John Curtin School of Medical Research, Australian National University, Canberra, ACT 2601, Australia.
J Exp Med. 2010 Feb 15;207(2):353-63. doi: 10.1084/jem.20091738. Epub 2010 Feb 8.
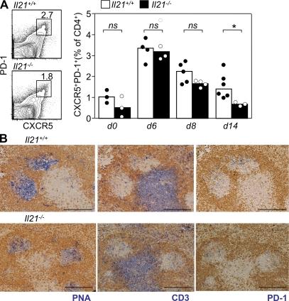
During T cell-dependent responses, B cells can either differentiate extrafollicularly into short-lived plasma cells or enter follicles to form germinal centers (GCs). Interactions with T follicular helper (Tfh) cells are required for GC formation and for selection of somatically mutated GC B cells. Interleukin (IL)-21 has been reported to play a role in Tfh cell formation and in B cell growth, survival, and isotype switching. To date, it is unclear whether the effect of IL-21 on GC formation is predominantly a consequence of this cytokine acting directly on the Tfh cells or if IL-21 directly influences GC B cells. We show that IL-21 acts in a B cell-intrinsic fashion to control GC B cell formation. Mixed bone marrow chimeras identified a significant B cell-autonomous effect of IL-21 receptor (R) signaling throughout all stages of the GC response. IL-21 deficiency profoundly impaired affinity maturation and reduced the proportion of IgG1(+) GC B cells but did not affect formation of early memory B cells. IL-21R was required on GC B cells for maximal expression of Bcl-6. In contrast to the requirement for IL-21 in the follicular response to sheep red blood cells, a purely extrafollicular antibody response to Salmonella dominated by IgG2a was intact in the absence of IL-21.
在 T 细胞依赖性反应中,B 细胞可以在外周分化为短暂存活的浆细胞,也可以进入滤泡形成生发中心(GC)。与滤泡辅助性 T 细胞(Tfh)细胞的相互作用对于 GC 的形成和体细胞突变的 GC B 细胞的选择是必需的。已经报道白细胞介素(IL)-21 在 Tfh 细胞的形成以及 B 细胞的生长、存活和同种型转换中发挥作用。迄今为止,尚不清楚 IL-21 对 GC 形成的影响主要是由于该细胞因子直接作用于 Tfh 细胞,还是 IL-21 直接影响 GC B 细胞。我们表明,IL-21 以 B 细胞内在的方式作用以控制 GC B 细胞的形成。混合骨髓嵌合体鉴定出 IL-21 受体(R)信号在 GC 反应的所有阶段均具有显著的 B 细胞自主作用。IL-21 缺乏严重损害了亲和力成熟,并降低了 IgG1(+)GC B 细胞的比例,但不影响早期记忆 B 细胞的形成。IL-21R 在 GC B 细胞上对于 Bcl-6 的最大表达是必需的。与 IL-21 在对绵羊红细胞的滤泡反应中的作用不同,缺乏 IL-21 时,主要由 IgG2a 组成的对沙门氏菌的纯外周抗体反应是完整的。