• 文献检索
  • 文档翻译
  • 深度研究
  • 学术资讯
  • Suppr Zotero 插件Zotero 插件
  • 邀请有礼
  • 套餐&价格
  • 历史记录
应用&插件
Suppr Zotero 插件Zotero 插件浏览器插件Mac 客户端Windows 客户端微信小程序
定价
高级版会员购买积分包购买API积分包
服务
文献检索文档翻译深度研究API 文档MCP 服务
关于我们
关于 Suppr公司介绍联系我们用户协议隐私条款
关注我们

Suppr 超能文献

核心技术专利:CN118964589B侵权必究
粤ICP备2023148730 号-1Suppr @ 2026

文献检索

告别复杂PubMed语法,用中文像聊天一样搜索,搜遍4000万医学文献。AI智能推荐,让科研检索更轻松。

立即免费搜索

文件翻译

保留排版,准确专业,支持PDF/Word/PPT等文件格式,支持 12+语言互译。

免费翻译文档

深度研究

AI帮你快速写综述,25分钟生成高质量综述,智能提取关键信息,辅助科研写作。

立即免费体验

β-神经连接蛋白是金黄色葡萄球菌表面黏附素 SdrC 的配体。

beta-Neurexin is a ligand for the Staphylococcus aureus MSCRAMM SdrC.

机构信息

Center for Infectious & Inflammatory Diseases, Institute of Biosciences and Technology, Texas A&M Health Science Center, Houston, Texas, United States of America.

出版信息

PLoS Pathog. 2010 Jan 15;6(1):e1000726. doi: 10.1371/journal.ppat.1000726.

DOI:10.1371/journal.ppat.1000726
PMID:20090838
原文链接:https://pmc.ncbi.nlm.nih.gov/articles/PMC2800189/
Abstract

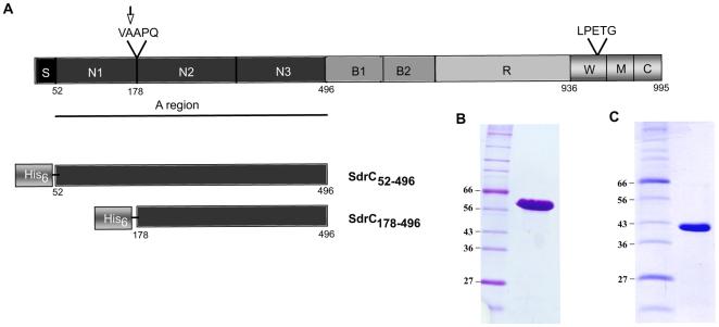
Gram-positive bacteria contain a family of surface proteins that are covalently anchored to the cell wall of the organism. These cell-wall anchored (CWA) proteins appear to play key roles in the interactions between pathogenic organisms and the host. A subfamily of the CWA has a common structural organization with multiple domains adopting characteristic IgG-like folds. The identified microbial surface components recognizing adhesive matrix molecules (MSCRAMMs) belong to this subfamily, as does SdrC from S. aureus. However, an interactive host ligand for the putative MSCRAMM SdrC was not previously identified. We have screened a phage display peptide library and identified a peptide sequence found in beta-neurexin that binds SdrC. A synthetic peptide corresponding to the identified sequence as well as a recombinant form of the beta-neurexin 1 exodomain binds SdrC with high affinity and specificity. Furthermore, expression of SdrC on bacteria greatly enhances microbial adherence to cultured mammalian cells expressing beta-neurexin on their surface. Taken together, our experimental results demonstrate that beta-neurexin is a ligand for SdrC. This interaction involves a specific sequence located in the N-terminal region of the mammalian protein and the N(2)N(3) domain of the MSCRAMM. The fact that these two proteins interact when expressed on the appropriate cells demonstrates the functionality of the interaction. Possible implications of this interaction are discussed.

摘要

革兰氏阳性菌含有一组通过共价键锚定在生物体细胞壁上的表面蛋白。这些细胞壁锚定(CWA)蛋白似乎在病原生物与宿主之间的相互作用中发挥关键作用。CWA 的一个亚家族具有共同的结构组织,多个结构域采用特征性的 IgG 样折叠。已鉴定的微生物表面识别黏附基质分子的成分(MSCRAMM)属于这个亚家族,金黄色葡萄球菌的 SdrC 也是如此。然而,以前没有确定 SdrC 的假定 MSCRAMM 的互作宿主配体。我们已经筛选了噬菌体展示肽文库,并鉴定出与 SdrC 结合的β-神经连接蛋白中的肽序列。与鉴定出的序列相对应的合成肽以及β-神经连接蛋白 1 外显子的重组形式与 SdrC 具有高亲和力和特异性结合。此外,细菌表面表达 SdrC 大大增强了微生物对表面表达β-神经连接蛋白的培养哺乳动物细胞的黏附。总之,我们的实验结果表明β-神经连接蛋白是 SdrC 的配体。这种相互作用涉及位于哺乳动物蛋白 N 端区域和 MSCRAMM 的 N(2)N(3)结构域的特定序列。当在适当的细胞上表达这两种蛋白时相互作用,证明了相互作用的功能。讨论了这种相互作用的可能意义。

https://cdn.ncbi.nlm.nih.gov/pmc/blobs/4f38/2800189/983601aded17/ppat.1000726.g005.jpg
https://cdn.ncbi.nlm.nih.gov/pmc/blobs/4f38/2800189/fb439cffe036/ppat.1000726.g001.jpg
https://cdn.ncbi.nlm.nih.gov/pmc/blobs/4f38/2800189/fe6b7ff69b26/ppat.1000726.g002.jpg
https://cdn.ncbi.nlm.nih.gov/pmc/blobs/4f38/2800189/a65af0c4aec4/ppat.1000726.g003.jpg
https://cdn.ncbi.nlm.nih.gov/pmc/blobs/4f38/2800189/4b37cc62c4eb/ppat.1000726.g004.jpg
https://cdn.ncbi.nlm.nih.gov/pmc/blobs/4f38/2800189/983601aded17/ppat.1000726.g005.jpg
https://cdn.ncbi.nlm.nih.gov/pmc/blobs/4f38/2800189/fb439cffe036/ppat.1000726.g001.jpg
https://cdn.ncbi.nlm.nih.gov/pmc/blobs/4f38/2800189/fe6b7ff69b26/ppat.1000726.g002.jpg
https://cdn.ncbi.nlm.nih.gov/pmc/blobs/4f38/2800189/a65af0c4aec4/ppat.1000726.g003.jpg
https://cdn.ncbi.nlm.nih.gov/pmc/blobs/4f38/2800189/4b37cc62c4eb/ppat.1000726.g004.jpg
https://cdn.ncbi.nlm.nih.gov/pmc/blobs/4f38/2800189/983601aded17/ppat.1000726.g005.jpg

相似文献

1
beta-Neurexin is a ligand for the Staphylococcus aureus MSCRAMM SdrC.β-神经连接蛋白是金黄色葡萄球菌表面黏附素 SdrC 的配体。
PLoS Pathog. 2010 Jan 15;6(1):e1000726. doi: 10.1371/journal.ppat.1000726.
2
Clumping factor B, a fibrinogen-binding MSCRAMM (microbial surface components recognizing adhesive matrix molecules) adhesin of Staphylococcus aureus, also binds to the tail region of type I cytokeratin 10.凝聚因子B是金黄色葡萄球菌的一种纤维蛋白原结合MSCRAMM(微生物表面成分识别黏附基质分子)黏附素,它也能与I型细胞角蛋白10的尾部区域结合。
J Biol Chem. 2004 Dec 3;279(49):50691-9. doi: 10.1074/jbc.M408713200. Epub 2004 Sep 22.
3
Multiple specificities of the staphylococcal and streptococcal fibronectin-binding microbial surface components recognizing adhesive matrix molecules.葡萄球菌和链球菌纤连蛋白结合微生物表面成分识别黏附性基质分子的多种特异性。
Eur J Biochem. 1998 Dec 1;258(2):897-905. doi: 10.1046/j.1432-1327.1998.2580897.x.
4
Fibrinogen is a ligand for the Staphylococcus aureus microbial surface components recognizing adhesive matrix molecules (MSCRAMM) bone sialoprotein-binding protein (Bbp).纤维蛋白原是金黄色葡萄球菌微生物表面成分识别黏附基质分子(MSCRAMM)骨唾液蛋白结合蛋白(Bbp)的配体。
J Biol Chem. 2011 Aug 26;286(34):29797-805. doi: 10.1074/jbc.M110.214981. Epub 2011 Jun 3.
5
Molecular interactions and inhibition of the staphylococcal biofilm-forming protein SdrC.葡萄球菌生物膜形成蛋白 SdrC 的分子相互作用和抑制。
Proc Natl Acad Sci U S A. 2017 Apr 4;114(14):3738-3743. doi: 10.1073/pnas.1616805114. Epub 2017 Mar 20.
6
Surface Proteins of .的表面蛋白
Microbiol Spectr. 2019 Jul;7(4). doi: 10.1128/microbiolspec.GPP3-0046-2018.
7
Protective activity of the CnaBE3 domain conserved among Staphylococcus aureus Sdr proteins.金黄色葡萄球菌 Sdr 蛋白保守的 CnaBE3 结构域的保护活性。
PLoS One. 2013 Sep 17;8(9):e74718. doi: 10.1371/journal.pone.0074718. eCollection 2013.
8
SdrC induces staphylococcal biofilm formation through a homophilic interaction.SdrC通过同种亲和相互作用诱导葡萄球菌生物膜形成。
Mol Microbiol. 2014 Oct;94(1):172-85. doi: 10.1111/mmi.12750. Epub 2014 Sep 3.
9
The fibronectin-binding MSCRAMM FnbpA of Staphylococcus aureus is a bifunctional protein that also binds to fibrinogen.金黄色葡萄球菌的纤连蛋白结合MSCRAMM FnbpA是一种双功能蛋白,它也能与纤维蛋白原结合。
J Biol Chem. 2000 May 5;275(18):13863-71. doi: 10.1074/jbc.275.18.13863.
10
Structures of SdrD from Staphylococcus aureus reveal the molecular mechanism of how the cell surface receptors recognize their ligands.金黄色葡萄球菌 SdrD 的结构揭示了细胞表面受体如何识别其配体的分子机制。
Protein Cell. 2013 Apr;4(4):277-85. doi: 10.1007/s13238-013-3009-x. Epub 2013 Apr 3.

引用本文的文献

1
Mechanism of antibacterial and antibiofilm of thiazolidinone derivative TD-H2-A against Staphylococcus aureus.噻唑烷酮衍生物TD-H2-A对金黄色葡萄球菌的抗菌及抗生物膜机制
Sci Rep. 2025 Mar 26;15(1):10380. doi: 10.1038/s41598-025-94571-4.
2
Adhesive Virulence Factors of Resist Digestion by Coagulation Proteases Thrombin and Plasmin.抗凝血蛋白酶凝血酶和纤溶酶消化的黏附毒力因子。
ACS Bio Med Chem Au. 2022 Dec 21;2(6):586-599. doi: 10.1021/acsbiomedchemau.2c00042. Epub 2022 Sep 2.
3
Identification of Three Clf-Sdr Subfamily Proteins in , and Comparative Genomics Analysis of a Locus Encoding CWA Proteins in Species.

本文引用的文献

1
A structural model of the Staphylococcus aureus ClfA-fibrinogen interaction opens new avenues for the design of anti-staphylococcal therapeutics.金黄色葡萄球菌ClfA与纤维蛋白原相互作用的结构模型为抗葡萄球菌治疗药物的设计开辟了新途径。
PLoS Pathog. 2008 Nov;4(11):e1000226. doi: 10.1371/journal.ppat.1000226. Epub 2008 Nov 28.
2
Neuroligins and neurexins link synaptic function to cognitive disease.神经连接蛋白和神经突触素将突触功能与认知疾病联系起来。
Nature. 2008 Oct 16;455(7215):903-11. doi: 10.1038/nature07456.
3
Evidence for the "dock, lock, and latch" ligand binding mechanism of the staphylococcal microbial surface component recognizing adhesive matrix molecules (MSCRAMM) SdrG.
[物种名称]中三种Clf-Sdr亚家族蛋白的鉴定以及[物种名称]中编码CWA蛋白的一个基因座的比较基因组学分析。
Front Microbiol. 2021 Jul 29;12:691087. doi: 10.3389/fmicb.2021.691087. eCollection 2021.
4
Effect of genetic background on the evolution of Vancomycin-Intermediate (VISA).遗传背景对万古霉素中介金黄色葡萄球菌(VISA)进化的影响。
PeerJ. 2021 Jul 13;9:e11764. doi: 10.7717/peerj.11764. eCollection 2021.
5
Structural insights into the intermolecular interaction of the adhesin SdrC in the pathogenicity of Staphylococcus aureus.金黄色葡萄球菌黏附素 SdrC 分子间相互作用的结构研究及其在致病机制中的作用。
Acta Crystallogr F Struct Biol Commun. 2021 Feb 1;77(Pt 2):47-53. doi: 10.1107/S2053230X21000741. Epub 2021 Feb 2.
6
Staphylococcal Biofilm Development: Structure, Regulation, and Treatment Strategies.葡萄球菌生物膜的形成:结构、调控及治疗策略。
Microbiol Mol Biol Rev. 2020 Aug 12;84(3). doi: 10.1128/MMBR.00026-19. Print 2020 Aug 19.
7
"Gene accordions" cause genotypic and phenotypic heterogeneity in clonal populations of Staphylococcus aureus.“基因手风琴”导致金黄色葡萄球菌克隆群体的基因型和表型异质性。
Nat Commun. 2020 Jul 14;11(1):3526. doi: 10.1038/s41467-020-17277-3.
8
The Streptococcal Protease SpeB Antagonizes the Biofilms of the Human Pathogen Staphylococcus aureus USA300 through Cleavage of the Staphylococcal SdrC Protein.链球菌蛋白酶 SpeB 通过切割金黄色葡萄球菌 USA300 的 SdrC 蛋白拮抗该人类病原体的生物膜。
J Bacteriol. 2020 May 11;202(11). doi: 10.1128/JB.00008-20.
9
Surface Proteins of .的表面蛋白
Microbiol Spectr. 2019 Jul;7(4). doi: 10.1128/microbiolspec.GPP3-0046-2018.
10
Sortases, Surface Proteins, and Their Roles in Disease and Vaccine Development.Sortases、表面蛋白及其在疾病和疫苗开发中的作用。
Microbiol Spectr. 2019 Jan;7(1). doi: 10.1128/microbiolspec.PSIB-0004-2018.
金黄色葡萄球菌微生物表面成分识别黏附基质分子(MSCRAMM)SdrG的“停靠、锁定和栓系”配体结合机制的证据。
J Biol Chem. 2008 Jan 4;283(1):638-647. doi: 10.1074/jbc.M706252200. Epub 2007 Nov 8.
4
Display technologies: application for the discovery of drug and gene delivery agents.显示技术:在药物和基因递送剂发现中的应用
Adv Drug Deliv Rev. 2006 Dec 30;58(15):1622-54. doi: 10.1016/j.addr.2006.09.018. Epub 2006 Oct 6.
5
Is Panton-Valentine leukocidin the major virulence determinant in community-associated methicillin-resistant Staphylococcus aureus disease?泛发性杀白细胞素是社区获得性耐甲氧西林金黄色葡萄球菌疾病的主要毒力决定因素吗?
J Infect Dis. 2006 Dec 15;194(12):1761-70. doi: 10.1086/509506. Epub 2006 Nov 2.
6
Surface proteins and exotoxins are required for the pathogenesis of Staphylococcus aureus pneumonia.表面蛋白和外毒素是金黄色葡萄球菌肺炎发病机制所必需的。
Infect Immun. 2007 Feb;75(2):1040-4. doi: 10.1128/IAI.01313-06. Epub 2006 Nov 13.
7
Surface adhesins of Staphylococcus aureus.金黄色葡萄球菌的表面黏附素
Adv Microb Physiol. 2006;51:187-224. doi: 10.1016/S0065-2911(06)51004-5.
8
Sortases and the art of anchoring proteins to the envelopes of gram-positive bacteria.分选酶与将蛋白质锚定到革兰氏阳性菌包膜上的技术。
Microbiol Mol Biol Rev. 2006 Mar;70(1):192-221. doi: 10.1128/MMBR.70.1.192-221.2006.
9
Phage display in the study of infectious diseases.噬菌体展示技术在传染病研究中的应用
Trends Microbiol. 2006 Mar;14(3):141-7. doi: 10.1016/j.tim.2006.01.006. Epub 2006 Feb 7.
10
Ligand-directed surface profiling of human cancer cells with combinatorial peptide libraries.利用组合肽库对人类癌细胞进行配体导向的表面分析。
Cancer Res. 2006 Jan 1;66(1):34-40. doi: 10.1158/0008-5472.CAN-05-2748.