• 文献检索
  • 文档翻译
  • 深度研究
  • 学术资讯
  • Suppr Zotero 插件Zotero 插件
  • 邀请有礼
  • 套餐&价格
  • 历史记录
应用&插件
Suppr Zotero 插件Zotero 插件浏览器插件Mac 客户端Windows 客户端微信小程序
定价
高级版会员购买积分包购买API积分包
服务
文献检索文档翻译深度研究API 文档MCP 服务
关于我们
关于 Suppr公司介绍联系我们用户协议隐私条款
关注我们

Suppr 超能文献

核心技术专利:CN118964589B侵权必究
粤ICP备2023148730 号-1Suppr @ 2026

文献检索

告别复杂PubMed语法,用中文像聊天一样搜索,搜遍4000万医学文献。AI智能推荐,让科研检索更轻松。

立即免费搜索

文件翻译

保留排版,准确专业,支持PDF/Word/PPT等文件格式,支持 12+语言互译。

免费翻译文档

深度研究

AI帮你快速写综述,25分钟生成高质量综述,智能提取关键信息,辅助科研写作。

立即免费体验

老年人胆囊缺如:诊断难题。

Gallbladder agenesis in the elderly: a diagnostic challenge.

机构信息

Department of General Surgery, University of Tunis El Manar, Traumatology and Severe Burns Centre, Ben Arous, Tunisia.

出版信息

Pan Afr Med J. 2020 Nov 23;37:259. doi: 10.11604/pamj.2020.37.259.23268. eCollection 2020.

DOI:10.11604/pamj.2020.37.259.23268
PMID:33598074
原文链接:https://pmc.ncbi.nlm.nih.gov/articles/PMC7864277/
Abstract

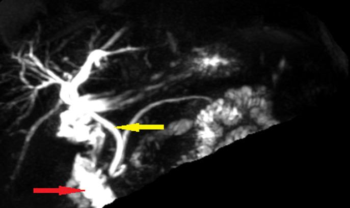
Gallbladder agenesis (GA) is a rare congenital malformation characterized by the absence of the gallbladder and cystic duct due to an anomaly in the embryonic development. It is commonly associated with other congenital abnormalities, and the isolated form is extremely rare. Its clinical presentation is variable. Actually, GA is more often incidentally diagnosed. Magnetic resonance cholangiopancreatography (MRCP) is considered to be the diagnosis method of choice since it avoids unnecessary and risky surgery in symptomatic patients. Here we report the case of a radiologically incidentally discovered gallbladder agenesis in a 68-year-old patient.

摘要

胆囊发育不全(GA)是一种罕见的先天性畸形,其特征为胆囊和胆囊管缺失,这是由于胚胎发育异常所致。它通常与其他先天性异常有关,而孤立型极为罕见。其临床表现多种多样。实际上,GA 更多是偶然诊断出来的。磁共振胆胰管成像(MRCP)被认为是首选的诊断方法,因为它避免了有症状的患者进行不必要且有风险的手术。在此,我们报告了 1 例 68 岁患者经影像学偶然发现的胆囊发育不全。

https://cdn.ncbi.nlm.nih.gov/pmc/blobs/f481/7864277/a9282badd29d/PAMJ-37-259-g003.jpg
https://cdn.ncbi.nlm.nih.gov/pmc/blobs/f481/7864277/b111caec233e/PAMJ-37-259-g001.jpg
https://cdn.ncbi.nlm.nih.gov/pmc/blobs/f481/7864277/0b90d3a304bb/PAMJ-37-259-g002.jpg
https://cdn.ncbi.nlm.nih.gov/pmc/blobs/f481/7864277/a9282badd29d/PAMJ-37-259-g003.jpg
https://cdn.ncbi.nlm.nih.gov/pmc/blobs/f481/7864277/b111caec233e/PAMJ-37-259-g001.jpg
https://cdn.ncbi.nlm.nih.gov/pmc/blobs/f481/7864277/0b90d3a304bb/PAMJ-37-259-g002.jpg
https://cdn.ncbi.nlm.nih.gov/pmc/blobs/f481/7864277/a9282badd29d/PAMJ-37-259-g003.jpg

相似文献

1
Gallbladder agenesis in the elderly: a diagnostic challenge.老年人胆囊缺如:诊断难题。
Pan Afr Med J. 2020 Nov 23;37:259. doi: 10.11604/pamj.2020.37.259.23268. eCollection 2020.
2
Isolated congenital agenesis of the gallbladder and cystic duct: report of a case.孤立性先天性胆囊和胆囊管发育不全 1 例报告。
J Surg Educ. 2013 Jan-Feb;70(1):117-20. doi: 10.1016/j.jsurg.2012.07.001. Epub 2012 Aug 14.
3
Prenatal and accurate perinatal diagnosis of type 2 H or ductular duplicate gallbladder.2型H型或小胆管重复胆囊的产前及准确围产期诊断。
BMC Pediatr. 2018 Feb 7;18(1):38. doi: 10.1186/s12887-018-1043-9.
4
Gallbladder Agenesis: A Case Report.胆囊缺如:一例报告
Yale J Biol Med. 2018 Sep 21;91(3):237-241. eCollection 2018 Sep.
5
[Gallbladder agenesis, a rare congenital disorder].
Dtsch Med Wochenschr. 2012 May;137(18):937-9. doi: 10.1055/s-0032-1304924. Epub 2012 Apr 24.
6
Agenesis of the gallbladder diagnosed by magnetic resonance cholangiography: report of a case and review of the literature.磁共振胆胰管造影诊断胆囊缺如:一例报告并文献复习
Prague Med Rep. 2015;116(1):52-6. doi: 10.14712/23362936.2015.46.
7
Gallbladder agenesis with hepatic impairment: a case report.胆囊缺如伴肝功能损害:1 例报告。
BMC Pediatr. 2018 Nov 19;18(1):360. doi: 10.1186/s12887-018-1343-0.
8
[Gallbladder agenesis. A case report].
Tunis Med. 2006 Nov;84(11):758-9.
9
[Isolated gallbladder agenesis without biliary atresia in a 16-year-old boy].
Ugeskr Laeger. 2017 Feb 6;179(6).
10
[Gallbladder agenesis. Case report].[胆囊缺如。病例报告]
Cir Cir. 2015 Sep-Oct;83(5):424-8. doi: 10.1016/j.circir.2015.05.043. Epub 2015 Jul 7.

引用本文的文献

1
Common bile duct perforation due to choledocholithiasis in a cat with gallbladder agenesis.一只胆囊缺如的猫因胆总管结石导致胆总管穿孔。
JFMS Open Rep. 2023 Feb 1;9(1):20551169221146513. doi: 10.1177/20551169221146513. eCollection 2023 Jan-Jun.
2
Gallbladder agenesis a rare and underdiagnosed congenital anomaly: a case report and literature review.胆囊缺如:一种罕见且诊断不足的先天性异常——病例报告及文献综述
J Surg Case Rep. 2022 Nov 10;2022(11):rjac505. doi: 10.1093/jscr/rjac505. eCollection 2022 Nov.
3
Beware of the shrunken gallbladder - Case report of intraoperatively diagnosed gallbladder agenesis.

本文引用的文献

1
Gallbladder agenesis.胆囊缺如
Case Rep Gastroenterol. 2011 Sep;5(3):654-62. doi: 10.1159/000334988. Epub 2011 Dec 2.
2
Gallbladder agenesis diagnosed intra-operatively: a case report.术中诊断胆囊缺如:一例报告
J Med Case Rep. 2010 Aug 23;4:285. doi: 10.1186/1752-1947-4-285.
3
Gallbladder agenesis and cystic duct absence in an adult patient diagnosed by magnetic resonance cholangiography: report of a case and review of the literature.磁共振胆胰管造影诊断成人胆囊缺如和胆囊管缺如1例报告并文献复习
警惕萎缩性胆囊——术中诊断胆囊缺如的病例报告
Int J Surg Case Rep. 2022 Sep;98:107588. doi: 10.1016/j.ijscr.2022.107588. Epub 2022 Aug 31.
4
Gallbladder Agenesis without Additional Biliary Tracts Abnormality.胆囊缺如且无其他胆道异常
Case Rep Gastrointest Med. 2022 Jun 23;2022:3209658. doi: 10.1155/2022/3209658. eCollection 2022.
5
A Case Report on Gallbladder Agenesis: Not a Novelty but Still a Laparoscopic Surprise.胆囊缺如病例报告:并非罕见但仍是腹腔镜手术中的意外发现
Cureus. 2021 Dec 14;13(12):e20401. doi: 10.7759/cureus.20401. eCollection 2021 Dec.
Case Rep Med. 2009;2009:674768. doi: 10.1155/2009/674768. Epub 2010 Feb 1.
4
Agenesis of the gallbladder: lessons to learn.胆囊缺如:可吸取的经验教训。
JSLS. 2006 Oct-Dec;10(4):517-9.
5
Agenesis of the gallbladder: a dangerously misdiagnosed malformation.胆囊缺如:一种极易误诊的危险畸形。
World J Gastroenterol. 2005 Oct 21;11(39):6228-31. doi: 10.3748/wjg.v11.i39.6228.
6
Agenesis of the gallbladder: difficulties in management.胆囊缺如:管理上的困难。
J Gastroenterol Hepatol. 2005 May;20(5):671-5. doi: 10.1111/j.1440-1746.2005.03740.x.
7
CONGENITAL ABSENCE OF THE GALLBLADDER.先天性胆囊缺失
Can Med Assoc J. 1965 Jul 17;93(3):123-5.
8
Congenital absence of the gallbladder.先天性胆囊缺如。
Calif Med. 1956 Dec;85(6):422-3.
9
Agenesis of the gallbladder and cystic duct.胆囊和胆囊管缺如。
Sao Paulo Med J. 2002 Nov 1;120(6):192-4. doi: 10.1590/s1516-31802002000600008. Epub 2003 Jan 22.
10
Agenesis of the gallbladder.胆囊缺如
South Med J. 2000 Sep;93(9):914-5.