Laboratório de Imunologia Viral, Instituto Butantan, 05503-900 São Paulo, Brazil.
Free Radic Biol Med. 2010 Mar 1;48(5):704-12. doi: 10.1016/j.freeradbiomed.2009.12.013. Epub 2009 Dec 24.
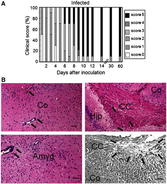
Multiple sclerosis (MS) is a progressive inflammatory and/or demyelinating disease of the human central nervous system (CNS). Most of the knowledge about the pathogenesis of MS has been derived from murine models, such as experimental autoimmune encephalomyelitis and viral encephalomyelitis. Here, we infected female C57BL/6 mice with a neurotropic strain of the mouse hepatitis virus (MHV-59A) to evaluate whether treatment with the multifunctional antioxidant tempol (4-hydroxy-2,2,6,6-tetramethyl-1-piperidinyloxy) affects the ensuing encephalomyelitis. In untreated animals, neurological symptoms developed quickly: 90% of infected mice died 10 days after virus inoculation and the few survivors presented neurological deficits. Treatment with tempol (24 mg/kg, ip, two doses on the first day and daily doses for 7 days plus 2 mM tempol in the drinking water ad libitum) profoundly altered the disease outcome: neurological symptoms were attenuated, mouse survival increased up to 70%, and half of the survivors behaved as normal mice. Not surprisingly, tempol substantially preserved the integrity of the CNS, including the blood-brain barrier. Furthermore, treatment with tempol decreased CNS viral titers, macrophage and T lymphocyte infiltration, and levels of markers of inflammation, such as expression of inducible nitric oxide synthase, transcription of tumor necrosis factor-alpha and interferon-gamma, and protein nitration. The results indicate that tempol ameliorates murine viral encephalomyelitis by altering the redox status of the infectious environment that contributes to an attenuated CNS inflammatory response. Overall, our study supports the development of therapeutic strategies based on nitroxides to manage neuroinflammatory diseases, including MS.
多发性硬化症(MS)是一种人类中枢神经系统(CNS)的进行性炎症和/或脱髓鞘疾病。关于 MS 的发病机制的大部分知识都来自于实验性自身免疫性脑脊髓炎和病毒性脑脊髓炎等啮齿动物模型。在这里,我们用嗜神经株鼠肝炎病毒(MHV-59A)感染雌性 C57BL/6 小鼠,以评估多功能抗氧化剂 tempol(4-羟基-2,2,6,6-四甲基-1-哌啶氧基)的治疗是否会影响随后的脑脊髓炎。在未治疗的动物中,神经症状迅速发展:90%的感染小鼠在病毒接种后 10 天死亡,少数幸存者出现神经功能缺损。用 tempol(24 mg/kg,ip,第一天两次剂量,连续 7 天每天剂量,加 2 mM tempol 自由饮用)治疗可显著改变疾病结局:神经症状减轻,小鼠存活率提高至 70%,一半的幸存者表现为正常小鼠。不出所料,tempol 极大地保护了中枢神经系统的完整性,包括血脑屏障。此外,用 tempol 治疗可降低中枢神经系统病毒滴度、巨噬细胞和 T 淋巴细胞浸润以及炎症标志物的水平,如诱导型一氧化氮合酶的表达、肿瘤坏死因子-α和干扰素-γ的转录以及蛋白质硝化。结果表明,tempol 通过改变有助于减轻中枢神经系统炎症反应的感染环境的氧化还原状态来改善小鼠病毒性脑脊髓炎。总的来说,我们的研究支持开发基于氮氧化物的治疗策略来治疗神经炎症性疾病,包括 MS。