from vascular invasion, necrosis, growth pattern, and immunostaining using whole-tumor sections and tissue microarrays.软组织肉瘤预后评估的改进:来自血管侵犯、坏死、生长模式以及使用全肿瘤切片和组织微阵列进行免疫染色的独立信息。
Hum Pathol. 2005 Sep;36(9):994-1002. doi: 10.1016/j.humpath.2005.07.008.
6
Cyclin A as a marker for prognosis and chemotherapy response in advanced breast cancer.细胞周期蛋白A作为晚期乳腺癌预后和化疗反应的标志物。
Br J Cancer. 2005 Sep 5;93(5):515-9. doi: 10.1038/sj.bjc.6602735.
7
Prognostic significance of expressions of cell-cycle regulatory proteins in gastrointestinal stromal tumor and the relevance of the risk grade.细胞周期调节蛋白表达在胃肠道间质瘤中的预后意义及与危险度分级的相关性
Hum Pathol. 2005 Jul;36(7):828-37. doi: 10.1016/j.humpath.2005.03.012.
8
Expression of cyclin A1 and cell cycle proteins in hematopoietic cells and acute myeloid leukemia and links to patient outcome.细胞周期蛋白A1和细胞周期蛋白在造血细胞和急性髓系白血病中的表达及其与患者预后的关系。
Eur J Haematol. 2005 Aug;75(2):106-15. doi: 10.1111/j.1600-0609.2005.00473.x.
9
Expression of cyclins, p53, and Ki-67 in cervical squamous cell carcinomas: overexpression of cyclin A is a poor prognostic factor in stage Ib and II disease.细胞周期蛋白、p53和Ki-67在宫颈鳞状细胞癌中的表达:细胞周期蛋白A的过表达是Ib期和II期疾病的不良预后因素。
Virchows Arch. 2005 Jun;446(6):626-33. doi: 10.1007/s00428-005-1252-0. Epub 2005 May 13.
10
Expression and gene amplification of primary (A, B1, D1, D3, and E) and secondary (C and H) cyclins in colon adenocarcinomas and correlation with patient outcome.原发性(A、B1、D1、D3和E)和继发性(C和H)细胞周期蛋白在结肠腺癌中的表达、基因扩增及其与患者预后的相关性。
J Clin Pathol. 2005 May;58(5):509-14. doi: 10.1136/jcp.2004.020347.