Suppr超能文献

孕酮诱导人体寄生虫猪带绦虫头节外翻:对宿主-寄生虫关系的进化意义

Progesterone induces scolex evagination of the human parasite Taenia solium: evolutionary implications to the host-parasite relationship.

作者信息

Escobedo Galileo, Camacho-Arroyo Ignacio, Hernández-Hernández Olivia Tania, Ostoa-Saloma Pedro, García-Varela Martín, Morales-Montor Jorge

机构信息

Departamento de Biología, Facultad de Química, Universidad Nacional Autónoma de México, AP 70228, 04510 México, DF, Mexico.

出版信息

J Biomed Biotechnol. 2010;2010:591079. doi: 10.1155/2010/591079. Epub 2009 Dec 13.

Abstract

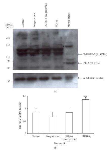
Taenia solium cysticercosis is a health problem in underdeveloped and developed countries. Sex hormones are involved in cysticercosis prevalence in female and male pigs. Here, we evaluated the effects of progesterone and its antagonist RU486 on scolex evagination, which is the initial step in the development of the adult worm. Interestingly, progesterone increased T. solium scolex evagination and worm growth, in a concentration-independent pattern. Progesterone effects could be mediated by a novel T. solium progesterone receptor (TsPR), since RU486 inhibits both scolex evagination and worm development induced by progesterone. Using RT-PCR and western blot, sequences related to progesterone receptor were detected in the parasite. A phylogenetic analysis reveals that TsPR is highly related to fish and amphibian progesterone receptors, whereas it has a distant relation with birds and mammals. Conclusively, progesterone directly acts upon T. solium cysticerci, possibly through its binding to a progesterone receptor synthesized by the parasite.

摘要

猪带绦虫囊尾蚴病在欠发达国家和发达国家都是一个健康问题。性激素与雌性和雄性猪的囊尾蚴病流行有关。在此,我们评估了孕酮及其拮抗剂RU486对头节外翻的影响,头节外翻是成虫发育的起始步骤。有趣的是,孕酮以浓度非依赖性模式增加猪带绦虫头节外翻和虫体生长。孕酮的作用可能由一种新型的猪带绦虫孕酮受体(TsPR)介导,因为RU486可抑制孕酮诱导的头节外翻和虫体发育。利用逆转录聚合酶链反应(RT-PCR)和蛋白质免疫印迹法,在该寄生虫中检测到了与孕酮受体相关的序列。系统发育分析表明,TsPR与鱼类和两栖类孕酮受体高度相关,而与鸟类和哺乳动物的关系较远。总之,孕酮可能通过与该寄生虫合成的孕酮受体结合而直接作用于猪带绦虫囊尾蚴。

https://cdn.ncbi.nlm.nih.gov/pmc/blobs/d7e9/2796346/e01e624f37c8/JBB2010-591079.001.jpg

文献AI研究员

20分钟写一篇综述,助力文献阅读效率提升50倍。

立即体验

用中文搜PubMed

大模型驱动的PubMed中文搜索引擎

马上搜索

文档翻译

学术文献翻译模型,支持多种主流文档格式。

立即体验