Suppr超能文献

相似文献

1
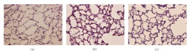
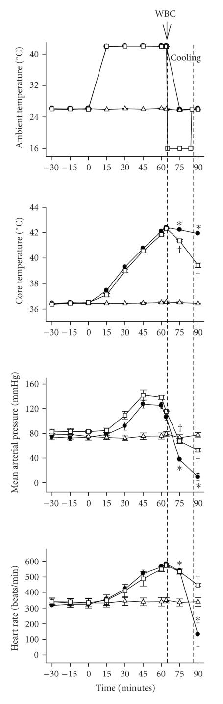
Attenuation of acute lung inflammation and injury by whole body cooling in a rat heatstroke model.
J Biomed Biotechnol. 2009;2009:768086. doi: 10.1155/2009/768086. Epub 2009 Dec 15.
3
Resuscitation from experimental heatstroke by brain cooling therapy.
Resuscitation. 2007 Jun;73(3):437-45. doi: 10.1016/j.resuscitation.2006.11.003. Epub 2007 Feb 14.
6
Body cooling causes normalization of cardiac protein expression and function in a rat heatstroke model.
J Proteome Res. 2008 Nov;7(11):4935-45. doi: 10.1021/pr8000089. Epub 2008 Sep 30.
7
Attenuating heat-induced acute lung inflammation and injury by dextromethorphan in rats.
Am J Respir Cell Mol Biol. 2012 Mar;46(3):407-13. doi: 10.1165/rcmb.2011-0226OC. Epub 2011 Oct 27.
8
Hypothermia attenuates circulatory shock and cerebral ischemia in experimental heatstroke.
Shock. 2003 Apr;19(4):388-93. doi: 10.1097/00024382-200304000-00016.
9
Inhibition of neuronal nitric oxide synthase causes attenuation of cerebrovascular dysfunction in experimental heatstroke.
Neuropharmacology. 2007 Feb;52(2):297-305. doi: 10.1016/j.neuropharm.2006.07.033. Epub 2006 Sep 6.
10
Hydroxyethyl starch produces attenuation of circulatory shock and cerebral ischemia during heatstroke.
Shock. 2004 Sep;22(3):288-94. doi: 10.1097/01.shk.0000135287.16417.5a.

引用本文的文献

1
Biomarkers of heatstroke-induced organ injury and repair.
Exp Physiol. 2022 Oct;107(10):1159-1171. doi: 10.1113/EP090142. Epub 2022 Jun 14.
4
Expression of heme oxygenase-1 in type II pneumocytes protects against heatstroke-induced lung damage.
Cell Stress Chaperones. 2021 Jan;26(1):67-76. doi: 10.1007/s12192-020-01152-7. Epub 2020 Aug 25.
6
Ischemic and oxidative damage to the hypothalamus may be responsible for heat stroke.
Curr Neuropharmacol. 2013 Mar;11(2):129-40. doi: 10.2174/1570159X11311020001.
7
Melatonin reduces acute lung inflammation, edema, and hemorrhage in heatstroke rats.
Acta Pharmacol Sin. 2012 Jun;33(6):775-82. doi: 10.1038/aps.2012.29. Epub 2012 May 21.

本文引用的文献

1
Interleukin-1 receptor antagonist restores homeostatic function and limits multiorgan damage in heatstroke.
Eur J Appl Physiol. 2008 Jul;103(5):561-8. doi: 10.1007/s00421-008-0755-1. Epub 2008 May 6.
2
Microvascular injury, thrombosis, inflammation, and apoptosis in the pathogenesis of heatstroke: a study in baboon model.
Arterioscler Thromb Vasc Biol. 2008 Jun;28(6):1130-6. doi: 10.1161/ATVBAHA.107.158709. Epub 2008 Apr 3.
3
Oxidative stress and ischemic injuries in heat stroke.
Prog Brain Res. 2007;162:525-46. doi: 10.1016/S0079-6123(06)62025-6.
5
Resuscitation from experimental heatstroke by brain cooling therapy.
Resuscitation. 2007 Jun;73(3):437-45. doi: 10.1016/j.resuscitation.2006.11.003. Epub 2007 Feb 14.
8
Role of N-methyl-D-aspartate receptor in hyperoxia-induced lung injury.
Pediatr Pulmonol. 2005 Nov;40(5):437-44. doi: 10.1002/ppul.20299.
9
Induced hypothermia as a new approach to lung rest for the acutely injured lung.
Crit Care Med. 2005 Sep;33(9):2049-55. doi: 10.1097/01.ccm.0000178186.37167.53.
10
Effects of various body temperatures after lipopolysaccharide-induced lung injury in rats.
Chest. 2005 Jul;128(1):327-36. doi: 10.1378/chest.128.1.327.

文献AI研究员

20分钟写一篇综述,助力文献阅读效率提升50倍。

立即体验

用中文搜PubMed

大模型驱动的PubMed中文搜索引擎

马上搜索

文档翻译

学术文献翻译模型,支持多种主流文档格式。

立即体验