Smulders Yvette E, De Bondt Bert-Jan, Lacko Martin, Hodge Janice Al, Kross Kenneth W
Department of Otolaryngology/Head and Neck Surgery, Maastricht University Medical Centre, the Netherlands.
J Med Case Rep. 2009 Nov 20;3:9288. doi: 10.1186/1752-1947-3-9288.
Laryngeal tuberculosis used to be a common complication in advanced pulmonary tuberculosis. However, it has become a rare occurrence in developed countries since the introduction of antituberculous agents. Moreover, the pattern of the disease has changed over the years. Nowadays, it more closely resembles a laryngeal carcinoma than any other laryngeal illness.
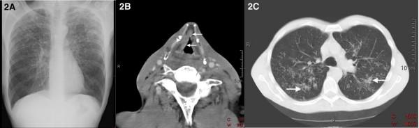
We describe the case of a 50-year-old Caucasian man who presented with the clinical picture of laryngeal cancer, but which turned out to be tuberculosis. We illustrate the difficulty of recognizing laryngeal tuberculosis both clinically and even with radiological examination.
Although laryngeal tuberculosis is uncommon, especially in developed countries, it still occurs and should be considered as a differential diagnosis in any laryngeal disease, in particular in the case of a laryngeal carcinoma.
喉结核曾是晚期肺结核的常见并发症。然而,自从抗结核药物问世以来,在发达国家它已变得罕见。此外,多年来该疾病的模式已经发生变化。如今,它与喉癌的相似程度超过其他任何喉部疾病。
我们描述了一名50岁白种男性的病例,他表现出喉癌的临床症状,但结果却是结核病。我们说明了在临床甚至放射学检查中识别喉结核的困难。
尽管喉结核并不常见,尤其是在发达国家,但它仍然会发生,并且在任何喉部疾病中,特别是在喉癌病例中,都应被视为鉴别诊断的考虑因素。