Suppr超能文献

意想不到的朊病毒蛋白α-切割对序列变异的容忍度。

Unexpected tolerance of alpha-cleavage of the prion protein to sequence variations.

机构信息

Institute of Neuropathology, University Hospital of Zürich, Zurich, Switzerland.

出版信息

PLoS One. 2010 Feb 8;5(2):e9107. doi: 10.1371/journal.pone.0009107.

Abstract

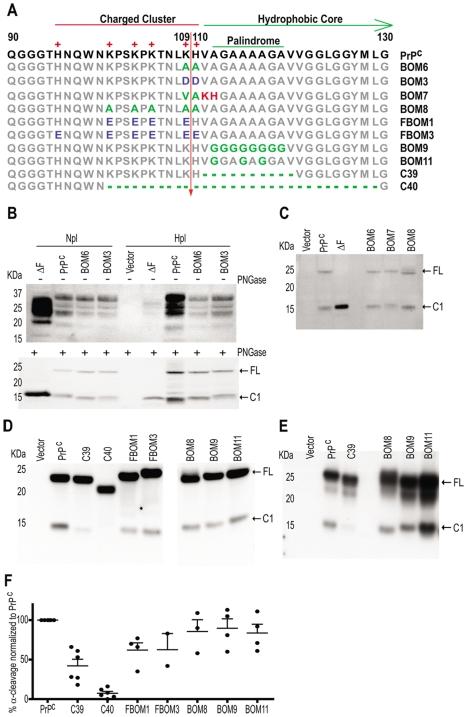
The cellular form of the prion protein, PrP(C), undergoes extensive proteolysis at the alpha site (109K [see text]H110). Expression of non-cleavable PrP(C) mutants in transgenic mice correlates with neurotoxicity, suggesting that alpha-cleavage is important for PrP(C) physiology. To gain insights into the mechanisms of alpha-cleavage, we generated a library of PrP(C) mutants with mutations in the region neighbouring the alpha-cleavage site. The prevalence of C1, the carboxy adduct of alpha-cleavage, was determined for each mutant. In cell lines of disparate origin, C1 prevalence was unaffected by variations in charge and hydrophobicity of the region neighbouring the alpha-cleavage site, and by substitutions of the residues in the palindrome that flanks this site. Instead, alpha-cleavage was size-dependently impaired by deletions within the domain 106-119. Almost no cleavage was observed upon full deletion of this domain. These results suggest that alpha-cleavage is executed by an alpha-PrPase whose activity, despite surprisingly limited sequence specificity, is dependent on the size of the central region of PrP(C).

摘要

朊病毒蛋白的细胞形式,PrP(C),在α位(109K [见正文]H110)经历广泛的蛋白水解。在转基因小鼠中表达不可切割的 PrP(C)突变体与神经毒性相关,表明α切割对于 PrP(C)生理学很重要。为了深入了解α切割的机制,我们生成了一个位于α切割位点附近区域的 PrP(C)突变体文库。确定了每个突变体中 C1(α切割的羧基加合物)的流行率。在不同起源的细胞系中,α切割位点附近区域的电荷和疏水性的变化以及该位点侧翼的回文序列中残基的取代均不会影响 C1 的流行率。相反,通过在 106-119 结构域内进行缺失,α切割会受到大小依赖性的损害。当完全删除该结构域时,几乎观察不到切割。这些结果表明,α切割是由一种α-PrPase 执行的,尽管其序列特异性惊人地有限,但该酶的活性依赖于 PrP(C)的中心区域的大小。

https://cdn.ncbi.nlm.nih.gov/pmc/blobs/c92e/2817006/b606b0799110/pone.0009107.g001.jpg

文献检索

告别复杂PubMed语法,用中文像聊天一样搜索,搜遍4000万医学文献。AI智能推荐,让科研检索更轻松。

立即免费搜索

文件翻译

保留排版,准确专业,支持PDF/Word/PPT等文件格式,支持 12+语言互译。

免费翻译文档

深度研究

AI帮你快速写综述,25分钟生成高质量综述,智能提取关键信息,辅助科研写作。

立即免费体验