Suppr超能文献

一例免疫功能正常宿主同时合并喉结核、支气管内膜结核和肺结核的病例。

A Case of Laryngeal Tuberculosis, Endobronchial Tuberculosis and Pulmonary Tuberculosis Coexistent in an Immunocompetent Host.

作者信息

Avula Akshay, Ngu Sam, Mansour Wissam, Gurala Dhineshreddy, Maroun Rabih

机构信息

Internal Medicine, Northwell Health-Staten Island University Hospital, Staten Island, USA.

Pulmonary and Critical Care Medicine, Northwell Health-Staten Island University Hospital, Staten Island, USA.

出版信息

Cureus. 2020 Sep 29;12(9):e10713. doi: 10.7759/cureus.10713.

Abstract

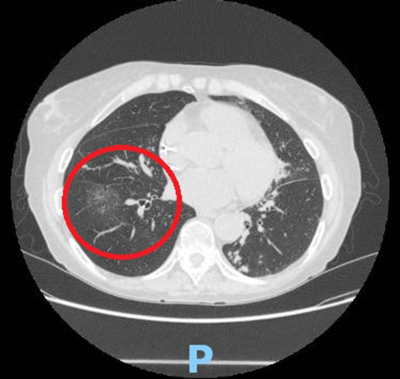
Historically associated with poor prognosis seen in advanced disease, laryngeal tuberculosis (LTB) now represents only 1% of all cases of tuberculosis (TB). The incidence of LTB has decreased drastically with the introduction of anti-tubercular drugs. LTB can be primary or secondary to pulmonary tuberculosis. LTB can mimic laryngeal cancer. We present a case of primary laryngeal TB with descending tracheobronchial spread in an immunocompetent 71-year-old female who developed progressive dysphonia over several months with unintentional weight loss and non-productive cough. Non-contrast enhanced computed tomography (CT) revealed clustering of subcentimeter stellate nodules in the right upper lung field with an enlarging ground-glass opacity in the right lower lung but did not show structural abnormalities within the neck. Positron emission tomography (PET) showed pathologic fluorodeoxyglucose (FDG) uptake within the larynx and trachea with extension into the left mainstream bronchus as well as the proximal left upper and lower lobe bronchi. Diffuse standardized uptake value (SUV) was greatest in the larynx (20.5). Polymerase chain reaction (PCR) on bronchoscope sputum specimen confirmed Mycobacterium tuberculosis. Findings were consistent with primary laryngeal TB with endobronchial extension. She was started on a four-drug regimen comprising of isoniazid, rifampin, ethambutol, and pyrazinamide with a good response. Her close contacts were treated as well. This case highlights the unusual spread of primary laryngeal TB in an immunocompetent host. Early diagnosis can limit adverse complications and unnecessary exposure to healthcare workers. To our knowledge, this is the first case of primary LTB with proximal spread to the tracheobronchial and pulmonary tuberculosis.

摘要

喉结核(LTB)在历史上与晚期疾病的不良预后相关,如今在所有结核病(TB)病例中仅占1%。随着抗结核药物的引入,LTB的发病率已大幅下降。LTB可为原发性,也可为继发型肺结核。LTB可酷似喉癌。我们报告一例原发性喉结核病例,该病例发生于一名免疫功能正常的71岁女性,病变呈气管支气管下行播散,患者在数月内逐渐出现进行性声音嘶哑、体重意外减轻及干咳。非增强计算机断层扫描(CT)显示右上肺野有多个小于1厘米的星状结节聚集,右下肺有一个增大的磨玻璃影,但颈部未见结构异常。正电子发射断层扫描(PET)显示喉部和气管内有病理氟脱氧葡萄糖(FDG)摄取,病变延伸至左主支气管以及左肺上叶和下叶近端支气管。弥漫性标准化摄取值(SUV)在喉部最大(20.5)。支气管镜痰液标本聚合酶链反应(PCR)证实为结核分枝杆菌。检查结果与原发性喉结核伴支气管内播散一致。她开始接受异烟肼、利福平、乙胺丁醇和吡嗪酰胺组成的四联治疗方案,反应良好。她的密切接触者也接受了治疗。该病例突出了原发性喉结核在免疫功能正常宿主中的不寻常播散。早期诊断可限制不良并发症以及医护人员不必要的暴露。据我们所知,这是首例原发性LTB近端播散至气管支气管和肺结核的病例。

https://cdn.ncbi.nlm.nih.gov/pmc/blobs/6554/7594666/2b6215d432a9/cureus-0012-00000010713-i01.jpg

文献检索

告别复杂PubMed语法,用中文像聊天一样搜索,搜遍4000万医学文献。AI智能推荐,让科研检索更轻松。

立即免费搜索

文件翻译

保留排版,准确专业,支持PDF/Word/PPT等文件格式,支持 12+语言互译。

免费翻译文档

深度研究

AI帮你快速写综述,25分钟生成高质量综述,智能提取关键信息,辅助科研写作。

立即免费体验