• 文献检索
  • 文档翻译
  • 深度研究
  • 学术资讯
  • Suppr Zotero 插件Zotero 插件
  • 邀请有礼
  • 套餐&价格
  • 历史记录
应用&插件
Suppr Zotero 插件Zotero 插件浏览器插件Mac 客户端Windows 客户端微信小程序
定价
高级版会员购买积分包购买API积分包
服务
文献检索文档翻译深度研究API 文档MCP 服务
关于我们
关于 Suppr公司介绍联系我们用户协议隐私条款
关注我们

Suppr 超能文献

核心技术专利:CN118964589B侵权必究
粤ICP备2023148730 号-1Suppr @ 2026

文献检索

告别复杂PubMed语法,用中文像聊天一样搜索,搜遍4000万医学文献。AI智能推荐,让科研检索更轻松。

立即免费搜索

文件翻译

保留排版,准确专业,支持PDF/Word/PPT等文件格式,支持 12+语言互译。

免费翻译文档

深度研究

AI帮你快速写综述,25分钟生成高质量综述,智能提取关键信息,辅助科研写作。

立即免费体验

以慢性腹泻为表现的结肠憩室脓肿:一例报告

Colonic diverticular abscess presenting as chronic diarrhea: a case report.

作者信息

Daryani Nasser Ebrahimi, Keramati Mohammad Reza, Habibollahi Peiman, Pashaei Mohammad Reza, Ansarinejad Nafiseh, Ajdarkosh Hossein

机构信息

Department of Gastroenterology, Tehran University of Medical Sciences, Tehran, Iran.

出版信息

Cases J. 2009 Dec 23;2:9389. doi: 10.1186/1757-1626-2-9389.

DOI:10.1186/1757-1626-2-9389
PMID:20076780
原文链接:https://pmc.ncbi.nlm.nih.gov/articles/PMC2806879/
Abstract

INTRODUCTION

Several complications have been reported with diverticular disease of colon. Perforation of the diverticulum of colon may lead to development of abdominal abscesses which can have diverse manifestations.

CASE PRESENTATION

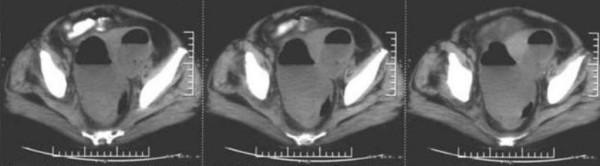
This report describes a 72 year-old woman presented with a one month history of non-bloody diarrhea, abdominal pain, and low grade fever. Computed tomography scan confirmed presence of a large local air-fluid level within the culdesac area. Laparotomy revealed a large pelvic abscess which was surrounded between rectosigmoid and uterus with severe tissue necrosis of rectosigmoid colon and uterus.

CONCLUSION

Although rarely reported, abdominal abscesses due to colonic diverticulitis may present as refractory chronic diarrhea.

摘要

引言

结肠憩室病已报告有几种并发症。结肠憩室穿孔可能导致腹部脓肿的形成,其表现形式多样。

病例报告

本报告描述了一名72岁女性,有1个月的非血性腹泻、腹痛和低热病史。计算机断层扫描证实盆腔区域存在一个大的局部气液平面。剖腹手术发现一个大的盆腔脓肿,位于直肠乙状结肠和子宫之间,直肠乙状结肠和子宫有严重的组织坏死。

结论

尽管报道较少,但结肠憩室炎引起的腹部脓肿可能表现为难治性慢性腹泻。

https://cdn.ncbi.nlm.nih.gov/pmc/blobs/7ad4/2806879/49fbcd21e634/1757-1626-2-9389-1.jpg
https://cdn.ncbi.nlm.nih.gov/pmc/blobs/7ad4/2806879/49fbcd21e634/1757-1626-2-9389-1.jpg
https://cdn.ncbi.nlm.nih.gov/pmc/blobs/7ad4/2806879/49fbcd21e634/1757-1626-2-9389-1.jpg

相似文献

1
Colonic diverticular abscess presenting as chronic diarrhea: a case report.以慢性腹泻为表现的结肠憩室脓肿:一例报告
Cases J. 2009 Dec 23;2:9389. doi: 10.1186/1757-1626-2-9389.
2
Ultrasound of colon diverticulitis.结肠憩室炎的超声表现。
Dig Dis. 2012;30(1):56-9. doi: 10.1159/000336620. Epub 2012 May 3.
3
[Complicated diverticular disease debuting as necrotising fasciitis of pelvic limb. A case report].[以盆腔肢体坏死性筋膜炎为首发表现的复杂性憩室病。病例报告]
Cir Cir. 2017 May-Jun;85(3):240-244. doi: 10.1016/j.circir.2016.01.003. Epub 2016 Mar 31.
4
A gas-filled abdominal cyst in an elderly woman: A giant colonic diverticulum case report.一名老年女性的气腹囊肿:巨大结肠憩室病例报告
Int J Surg Case Rep. 2016;24:104-7. doi: 10.1016/j.ijscr.2016.05.029. Epub 2016 May 25.
5
Diverticular Perforation Secondary to a Chicken Bone: Food for Thought.鸡骨导致的憩室穿孔:值得思考的问题。
Cureus. 2019 Mar 19;11(3):e4273. doi: 10.7759/cureus.4273.
6
A case of solitary rectal diverticulum presenting with a large retrorectal abscess.一例以巨大直肠后脓肿为表现的孤立性直肠憩室病例。
Ann Med Surg (Lond). 2019 Nov 27;49:57-60. doi: 10.1016/j.amsu.2019.11.015. eCollection 2020 Jan.
7
Left Colon Diverticulitis Presenting as Perforated Lumbar Abscess: A Case Report and Review of the Current Literature.以穿孔性腰大肌脓肿表现的左半结肠憩室炎:一例报告及当前文献综述
Case Rep Gastrointest Med. 2015;2015:414905. doi: 10.1155/2015/414905. Epub 2015 Dec 31.
8
Colonic Diverticulitis After Endoscopic Band Ligation Performed for Colonic Diverticular Hemorrhage.内镜下套扎术治疗结肠憩室出血后发生的结肠憩室炎
ACG Case Rep J. 2015 Jul 9;2(4):218-20. doi: 10.14309/crj.2015.64. eCollection 2015 Jul.
9
Diverticular abscess presenting as a strangulated inguinal hernia: case report and review of the literature.以绞窄性腹股沟疝形式表现的憩室脓肿:病例报告及文献复习
Ulster Med J. 2007 May;76(2):107-8.
10
CT of the acute colonic diverticulitis: a pictorial essay.CT 诊断急性结肠憩室炎:影像学研究论文。
Diagn Interv Radiol. 2020 Nov;26(6):546-551. doi: 10.5152/dir.2020.19645.

引用本文的文献

1
Diverticulitis presenting as a tubo-ovarian abscess with subsequent colon perforation.表现为输卵管卵巢脓肿继而导致结肠穿孔的憩室炎。
World J Gastrointest Surg. 2011 May 27;3(5):70-2. doi: 10.4240/wjgs.v3.i5.70.

本文引用的文献

1
A giant colonic diverticulum presenting as a 'phantom mass': a case report.以“幽灵肿块”形式出现的巨大结肠憩室:一例病例报告
J Med Case Rep. 2009 Jan 27;3:29. doi: 10.1186/1752-1947-3-29.
2
Hepatic abscess in a pre-existed simple hepatic cyst as a late complication of sigmoid colon ruptured diverticula: a case report.乙状结肠破裂性憩室的晚期并发症——既往存在的单纯性肝囊肿并发肝脓肿:一例报告
J Med Case Rep. 2008 Mar 14;2:83. doi: 10.1186/1752-1947-2-83.
3
Increased production of the soluble tumor-associated antigens CA19-9, CA125, and CA15-3 in rheumatoid arthritis: potential adhesion molecules in synovial inflammation?
类风湿关节炎中可溶性肿瘤相关抗原CA19-9、CA125和CA15-3的产生增加:滑膜炎症中的潜在黏附分子?
Ann N Y Acad Sci. 2007 Jun;1108:359-71. doi: 10.1196/annals.1422.037.
4
What do we know about diverticular disease? A brief overview.关于憩室病我们了解多少?简要概述。
J Clin Gastroenterol. 2006 Aug;40 Suppl 3:S108-11. doi: 10.1097/01.mcg.0000212603.28595.5c.
5
Chronic diarrhea.慢性腹泻
Clin Gastroenterol Hepatol. 2005 Aug;3(8):734-7. doi: 10.1016/s1542-3565(05)00298-3.
6
Recognizing and managing acute diverticulitis for the internist.内科医生对急性憩室炎的识别与处理
Cleve Clin J Med. 2005 Jul;72(7):620-7. doi: 10.3949/ccjm.72.7.620.
7
Chronic diarrhea.慢性腹泻
Gastroenterology. 2004 Jul;127(1):287-93. doi: 10.1053/j.gastro.2004.05.028.
8
Spectrum of disease and outcome of complicated diverticular disease.复杂性憩室病的疾病谱及预后
Am J Surg. 2003 Dec;186(6):696-701. doi: 10.1016/j.amjsurg.2003.08.019.
9
Diverticulitis causing a high serum level of carbohydrate antigen 19-9: report of a case.憩室炎导致血清碳水化合物抗原19-9水平升高:一例报告
Surg Today. 2002;32(3):282-4. doi: 10.1007/s005950200037.
10
Diverticular abscess presenting as prostate abscess and missed by abdominal CT scan.以前列腺脓肿表现的憩室脓肿并被腹部CT扫描漏诊。
J Emerg Med. 2002 Apr;22(3):263-5. doi: 10.1016/s0736-4679(01)00482-6.