• 文献检索
  • 文档翻译
  • 深度研究
  • 学术资讯
  • Suppr Zotero 插件Zotero 插件
  • 邀请有礼
  • 套餐&价格
  • 历史记录
应用&插件
Suppr Zotero 插件Zotero 插件浏览器插件Mac 客户端Windows 客户端微信小程序
定价
高级版会员购买积分包购买API积分包
服务
文献检索文档翻译深度研究API 文档MCP 服务
关于我们
关于 Suppr公司介绍联系我们用户协议隐私条款
关注我们

Suppr 超能文献

核心技术专利:CN118964589B侵权必究
粤ICP备2023148730 号-1Suppr @ 2026

文献检索

告别复杂PubMed语法,用中文像聊天一样搜索,搜遍4000万医学文献。AI智能推荐,让科研检索更轻松。

立即免费搜索

文件翻译

保留排版,准确专业,支持PDF/Word/PPT等文件格式,支持 12+语言互译。

免费翻译文档

深度研究

AI帮你快速写综述,25分钟生成高质量综述,智能提取关键信息,辅助科研写作。

立即免费体验

猪繁殖与呼吸综合征病毒的 M/GP(5)糖蛋白复合物以依赖唾液酸的方式结合唾液酸黏附素受体。

The M/GP(5) glycoprotein complex of porcine reproductive and respiratory syndrome virus binds the sialoadhesin receptor in a sialic acid-dependent manner.

机构信息

Laboratory of Virology, Department of Virology, Parasitology and Immunology, Faculty of Veterinary Medicine, Ghent University, Merelbeke, Belgium.

出版信息

PLoS Pathog. 2010 Jan 15;6(1):e1000730. doi: 10.1371/journal.ppat.1000730.

DOI:10.1371/journal.ppat.1000730
PMID:20084110
原文链接:https://pmc.ncbi.nlm.nih.gov/articles/PMC2799551/
Abstract

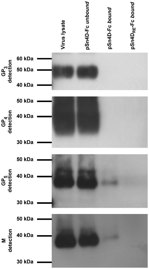
The porcine reproductive and respiratory syndrome virus (PRRSV) is a major threat to swine health worldwide and is considered the most significant viral disease in the swine industry today. In past years, studies on the entry of the virus into its host cell have led to the identification of a number of essential virus receptors and entry mediators. However, viral counterparts for these molecules have remained elusive and this has made rational development of new generation vaccines impossible. The main objective of this study was to identify the viral counterparts for sialoadhesin, a crucial PRRSV receptor on macrophages. For this purpose, a soluble form of sialoadhesin was constructed and validated. The soluble sialoadhesin could bind PRRSV in a sialic acid-dependent manner and could neutralize PRRSV infection of macrophages, thereby confirming the role of sialoadhesin as an essential PRRSV receptor on macrophages. Although sialic acids are present on the GP(3), GP(4) and GP(5) envelope glycoproteins, only the M/GP(5) glycoprotein complex of PRRSV was identified as a ligand for sialoadhesin. The interaction was found to be dependent on the sialic acid binding capacity of sialoadhesin and on the presence of sialic acids on GP(5). These findings not only contribute to a better understanding of PRRSV biology, but the knowledge and tools generated in this study also hold the key to the development of a new generation of PRRSV vaccines.

摘要

猪繁殖与呼吸综合征病毒(PRRSV)是全球范围内猪健康的主要威胁,被认为是当今养猪业最重要的病毒性疾病。在过去的几年中,对病毒进入宿主细胞的研究导致了一些重要的病毒受体和进入介质的鉴定。然而,这些分子的病毒对应物仍然难以捉摸,这使得新一代疫苗的合理开发成为不可能。本研究的主要目的是鉴定唾液酸黏附素的病毒对应物,这是巨噬细胞上重要的 PRRSV 受体。为此,构建并验证了唾液酸黏附素的可溶性形式。该可溶性唾液酸黏附素可以以唾液酸依赖的方式结合 PRRSV,并且可以中和 PRRSV 对巨噬细胞的感染,从而证实了唾液酸黏附素作为巨噬细胞上重要的 PRRSV 受体的作用。尽管唾液酸存在于 GP(3)、GP(4)和 GP(5)包膜糖蛋白上,但只有 PRRSV 的 M/GP(5)糖蛋白复合物被鉴定为唾液酸黏附素的配体。发现这种相互作用依赖于唾液酸黏附素的唾液酸结合能力以及 GP(5)上唾液酸的存在。这些发现不仅有助于更好地了解 PRRSV 生物学,而且本研究中获得的知识和工具也为新一代 PRRSV 疫苗的开发提供了关键。

https://cdn.ncbi.nlm.nih.gov/pmc/blobs/7368/2799551/4af9c73497ec/ppat.1000730.g004.jpg
https://cdn.ncbi.nlm.nih.gov/pmc/blobs/7368/2799551/7332bddce86c/ppat.1000730.g001.jpg
https://cdn.ncbi.nlm.nih.gov/pmc/blobs/7368/2799551/a96826322254/ppat.1000730.g002.jpg
https://cdn.ncbi.nlm.nih.gov/pmc/blobs/7368/2799551/4f809d3a1c3e/ppat.1000730.g003.jpg
https://cdn.ncbi.nlm.nih.gov/pmc/blobs/7368/2799551/4af9c73497ec/ppat.1000730.g004.jpg
https://cdn.ncbi.nlm.nih.gov/pmc/blobs/7368/2799551/7332bddce86c/ppat.1000730.g001.jpg
https://cdn.ncbi.nlm.nih.gov/pmc/blobs/7368/2799551/a96826322254/ppat.1000730.g002.jpg
https://cdn.ncbi.nlm.nih.gov/pmc/blobs/7368/2799551/4f809d3a1c3e/ppat.1000730.g003.jpg
https://cdn.ncbi.nlm.nih.gov/pmc/blobs/7368/2799551/4af9c73497ec/ppat.1000730.g004.jpg

相似文献

1
The M/GP(5) glycoprotein complex of porcine reproductive and respiratory syndrome virus binds the sialoadhesin receptor in a sialic acid-dependent manner.猪繁殖与呼吸综合征病毒的 M/GP(5)糖蛋白复合物以依赖唾液酸的方式结合唾液酸黏附素受体。
PLoS Pathog. 2010 Jan 15;6(1):e1000730. doi: 10.1371/journal.ppat.1000730.
2
Porcine arterivirus attachment to the macrophage-specific receptor sialoadhesin is dependent on the sialic acid-binding activity of the N-terminal immunoglobulin domain of sialoadhesin.猪动脉病毒与巨噬细胞特异性受体唾液酸粘附素的结合取决于唾液酸粘附素N端免疫球蛋白结构域的唾液酸结合活性。
J Virol. 2007 Sep;81(17):9546-50. doi: 10.1128/JVI.00569-07. Epub 2007 Jun 13.
3
Sialoadhesin and CD163 join forces during entry of the porcine reproductive and respiratory syndrome virus.在猪繁殖与呼吸综合征病毒进入过程中,唾液酸黏附素和CD163协同作用。
J Gen Virol. 2008 Dec;89(Pt 12):2943-2953. doi: 10.1099/vir.0.2008/005009-0.
4
Analysis of porcine reproductive and respiratory syndrome virus attachment and internalization: distinctive roles for heparan sulphate and sialoadhesin.猪繁殖与呼吸综合征病毒附着及内化的分析:硫酸乙酰肝素和唾液酸粘附素的独特作用
J Gen Virol. 2005 May;86(Pt 5):1441-1445. doi: 10.1099/vir.0.80675-0.
5
Involvement of sialoadhesin in entry of porcine reproductive and respiratory syndrome virus into porcine alveolar macrophages.唾液酸黏附素在猪繁殖与呼吸综合征病毒进入猪肺泡巨噬细胞过程中的作用
J Virol. 2003 Aug;77(15):8207-15. doi: 10.1128/jvi.77.15.8207-8215.2003.
6
IFN-alpha treatment enhances porcine Arterivirus infection of monocytes via upregulation of the porcine Arterivirus receptor sialoadhesin.干扰素-α治疗通过上调猪动脉炎病毒受体唾液酸粘附素增强单核细胞的猪动脉炎病毒感染。
J Interferon Cytokine Res. 2007 Sep;27(9):757-66. doi: 10.1089/jir.2007.0001.
7
Analysis of the binding sites of porcine sialoadhesin receptor with PRRSV.猪唾液酸黏附素受体与猪繁殖与呼吸综合征病毒结合位点的分析
Int J Mol Sci. 2013 Dec 9;14(12):23955-79. doi: 10.3390/ijms141223955.
8
Porcine arterivirus infection of alveolar macrophages is mediated by sialic acid on the virus.猪动脉炎病毒对肺泡巨噬细胞的感染是由病毒上的唾液酸介导的。
J Virol. 2004 Aug;78(15):8094-101. doi: 10.1128/JVI.78.15.8094-8101.2004.
9
Additive inhibition of porcine reproductive and respiratory syndrome virus infection with the soluble sialoadhesin and CD163 receptors.可溶性唾液酸黏附素和 CD163 受体对猪繁殖与呼吸综合征病毒感染的相加抑制作用。
Virus Res. 2014 Jan 22;179:85-92. doi: 10.1016/j.virusres.2013.11.008. Epub 2013 Nov 15.
10
Susceptible cell lines for the production of porcine reproductive and respiratory syndrome virus by stable transfection of sialoadhesin and CD163.稳定转染唾液酸结合性免疫球蛋白样凝集素和 CD163 生产猪繁殖与呼吸综合征病毒的易感细胞系。
BMC Biotechnol. 2010 Jun 29;10:48. doi: 10.1186/1472-6750-10-48.

引用本文的文献

1
Experimental evidence of vaccine-driven evolution of respiratory syndrome virus type 2.2型呼吸道综合征病毒疫苗驱动进化的实验证据。
Virus Evol. 2025 Jul 22;11(1):veaf056. doi: 10.1093/ve/veaf056. eCollection 2025.
2
Ten years after introduction of NADC30-like strain in China: a novel chimeric porcine reproductive and respiratory syndrome vaccine candidate.NADC30样毒株在中国引入十年后:一种新型嵌合猪繁殖与呼吸综合征候选疫苗
Front Immunol. 2025 May 8;16:1585197. doi: 10.3389/fimmu.2025.1585197. eCollection 2025.
3
Key amino acids in RNA polymerase and helicase proteins regulate RNA synthesis efficiency in porcine reproductive and respiratory syndrome virus.

本文引用的文献

1
GP3 is a structural component of the PRRSV type II (US) virion.GP3是猪繁殖与呼吸综合征病毒II型(美国毒株)病毒粒子的一种结构成分。
Virology. 2009 Jul 20;390(1):31-6. doi: 10.1016/j.virol.2009.04.017. Epub 2009 May 24.
2
One dose of a porcine circovirus 2 (PCV2) sub-unit vaccine administered to 3-week-old conventional piglets elicits cell-mediated immunity and significantly reduces PCV2 viremia in an experimental model.给3周龄的常规仔猪接种一剂猪圆环病毒2型(PCV2)亚单位疫苗,在实验模型中可引发细胞介导的免疫反应,并显著降低PCV2病毒血症。
Vaccine. 2009 Jun 19;27(30):4031-7. doi: 10.1016/j.vaccine.2009.04.028. Epub 2009 May 3.
3
RNA聚合酶和解旋酶蛋白中的关键氨基酸调节猪繁殖与呼吸综合征病毒的RNA合成效率。
J Biol Chem. 2025 May 16;301(6):110247. doi: 10.1016/j.jbc.2025.110247.
4
Scalable Production of Recombinant Adeno-Associated Virus Vectors Expressing Soluble Viral Receptors for Broad-Spectrum Inhibition of Porcine Reproductive and Respiratory Syndrome Virus Type 2.用于广谱抑制猪繁殖与呼吸综合征病毒2型的表达可溶性病毒受体的重组腺相关病毒载体的可扩展生产
Vet Sci. 2025 Apr 14;12(4):366. doi: 10.3390/vetsci12040366.
5
The GP2a 91/97/98 amino acid substitutions play critical roles in determining PRRSV tropism and infectivity but do not affect immune responses.GP2a蛋白91/97/98位氨基酸替换在决定猪繁殖与呼吸综合征病毒(PRRSV)的嗜性和感染性方面起关键作用,但不影响免疫反应。
J Virol. 2025 Apr 15;99(4):e0004825. doi: 10.1128/jvi.00048-25. Epub 2025 Mar 12.
6
Monoclonal Antibodies Targeting Porcine Macrophages Are Able to Inhibit the Cell Entry of Macrophage-Tropic Viruses (PRRSV and ASFV).靶向猪巨噬细胞的单克隆抗体能够抑制巨噬细胞嗜性病毒(猪繁殖与呼吸综合征病毒和非洲猪瘟病毒)的细胞进入。
Viruses. 2025 Jan 24;17(2):167. doi: 10.3390/v17020167.
7
Porcine reproductive and respiratory syndrome developments: An in-depth review of recent findings.猪繁殖与呼吸综合征的研究进展:对近期研究发现的深入综述。
Open Vet J. 2024 Sep;14(9):2138-2152. doi: 10.5455/OVJ.2024.v14.i9.3. Epub 2024 Sep 30.
8
Mechanism of PRRSV infection and antiviral role of polyphenols.PRRSV 感染的机制和多酚的抗病毒作用。
Virulence. 2024 Dec;15(1):2417707. doi: 10.1080/21505594.2024.2417707. Epub 2024 Oct 21.
9
Identification and biophysical characterization of epitope atlas of Porcine Reproductive and Respiratory Syndrome Virus.猪繁殖与呼吸综合征病毒表位图谱的鉴定及生物物理特性分析
Comput Struct Biotechnol J. 2024 Sep 10;23:3348-3357. doi: 10.1016/j.csbj.2024.08.029. eCollection 2024 Dec.
10
The neonatal Fc receptor (FcRn) is a pan-arterivirus receptor.新生儿 Fc 受体(FcRn)是一种泛动脉病毒受体。
Nat Commun. 2024 Aug 7;15(1):6726. doi: 10.1038/s41467-024-51142-x.
Siglecs as positive and negative regulators of the immune system.
唾液酸结合免疫球蛋白样凝集素作为免疫系统的正负调节因子。
Biochem Soc Trans. 2008 Dec;36(Pt 6):1467-71. doi: 10.1042/BST0361467.
4
Sialoadhesin and CD163 join forces during entry of the porcine reproductive and respiratory syndrome virus.在猪繁殖与呼吸综合征病毒进入过程中,唾液酸黏附素和CD163协同作用。
J Gen Virol. 2008 Dec;89(Pt 12):2943-2953. doi: 10.1099/vir.0.2008/005009-0.
5
Involvement of proteases in porcine reproductive and respiratory syndrome virus uncoating upon internalization in primary macrophages.蛋白酶在猪繁殖与呼吸综合征病毒内化进入原代巨噬细胞后脱壳过程中的作用。
Vet Res. 2008 Nov-Dec;39(6):55. doi: 10.1051/vetres:2008031. Epub 2008 Jul 25.
6
Reduction of PMWS-associated clinical signs and co-infections by vaccination against PCV2.通过接种针对猪圆环病毒2型(PCV2)的疫苗来减轻与断奶仔猪多系统衰竭综合征(PMWS)相关的临床症状和共感染。
Vaccine. 2008 Jun 25;26(27-28):3443-51. doi: 10.1016/j.vaccine.2008.04.032. Epub 2008 May 5.
7
Highly virulent porcine reproductive and respiratory syndrome virus emerged in China.高致病性猪繁殖与呼吸综合征病毒在中国出现。
Transbound Emerg Dis. 2008 May;55(3-4):152-64. doi: 10.1111/j.1865-1682.2008.01020.x.
8
Porcine circovirus type 2 (PCV2) vaccination of conventional pigs prevents viremia against PCV2 isolates of different genotypes and geographic origins.对常规猪进行2型猪圆环病毒(PCV2)疫苗接种可预防针对不同基因型和地理来源的PCV2分离株的病毒血症。
Vaccine. 2008 Feb 20;26(8):1063-71. doi: 10.1016/j.vaccine.2007.12.019. Epub 2008 Jan 7.
9
Antigenic differences among porcine circovirus type 2 strains, as demonstrated by the use of monoclonal antibodies.使用单克隆抗体所证明的2型猪圆环病毒毒株之间的抗原差异。
J Gen Virol. 2008 Jan;89(Pt 1):177-187. doi: 10.1099/vir.0.83280-0.
10
Failure of an inactivated vaccine against porcine reproductive and respiratory syndrome to protect gilts against a heterologous challenge with PRRSV.一种针对猪繁殖与呼吸综合征的灭活疫苗未能保护后备母猪抵御猪繁殖与呼吸综合征病毒的异源攻击。
Vet Rec. 2007 Dec 15;161(24):809-13.