• 文献检索
  • 文档翻译
  • 深度研究
  • 学术资讯
  • Suppr Zotero 插件Zotero 插件
  • 邀请有礼
  • 套餐&价格
  • 历史记录
应用&插件
Suppr Zotero 插件Zotero 插件浏览器插件Mac 客户端Windows 客户端微信小程序
定价
高级版会员购买积分包购买API积分包
服务
文献检索文档翻译深度研究API 文档MCP 服务
关于我们
关于 Suppr公司介绍联系我们用户协议隐私条款
关注我们

Suppr 超能文献

核心技术专利:CN118964589B侵权必究
粤ICP备2023148730 号-1Suppr @ 2026

文献检索

告别复杂PubMed语法,用中文像聊天一样搜索,搜遍4000万医学文献。AI智能推荐,让科研检索更轻松。

立即免费搜索

文件翻译

保留排版,准确专业,支持PDF/Word/PPT等文件格式,支持 12+语言互译。

免费翻译文档

深度研究

AI帮你快速写综述,25分钟生成高质量综述,智能提取关键信息,辅助科研写作。

立即免费体验

兔白细胞防御素在实验性梅毒宿主反应中的作用

Contribution of rabbit leukocyte defensins to the host response in experimental syphilis.

作者信息

Borenstein L A, Ganz T, Sell S, Lehrer R I, Miller J N

机构信息

Department of Microbiology and Immunology, University of California, Los Angeles 90024.

出版信息

Infect Immun. 1991 Apr;59(4):1368-77. doi: 10.1128/iai.59.4.1368-1377.1991.

DOI:10.1128/iai.59.4.1368-1377.1991
PMID:2004817
原文链接:https://pmc.ncbi.nlm.nih.gov/articles/PMC257852/
Abstract

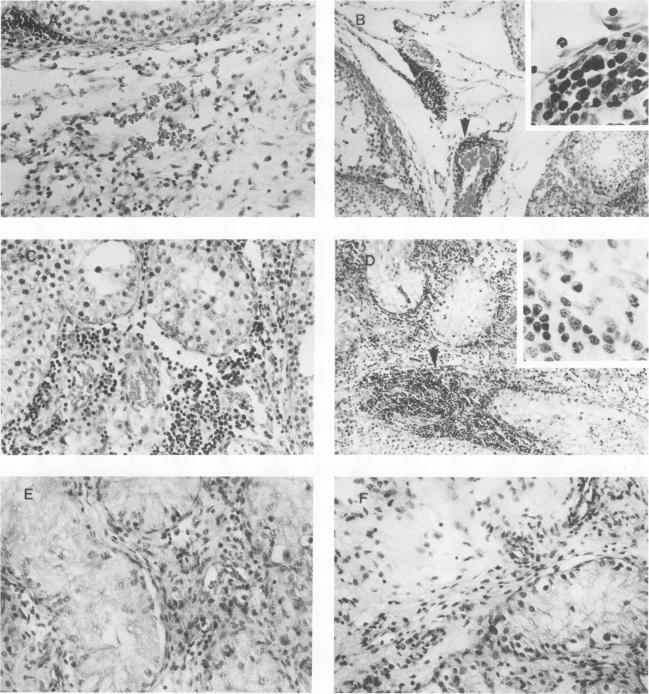
In the companion paper (L. A. Borenstein, M. E. Selsted, R. I. Lehrer, and J. N. Miller, Infect. Immun. 59:1359-1367, 1991), we report that rabbit alveolar macrophage and neutrophil derived defensins possess antimicrobial activity against Treponema pallidum subsp. pallidum, the etiologic agent of syphilis. In this study, antisera specific for NP-1 and NP-2 (defensins present in certain macrophages and polymorphonuclear leukocytes) and NP-5 (a defensin produced only in neutrophils) were used to detect these peptides by immunoperoxidase staining in testicular lesions from infected rabbits. Profound amounts of cell-free and cell-associated defensins were detected in the tunica albuginea and interstitial spaces during the first 24 h of infection. The presence of defensins was transient and almost undetectable by day 4. Interstitial defensins were detected again at day 10 and increased through day 16, at which time lesion healing was evident by hematoxylin and eosin staining. The appearance and increase in detectable defensins between days 10 and 16 of infection correlated with a reduction in numbers and disappearance of T. pallidum, as demonstrated by using silver staining. The extent and pattern of immunostaining for NP-1 and NP-2 corresponded with immunostaining for NP-5 and identified neutrophils as the cellular source of the defensins. These findings indicate that defensins may contribute to the control of local T. pallidum infection and suggest a role for acute inflammatory processes in the resolution of early experimental syphilis.

摘要

在配套论文中(L. A. 博伦斯坦、M. E. 塞尔斯特德、R. I. 莱勒和J. N. 米勒,《感染与免疫》59:1359 - 1367,1991年),我们报告称,兔肺泡巨噬细胞和中性粒细胞衍生的防御素对梅毒螺旋体苍白亚种具有抗菌活性,梅毒螺旋体苍白亚种是梅毒的病原体。在本研究中,针对NP - 1和NP - 2(存在于某些巨噬细胞和多形核白细胞中的防御素)以及NP - 5(仅在中性粒细胞中产生的一种防御素)的抗血清,通过免疫过氧化物酶染色用于检测感染兔睾丸病变中的这些肽。在感染的最初24小时内,在白膜和间质间隙中检测到大量游离和细胞相关的防御素。防御素的存在是短暂的,到第4天时几乎检测不到。在第10天再次检测到间质防御素,并在第16天增加,此时苏木精和伊红染色显示病变愈合明显。如银染色所示,感染第10天至16天可检测到的防御素的出现和增加与梅毒螺旋体数量的减少和消失相关。NP - 1和NP - 2的免疫染色范围和模式与NP - 5的免疫染色相对应,并确定中性粒细胞为防御素的细胞来源。这些发现表明防御素可能有助于控制局部梅毒螺旋体感染,并提示急性炎症过程在早期实验性梅毒消退中发挥作用。

https://cdn.ncbi.nlm.nih.gov/pmc/blobs/c56f/257852/0b88ad63b7d2/iai00040-0169-a.jpg
https://cdn.ncbi.nlm.nih.gov/pmc/blobs/c56f/257852/a83e4abcaa7a/iai00040-0164-a.jpg
https://cdn.ncbi.nlm.nih.gov/pmc/blobs/c56f/257852/e9598b5c4c19/iai00040-0165-a.jpg
https://cdn.ncbi.nlm.nih.gov/pmc/blobs/c56f/257852/f8bfee8978d9/iai00040-0166-a.jpg
https://cdn.ncbi.nlm.nih.gov/pmc/blobs/c56f/257852/e4a8099f6915/iai00040-0168-a.jpg
https://cdn.ncbi.nlm.nih.gov/pmc/blobs/c56f/257852/0b88ad63b7d2/iai00040-0169-a.jpg
https://cdn.ncbi.nlm.nih.gov/pmc/blobs/c56f/257852/a83e4abcaa7a/iai00040-0164-a.jpg
https://cdn.ncbi.nlm.nih.gov/pmc/blobs/c56f/257852/e9598b5c4c19/iai00040-0165-a.jpg
https://cdn.ncbi.nlm.nih.gov/pmc/blobs/c56f/257852/f8bfee8978d9/iai00040-0166-a.jpg
https://cdn.ncbi.nlm.nih.gov/pmc/blobs/c56f/257852/e4a8099f6915/iai00040-0168-a.jpg
https://cdn.ncbi.nlm.nih.gov/pmc/blobs/c56f/257852/0b88ad63b7d2/iai00040-0169-a.jpg

相似文献

1
Contribution of rabbit leukocyte defensins to the host response in experimental syphilis.兔白细胞防御素在实验性梅毒宿主反应中的作用
Infect Immun. 1991 Apr;59(4):1368-77. doi: 10.1128/iai.59.4.1368-1377.1991.
2
Antimicrobial activity of rabbit leukocyte defensins against Treponema pallidum subsp. pallidum.兔白细胞防御素对梅毒螺旋体苍白亚种的抗菌活性。
Infect Immun. 1991 Apr;59(4):1359-67. doi: 10.1128/iai.59.4.1359-1367.1991.
3
Studies of rabbit testes infected with Treponema pallidum. I Immunopathology.感染梅毒螺旋体的兔睾丸研究。I. 免疫病理学
Br J Vener Dis. 1983 Dec;59(6):349-58. doi: 10.1136/sti.59.6.349.
4
Characterization of lymphocyte responsiveness in early experimental syphilis. II. Nature of cellular infiltration and Treponema pallidum distribution in testicular lesions.早期实验性梅毒中淋巴细胞反应性的特征。II. 睾丸病变中细胞浸润的性质及梅毒螺旋体分布
J Immunol. 1980 Jan;124(1):461-7.
5
Characterization of the serum requirement for macrophage-mediated killing of Treponema pallidum ssp. pallidum: relationship to the development of opsonizing antibodies.巨噬细胞介导杀灭梅毒螺旋体苍白亚种所需血清的特性:与调理素抗体产生的关系
FEMS Immunol Med Microbiol. 1993 Apr;6(4):273-9. doi: 10.1111/j.1574-695X.1993.tb00339.x.
6
Avoidance of host defences by Treponema pallidum in situ and on extraction from infected rabbit testes.梅毒螺旋体在原位以及从受感染兔睾丸中提取出来后对宿主防御的规避。
J Gen Microbiol. 1981 Sep;126(1):69-75. doi: 10.1099/00221287-126-1-69.
7
Bactericidal potency and mechanistic specificity of neutrophil defensins against bovine mastitis pathogens.
Vet Microbiol. 1991 Sep;29(1):49-58. doi: 10.1016/0378-1135(91)90109-s.
8
Experimental syphilitic orchitis in rabbits: ultrastructural appearance of Treponema pallidum during phagocytosis and dissolution by macrophages in vivo.兔实验性梅毒性睾丸炎:梅毒螺旋体在体内被巨噬细胞吞噬和溶解过程中的超微结构表现
Lab Invest. 1982 Apr;46(4):355-64.
9
[Investigation of microbicidal activity of neutrophil defensins against leptospires].[中性粒细胞防御素对钩端螺旋体的杀菌活性研究]
Hua Xi Yi Ke Da Xue Xue Bao. 1992 Jun;23(2):126-9.
10
Non-pathogenic Borrelia burgdorferi expressing Treponema pallidum TprK and Tp0435 antigens as a novel approach to evaluate syphilis vaccine candidates.表达梅毒密螺旋体 TprK 和 Tp0435 抗原的无致病性伯氏疏螺旋体作为评估梅毒候选疫苗的新方法。
Vaccine. 2019 Mar 22;37(13):1807-1818. doi: 10.1016/j.vaccine.2019.02.022. Epub 2019 Feb 20.

引用本文的文献

1
Syphilis vaccine: challenges, controversies and opportunities.梅毒疫苗:挑战、争议与机遇。
Front Immunol. 2023 Apr 6;14:1126170. doi: 10.3389/fimmu.2023.1126170. eCollection 2023.
2
Modification of β-Defensin-2 by Dicarbonyls Methylglyoxal and Glyoxal Inhibits Antibacterial and Chemotactic Function In Vitro.二羰基化合物甲基乙二醛和乙二醛对β-防御素-2的修饰会抑制其体外抗菌和趋化功能。
PLoS One. 2015 Aug 5;10(8):e0130533. doi: 10.1371/journal.pone.0130533. eCollection 2015.
3
Antimicrobial peptide β-defensin-1 expression is upregulated in Alzheimer's brain.

本文引用的文献

1
Studies on treponemal immobilizing antibodies in syphilis. I. Techniques of measurement and factors influencing immobilization.梅毒中梅毒螺旋体固定抗体的研究。I. 测量技术及影响固定的因素。
J Immunol. 1951 Jun;66(6):667-85.
2
THE APPEARANCE AND PERSISTENCE OF VDRL, RPCF, AND TPI ANTIBODY DURING THE COURSE AND TREATMENT OF EXPERIMENTAL SYPHILIS IN THE RABBIT.梅毒血清试验(VDRL)、快速血浆反应素环状卡片试验(RPCF)和梅毒螺旋体抗体(TPI)在兔实验性梅毒病程及治疗过程中的出现与持续情况
J Invest Dermatol. 1964 May;42:367-71. doi: 10.1038/jid.1964.80.
3
STUDIES ON IMMUNITY IN EXPERIMENTAL SYPHILIS. I. IMMUNOLOGIC RESPONSE OF RABBITS IMMUNIZED WITH REITER PROTEIN ANTIGEN AND CHALLENGED WITH VIRULENT TREPONEMA PALLIDUM.
抗菌肽β-防御素-1 在阿尔茨海默病脑中表达上调。
J Neuroinflammation. 2013 Oct 18;10:127. doi: 10.1186/1742-2094-10-127.
4
A new strategy to produce a defensin: stable production of mutated NP-1 in nitrate reductase-deficient Chlorella ellipsoidea.一种生产防御素的新策略:在硝酸还原酶缺陷型椭圆小球藻中稳定生产突变 NP-1。
PLoS One. 2013;8(1):e54966. doi: 10.1371/journal.pone.0054966. Epub 2013 Jan 28.
5
The immunopathobiology of syphilis: the manifestations and course of syphilis are determined by the level of delayed-type hypersensitivity.梅毒的免疫病理生物学:梅毒的表现和病程由迟发型超敏反应的水平决定。
Am J Dermatopathol. 2011 Jul;33(5):433-60. doi: 10.1097/DAD.0b013e3181e8b587.
6
Biological basis for syphilis.梅毒的生物学基础。
Clin Microbiol Rev. 2006 Jan;19(1):29-49. doi: 10.1128/CMR.19.1.29-49.2006.
7
NP-1, a rabbit alpha-defensin, prevents the entry and intercellular spread of herpes simplex virus type 2.NP-1是一种兔α-防御素,可阻止单纯疱疹病毒2型的进入和细胞间传播。
Antimicrob Agents Chemother. 2003 Feb;47(2):494-500. doi: 10.1128/AAC.47.2.494-500.2003.
8
Natural pathogens of laboratory mice, rats, and rabbits and their effects on research.实验小鼠、大鼠和家兔的自然病原体及其对研究的影响。
Clin Microbiol Rev. 1998 Apr;11(2):231-66. doi: 10.1128/CMR.11.2.231.
实验性梅毒免疫研究。I. 用赖特蛋白抗原免疫并接种毒力梅毒螺旋体的家兔的免疫反应
Br J Vener Dis. 1963 Sep;39(3):195-8. doi: 10.1136/sti.39.3.195.
4
Inoculation syphilis in human volunteers.在人类志愿者身上接种梅毒。
Medicine (Baltimore). 1956 Feb;35(1):33-82. doi: 10.1097/00005792-195602000-00002.
5
Activation of macrophages by products of lymphocytes from normal and syphilitic rabbits.正常兔和梅毒兔淋巴细胞产物对巨噬细胞的激活作用。
Infect Immun. 1982 Jul;37(1):64-9. doi: 10.1128/iai.37.1.64-69.1982.
6
Experimental syphilitic orchitis in rabbits: ultrastructural appearance of Treponema pallidum during phagocytosis and dissolution by macrophages in vivo.兔实验性梅毒性睾丸炎:梅毒螺旋体在体内被巨噬细胞吞噬和溶解过程中的超微结构表现
Lab Invest. 1982 Apr;46(4):355-64.
7
Host response to Treponema pallidum in intradermally-infected rabbits: evidence for persistence of infection at local and distant sites.皮内感染梅毒螺旋体的家兔的宿主反应:局部和远处部位存在持续性感染的证据。
J Invest Dermatol. 1980 Dec;75(6):470-5. doi: 10.1111/1523-1747.ep12524230.
8
Purification and antibacterial activity of antimicrobial peptides of rabbit granulocytes.兔粒细胞抗菌肽的纯化及其抗菌活性
Infect Immun. 1984 Jul;45(1):150-4. doi: 10.1128/iai.45.1.150-154.1984.
9
Detection of circulating immune complexes in the sera of rabbits with experimental syphilis: possible role in immunoregulation.实验性梅毒兔血清中循环免疫复合物的检测:在免疫调节中的可能作用。
Infect Immun. 1980 Aug;29(2):575-82. doi: 10.1128/iai.29.2.575-582.1980.
10
Susceptibility of Treponema pallidum to the toxic products of oxygen reduction and the non-treponemal nature of its catalase.梅毒螺旋体对氧还原毒性产物的敏感性及其过氧化氢酶的非梅毒螺旋体性质
Br J Vener Dis. 1984 Feb;60(1):14-22. doi: 10.1136/sti.60.1.14.