• 文献检索
  • 文档翻译
  • 深度研究
  • 学术资讯
  • Suppr Zotero 插件Zotero 插件
  • 邀请有礼
  • 套餐&价格
  • 历史记录
应用&插件
Suppr Zotero 插件Zotero 插件浏览器插件Mac 客户端Windows 客户端微信小程序
定价
高级版会员购买积分包购买API积分包
服务
文献检索文档翻译深度研究API 文档MCP 服务
关于我们
关于 Suppr公司介绍联系我们用户协议隐私条款
关注我们

Suppr 超能文献

核心技术专利:CN118964589B侵权必究
粤ICP备2023148730 号-1Suppr @ 2026

文献检索

告别复杂PubMed语法,用中文像聊天一样搜索,搜遍4000万医学文献。AI智能推荐,让科研检索更轻松。

立即免费搜索

文件翻译

保留排版,准确专业,支持PDF/Word/PPT等文件格式,支持 12+语言互译。

免费翻译文档

深度研究

AI帮你快速写综述,25分钟生成高质量综述,智能提取关键信息,辅助科研写作。

立即免费体验

全膝关节置换术后反复关节内积血。

Recurrent hemarthrosis after total knee arthroplasty.

机构信息

Department of Orthopedic Surgery and Traumatology, Kantonsspital, St. Gallen, Switzerland.

出版信息

Knee Surg Sports Traumatol Arthrosc. 2010 Jul;18(7):898-900. doi: 10.1007/s00167-009-1031-6. Epub 2010 Jan 14.

DOI:10.1007/s00167-009-1031-6
PMID:20076944
原文链接:https://pmc.ncbi.nlm.nih.gov/articles/PMC2887507/
Abstract

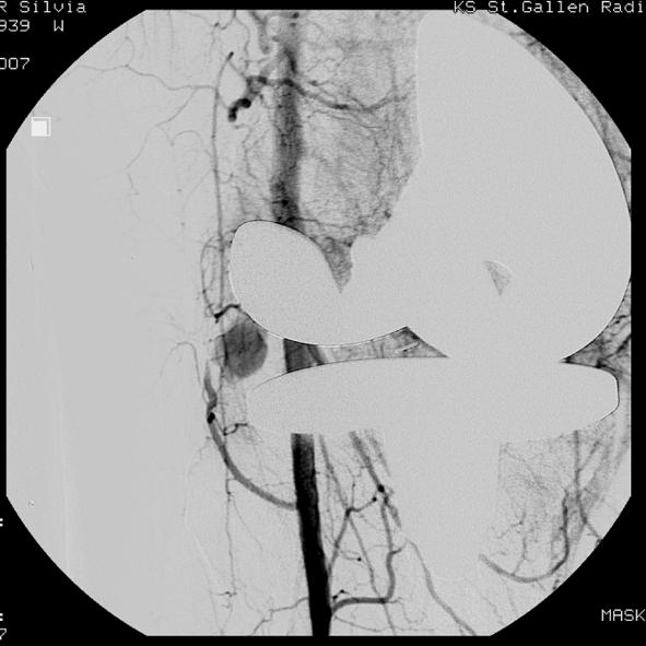
This report describes a case of spontaneous recurrent hemarthrosis of the knee that presented 4 weeks after total knee arthroplasty. Femoral arteriography showed a false aneurysm of a branch of the inferior lateral geniculate artery. Therapeutic embolization of the arterial branch was performed using three platinum coils with good clinical result and good knee joint function. Hemarthrosis has not recurred since embolization.

摘要

本报告描述了一例全膝关节置换术后 4 周出现膝关节自发性反复关节积血的病例。股动脉造影显示,膝下外侧膝状动脉分支假性动脉瘤。使用三根铂金线圈进行动脉分支的栓塞治疗,取得了良好的临床效果和膝关节功能。栓塞后关节积血未再复发。

https://cdn.ncbi.nlm.nih.gov/pmc/blobs/d0be/2887507/fee3963cc56d/167_2009_1031_Fig2_HTML.jpg
https://cdn.ncbi.nlm.nih.gov/pmc/blobs/d0be/2887507/94eeb10649bf/167_2009_1031_Fig1_HTML.jpg
https://cdn.ncbi.nlm.nih.gov/pmc/blobs/d0be/2887507/fee3963cc56d/167_2009_1031_Fig2_HTML.jpg
https://cdn.ncbi.nlm.nih.gov/pmc/blobs/d0be/2887507/94eeb10649bf/167_2009_1031_Fig1_HTML.jpg
https://cdn.ncbi.nlm.nih.gov/pmc/blobs/d0be/2887507/fee3963cc56d/167_2009_1031_Fig2_HTML.jpg

相似文献

1
Recurrent hemarthrosis after total knee arthroplasty.全膝关节置换术后反复关节内积血。
Knee Surg Sports Traumatol Arthrosc. 2010 Jul;18(7):898-900. doi: 10.1007/s00167-009-1031-6. Epub 2010 Jan 14.
2
Recurrent Hemarthrosis Following Knee Arthroplasty Treated with Arterial Embolization.膝关节置换术后复发性关节积血的动脉栓塞治疗
J Arthroplasty. 2015 Nov;30(11):2004-7. doi: 10.1016/j.arth.2015.05.028. Epub 2015 May 23.
3
Geniculate Artery Embolization in Patients With Recurrent Hemarthrosis After Knee Arthroplasty: A Retrospective Study.膝关节置换术后复发性关节积血患者的关节动脉栓塞术:一项回顾性研究。
J Arthroplasty. 2020 Feb;35(2):550-556. doi: 10.1016/j.arth.2019.09.014. Epub 2019 Sep 16.
4
Geniculate artery embolization in the management of spontaneous recurrent hemarthrosis of the knee: case series.膝自发性反复关节积血的治疗中膝内动脉栓塞:病例系列。
J Vasc Interv Radiol. 2013 Mar;24(3):439-42. doi: 10.1016/j.jvir.2012.11.011.
5
Therapeutic embolization of the genicular arteries for recurrent hemarthrosis after total knee arthroplasty.全膝关节置换术后复发性关节积血的膝动脉治疗性栓塞术
J Arthroplasty. 2001 Oct;16(7):935-7. doi: 10.1054/arth.2001.25555.
6
Embolization of spontaneous hemarthrosis post total knee replacement.全膝关节置换术后自发性关节积血的栓塞治疗
Cardiovasc Intervent Radiol. 2008 Sep-Oct;31(5):986-8. doi: 10.1007/s00270-007-9257-5. Epub 2008 Jan 10.
7
Recurrent hemarthrosis in a hemophilic patient after revision total knee arthroplasty.血友病患者全膝关节置换翻修术后复发性关节积血。
Orthopedics. 2010 Oct 11;33(10):771. doi: 10.3928/01477447-20100826-25.
8
Embolization of the Geniculate Arteries Is an Effective Treatment of Recurrent Hemarthrosis Following Total Knee Arthroplasty That Can Be Safely Repeated.吻合支动脉栓塞术是治疗全膝关节置换术后反复关节积血的有效方法,且可安全重复进行。
J Arthroplasty. 2018 Apr;33(4):1177-1180.e1. doi: 10.1016/j.arth.2017.11.002. Epub 2017 Nov 24.
9
Treatment of Recurrent Hemarthrosis Following Total Knee Arthroplasty Using Surgical Interventions.手术干预治疗全膝关节置换术后反复关节积血
Clin Orthop Surg. 2021 Jun;13(2):152-159. doi: 10.4055/cios20066. Epub 2021 Apr 1.
10
Technically Successful Geniculate Artery Embolization Does Not Equate Clinical Success for Treatment of Recurrent Knee Hemarthrosis after Knee Surgery.技术上成功的膝状动脉栓塞并不等同于膝关节手术后复发性膝关节积血治疗的临床成功。
J Vasc Interv Radiol. 2016 Mar;27(3):383-7. doi: 10.1016/j.jvir.2015.11.056. Epub 2016 Jan 21.

引用本文的文献

1
A Pseudoaneurysm of the Inferior Lateral Geniculate Artery Following Total Knee Arthroplasty.全膝关节置换术后外侧膝状动脉下支假性动脉瘤
Arthroplast Today. 2022 Apr 26;15:120-124. doi: 10.1016/j.artd.2022.03.017. eCollection 2022 Jun.
2
Predictive Variables for Interventional Angiography among Patients with Knee Hemarthrosis.膝关节积血患者介入性血管造影的预测变量
Diagnostics (Basel). 2022 Apr 13;12(4):976. doi: 10.3390/diagnostics12040976.
3
Treatment of Recurrent Hemarthrosis Following Total Knee Arthroplasty Using Surgical Interventions.

本文引用的文献

1
Late spontaneous haemarthrosis: an unusual complication following an unicompartmental knee arthroplasty.晚期自发性关节积血:单髁膝关节置换术后一种不寻常的并发症。
Knee Surg Sports Traumatol Arthrosc. 2007 Jun;15(6):763-5. doi: 10.1007/s00167-006-0251-2. Epub 2006 Dec 23.
2
Pseudoaneurysm of the inferior medial geniculate artery following primary total knee arthroplasty: delayed presentation with recurrent haemorrhagic episodes.初次全膝关节置换术后膝内侧下膝状动脉假性动脉瘤:反复出血发作的延迟表现
Knee Surg Sports Traumatol Arthrosc. 2006 Feb;14(2):153-5. doi: 10.1007/s00167-005-0639-4. Epub 2005 Jul 19.
3
手术干预治疗全膝关节置换术后反复关节积血
Clin Orthop Surg. 2021 Jun;13(2):152-159. doi: 10.4055/cios20066. Epub 2021 Apr 1.
4
Endovascular management of recurrent hemarthrosis of the knee: a case series.膝关节复发性血肿的血管内治疗:病例系列
CVIR Endovasc. 2020 Aug 30;3(1):43. doi: 10.1186/s42155-020-00135-0.
5
Traditional investigation and management for recurrent hemarthrosis after total knee arthroplasty: A case report.全膝关节置换术后复发性关节积血的传统检查与处理:一例病例报告。
World J Clin Cases. 2020 May 26;8(10):1966-1972. doi: 10.12998/wjcc.v8.i10.1966.
6
Pseudoaneurysm after total knee arthroplasty: imaging findings in 7 patients.全膝关节置换术后假性动脉瘤:7例患者的影像学表现
Skeletal Radiol. 2019 May;48(5):699-706. doi: 10.1007/s00256-018-3084-4. Epub 2018 Oct 10.
7
Treatment of Recurrent Hemarthrosis after Total Knee Arthroplasty.全膝关节置换术后复发性关节积血的治疗
Knee Surg Relat Res. 2018 Jun 1;30(2):147-152. doi: 10.5792/ksrr.17.059.
8
The all-inside meniscal repair technique has less risk of injury to the lateral geniculate artery than the inside-out repair technique when suturing the lateral meniscus.全内技术缝合外侧半月板时,损伤外侧膝状动脉的风险低于半月板内缝合技术。
Knee Surg Sports Traumatol Arthrosc. 2018 Mar;26(3):793-798. doi: 10.1007/s00167-017-4490-1. Epub 2017 Mar 13.
9
The results of Oxford unicompartmental knee arthroplasty in the United States: a mean ten-year survival analysis.美国牛津单髁膝关节置换术的结果:平均十年生存率分析。
Bone Joint J. 2016 Oct;98-B(10 Supple B):34-40. doi: 10.1302/0301-620X.98B10.BJJ-2016-0480.R1.
10
Severe vascular complications and intervention following elective total hip and knee replacement: A 16-year retrospective analysis.择期全髋关节和膝关节置换术后的严重血管并发症及干预:一项16年的回顾性分析。
J Orthop. 2015 Feb 10;12(3):151-5. doi: 10.1016/j.jor.2015.01.008. eCollection 2015 Sep.
Spontaneous recurrent haemarthrosis following unicompartmental knee arthroplasty and its successful treatment by coil embolisation.
单髁膝关节置换术后自发性复发性关节积血及其通过弹簧圈栓塞的成功治疗
Knee. 2004 Oct;11(5):413-5. doi: 10.1016/j.knee.2004.02.007.
4
Local vascular complications after knee replacement: a review with illustrative case reports.膝关节置换术后的局部血管并发症:附病例报告的综述
Knee. 2001 Dec;8(4):259-64. doi: 10.1016/s0968-0160(01)00103-x.
5
Popliteal pseudoaneurysm following total knee arthroplasty.全膝关节置换术后腘窝假性动脉瘤
J Arthroplasty. 1998 Oct;13(7):830-2. doi: 10.1016/s0883-5403(98)90039-0.
6
Recurrent hemarthrosis following a total knee arthroplasty.全膝关节置换术后复发性关节积血。
J Arthroplasty. 1995 Nov;10 Suppl:S56-8. doi: 10.1016/s0883-5403(05)80232-3.
7
Recurrent hemarthrosis after total knee arthroplasty.全膝关节置换术后复发性关节积血。
J Arthroplasty. 1995 Nov;10 Suppl:S52-5. doi: 10.1016/s0883-5403(05)80231-1.
8
Arteriovenous fistula with false aneurysm of the inferior medial geniculate artery. A complication of total knee arthroplasty.膝下内侧膝状动脉动静脉瘘合并假性动脉瘤。全膝关节置换术的一种并发症。
Clin Orthop Relat Res. 1987 Sep(222):255-60.
9
Popliteal aneurysm after total knee arthroplasty. Case reports and review of the literature.全膝关节置换术后腘动脉瘤。病例报告及文献综述。
J Arthroplasty. 1990 Dec;5(4):301-5. doi: 10.1016/s0883-5403(08)80087-3.