Suppr超能文献

一种与紧密连接蛋白ZO-1结合的160 kDa多肽的鉴定。

Identification of a 160-kDa polypeptide that binds to the tight junction protein ZO-1.

作者信息

Gumbiner B, Lowenkopf T, Apatira D

机构信息

Department of Pharmacology, University of California School of Medicine, San Francisco 94143.

出版信息

Proc Natl Acad Sci U S A. 1991 Apr 15;88(8):3460-4. doi: 10.1073/pnas.88.8.3460.

Abstract

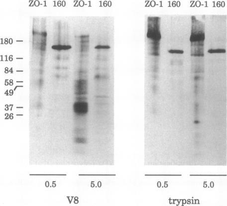
ZO-1 is a 210- to 220-kDa peripheral membrane protein associated with the cytoplasmic surface of the epithelial tight junction. Because ZO-1 may interact with other unidentified tight junction proteins, we have looked for other polypeptides that bind to ZO-1. A 160-kDa polypeptide was identified that coimmunoprecipitates with ZO-1 from detergent extracts of metabolically labeled Madin-Darby canine kidney (MDCK) cells. This polypeptide appears to be distinct from ZO-1, rather than a degradation product, by several criteria. It lacks ZO-1 epitopes recognized by both monoclonal antibodies and a polyclonal serum to ZO-1, since it is not detectable in immunoblots of either whole cell extracts or ZO-1 immunoprecipitates. Also, it exhibits a peptide map different from that of ZO-1 on one-dimensional "Cleveland gels." Moreover, because the kinetics of appearance of newly synthesized 160-kDa polypeptide in anti-ZO-1 immunoprecipitates is much slower than that of ZO-1, its presence in immunoprecipitates cannot be simply explained by degradation of ZO-1 during cell lysis. Like ZO-1, the 160-kDa polypeptide seems to be a cytoplasmic peripheral membrane protein. It cannot be labeled by two different cell surface labeling reagents. It can be extracted from the membrane by high salt concentration in the absence of detergents. As expected for a protein complex, the 160-kDa polypeptide and ZO-1 turn over with similar kinetics. We propose that the 160-kDa polypeptide is a component of the tight junction.

摘要

ZO-1是一种210至220千道尔顿的外周膜蛋白,与上皮紧密连接的细胞质表面相关。由于ZO-1可能与其他未鉴定的紧密连接蛋白相互作用,我们一直在寻找与ZO-1结合的其他多肽。我们鉴定出一种160千道尔顿的多肽,它能与代谢标记的Madin-Darby犬肾(MDCK)细胞的去污剂提取物中的ZO-1共同免疫沉淀。从几个标准来看,这种多肽似乎与ZO-1不同,而不是一种降解产物。它缺乏单克隆抗体和针对ZO-1的多克隆血清所识别的ZO-1表位,因为在全细胞提取物或ZO-1免疫沉淀物的免疫印迹中都检测不到它。此外,在一维“克利夫兰凝胶”上,它呈现出与ZO-1不同的肽图。而且,由于抗ZO-1免疫沉淀物中新合成的160千道尔顿多肽的出现动力学比ZO-1慢得多,其在免疫沉淀物中的存在不能简单地用细胞裂解过程中ZO-1的降解来解释。与ZO-1一样,160千道尔顿的多肽似乎也是一种细胞质外周膜蛋白。它不能被两种不同的细胞表面标记试剂标记。在没有去污剂的情况下,它可以通过高盐浓度从膜中提取出来。正如蛋白质复合物所预期的那样,160千道尔顿的多肽和ZO-1以相似的动力学周转。我们提出160千道尔顿的多肽是紧密连接的一个组成部分。

https://cdn.ncbi.nlm.nih.gov/pmc/blobs/41b1/51467/34a855c53ac4/pnas01058-0503-a.jpg

文献检索

告别复杂PubMed语法,用中文像聊天一样搜索,搜遍4000万医学文献。AI智能推荐,让科研检索更轻松。

立即免费搜索

文件翻译

保留排版,准确专业,支持PDF/Word/PPT等文件格式,支持 12+语言互译。

免费翻译文档

深度研究

AI帮你快速写综述,25分钟生成高质量综述,智能提取关键信息,辅助科研写作。

立即免费体验