Suppr超能文献

评价慢性给予胸苷素β-4后,在营养不良肌萎缩症缺陷小鼠中的骨骼肌和心肌功能。

Evaluation of skeletal and cardiac muscle function after chronic administration of thymosin beta-4 in the dystrophin deficient mouse.

机构信息

Division of Cardiology, Children's National Medical Center, Washington, District of Columbia, United States of America.

出版信息

PLoS One. 2010 Jan 29;5(1):e8976. doi: 10.1371/journal.pone.0008976.

Abstract

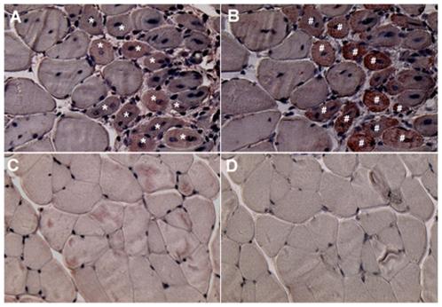
Thymosin beta-4 (Tbeta4) is a ubiquitous protein with many properties relating to cell proliferation and differentiation that promotes wound healing and modulates inflammatory mediators. We studied the effects of chronic administration of Tbeta4 on the skeletal and cardiac muscle of dystrophin deficient mdx mice, the mouse model of Duchenne muscular dystrophy. Female wild type (C57BL10/ScSnJ) and mdx mice, 8-10 weeks old, were treated with 150 microg of Tbeta4 twice a week for 6 months. To promote muscle pathology, mice were exercised for 30 minutes twice a week. Skeletal and cardiac muscle function were assessed via grip strength and high frequency echocardiography. Localization of Tbeta4 and amount of fibrosis were quantified using immunohistochemistry and Gomori's tri-chrome staining, respectively. Mdx mice treated with Tbeta4 showed a significant increase in skeletal muscle regenerating fibers compared to untreated mdx mice. Tbeta4 stained exclusively in the regenerating fibers of mdx mice. Although untreated mdx mice had significantly decreased skeletal muscle strength compared to untreated wild type, there were no significant improvements in mdx mice after treatment. Systolic cardiac function, measured as percent shortening fraction, was decreased in untreated mdx mice compared to untreated wild type and there was no significant difference after treatment in mdx mice. Skeletal and cardiac muscle fibrosis were also significantly increased in untreated mdx mice compared to wild type, but there was no significant improvement in treated mdx mice. In exercised dystrophin deficient mice, chronic administration of Tbeta4 increased the number of regenerating fibers in skeletal muscle and could have a potential role in treatment of skeletal muscle disease in Duchenne muscular dystrophy.

摘要

胸腺素β-4(Tβ4)是一种普遍存在的蛋白质,具有许多与细胞增殖和分化相关的特性,可促进伤口愈合并调节炎症介质。我们研究了慢性给予 Tβ4 对肌营养不良症缺失型 mdx 小鼠(杜氏肌营养不良症的小鼠模型)骨骼肌和心肌的影响。8-10 周龄的雌性野生型(C57BL10/ScSnJ)和 mdx 小鼠每周接受两次 150μg Tβ4 治疗,持续 6 个月。为了促进肌肉病理学,每周对小鼠进行两次 30 分钟的运动。通过握力和高频超声心动图评估骨骼肌和心肌功能。使用免疫组织化学和 Gomori 三色染色分别定量 Tβ4 的定位和纤维化程度。与未治疗的 mdx 小鼠相比,接受 Tβ4 治疗的 mdx 小鼠的骨骼肌再生纤维明显增加。Tβ4 仅在 mdx 小鼠的再生纤维中染色。尽管未经治疗的 mdx 小鼠的骨骼肌力量明显低于未经治疗的野生型,但治疗后 mdx 小鼠的骨骼肌力量没有显著改善。未治疗的 mdx 小鼠的收缩分数(作为收缩分数的百分比测量)的心脏收缩功能降低,与未经治疗的野生型相比,治疗后 mdx 小鼠的心脏收缩功能没有显著差异。与野生型相比,未经治疗的 mdx 小鼠的骨骼肌和心肌纤维化也明显增加,但治疗后的 mdx 小鼠没有显著改善。在运动性肌营养不良症小鼠中,慢性给予 Tβ4 增加了骨骼肌中再生纤维的数量,并且可能在杜氏肌营养不良症的骨骼肌疾病治疗中具有潜在作用。

https://cdn.ncbi.nlm.nih.gov/pmc/blobs/c5fe/2813286/a51732fb1a85/pone.0008976.g001.jpg

相似文献

2
Losartan decreases cardiac muscle fibrosis and improves cardiac function in dystrophin-deficient mdx mice.
J Cardiovasc Pharmacol Ther. 2011 Mar;16(1):87-95. doi: 10.1177/1074248410381757.
4
Tetrahydrobiopterin synthesis and metabolism is impaired in dystrophin-deficient mdx mice and humans.
Acta Physiol (Oxf). 2021 Apr;231(4):e13627. doi: 10.1111/apha.13627. Epub 2021 Mar 8.
7
Muscle-bone interactions in dystrophin-deficient and myostatin-deficient mice.
Anat Rec A Discov Mol Cell Evol Biol. 2005 Sep;286(1):814-22. doi: 10.1002/ar.a.20224.
9
Weekly oral prednisolone improves survival and strength in male mdx mice.
Muscle Nerve. 2007 Jan;35(1):43-8. doi: 10.1002/mus.20646.

引用本文的文献

1
Exercise, healthy ageing, and the potential role of small extracellular vesicles.
J Physiol. 2023 Nov;601(22):4937-4951. doi: 10.1113/JP282468. Epub 2022 Apr 29.
3
Long-term human IgG treatment improves heart and muscle function in a mouse model of Duchenne muscular dystrophy.
J Cachexia Sarcopenia Muscle. 2020 Aug;11(4):1018-1031. doi: 10.1002/jcsm.12569. Epub 2020 May 20.
4
5
Effects of Dantrolene Therapy on Disease Phenotype in Dystrophin Deficient mdx Mice.
PLoS Curr. 2013 Nov 8;5:ecurrents.md.e246cf493a7edb1669f42fb735936b46. doi: 10.1371/currents.md.e246cf493a7edb1669f42fb735936b46.
6
MALDI imaging mass spectrometry for in situ proteomic analysis of preneoplastic lesions in pancreatic cancer.
PLoS One. 2012;7(6):e39424. doi: 10.1371/journal.pone.0039424. Epub 2012 Jun 26.
7
Losartan decreases cardiac muscle fibrosis and improves cardiac function in dystrophin-deficient mdx mice.
J Cardiovasc Pharmacol Ther. 2011 Mar;16(1):87-95. doi: 10.1177/1074248410381757.

本文引用的文献

1
A robust in vitro screening assay to identify NF-kappaB inhibitors for inflammatory muscle diseases.
Int Immunopharmacol. 2009 Sep;9(10):1209-14. doi: 10.1016/j.intimp.2009.07.001. Epub 2009 Jul 21.
3
Muscle genome-wide expression profiling during disease evolution in mdx mice.
Physiol Genomics. 2009 Apr 10;37(2):119-32. doi: 10.1152/physiolgenomics.90370.2008. Epub 2009 Feb 17.
4
Thymosin beta4 is cytoprotective in human gingival fibroblasts.
Eur J Oral Sci. 2008 Oct;116(5):424-30. doi: 10.1111/j.1600-0722.2008.00569.x.
7
Decreased endogenous levels of Ac-SDKP promote organ fibrosis.
Hypertension. 2007 Jul;50(1):130-6. doi: 10.1161/HYPERTENSIONAHA.106.084103. Epub 2007 Apr 30.
8
Thymosin beta 4 suppression of corneal NFkappaB: a potential anti-inflammatory pathway.
Exp Eye Res. 2007 Apr;84(4):663-9. doi: 10.1016/j.exer.2006.12.004. Epub 2007 Jan 23.
9
[Regenerative medicine of skeletal muscle].
Rinsho Shinkeigaku. 2005 Nov;45(11):880-2.
10
Muscle regeneration in dystrophin-deficient mdx mice studied by gene expression profiling.
BMC Genomics. 2005 Jul 13;6:98. doi: 10.1186/1471-2164-6-98.

文献AI研究员

20分钟写一篇综述,助力文献阅读效率提升50倍。

立即体验

用中文搜PubMed

大模型驱动的PubMed中文搜索引擎

马上搜索

文档翻译

学术文献翻译模型,支持多种主流文档格式。

立即体验