Suppr超能文献

磁共振胆胰管造影诊断成人胆囊缺如和胆囊管缺如1例报告并文献复习

Gallbladder agenesis and cystic duct absence in an adult patient diagnosed by magnetic resonance cholangiography: report of a case and review of the literature.

作者信息

Fiaschetti Valeria, Calabrese Giovanna, Viarani Silvia, Bazzocchi Gabriele, Simonetti Giovanni

机构信息

Department of Diagnostic and Molecular Imaging, Interventional Radiology, Nuclear Medicine and Radiation Therapy, University of Rome "Tor Vergata", 81 Oxford street, 00133 Rome, Italy.

出版信息

Case Rep Med. 2009;2009:674768. doi: 10.1155/2009/674768. Epub 2010 Feb 1.

Abstract

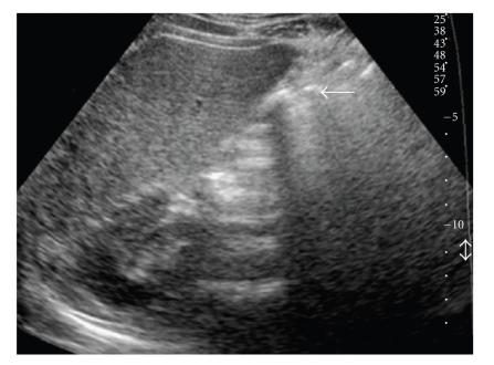
Gallbladder agenesis (GA) is a rare congenital anomaly of the biliary system often associated with other congenital abnormalities. Patients become symptomatic in 23% of cases. GA is often misinterpreted as other diseases, therefore, leading to unnecessary surgery. We report a case of congenital GA associated to cystic duct absence and a biliary tract abnormality diagnosed by Magnetic Resonance with Cholangiopancreatography.

摘要

胆囊缺如(GA)是一种罕见的胆道系统先天性异常,常与其他先天性畸形相关。23%的病例会出现症状。GA常被误诊为其他疾病,因此导致不必要的手术。我们报告一例先天性GA合并胆囊管缺如及胆道异常的病例,该病例通过磁共振胰胆管造影诊断。

https://cdn.ncbi.nlm.nih.gov/pmc/blobs/ecb9/2817546/16774abb1e13/CRM2009-674768.001.jpg

文献检索

告别复杂PubMed语法,用中文像聊天一样搜索,搜遍4000万医学文献。AI智能推荐,让科研检索更轻松。

立即免费搜索

文件翻译

保留排版,准确专业,支持PDF/Word/PPT等文件格式,支持 12+语言互译。

免费翻译文档

深度研究

AI帮你快速写综述,25分钟生成高质量综述,智能提取关键信息,辅助科研写作。

立即免费体验