Suppr超能文献

采用布朗特技术治疗的Gartland II型和III型肱骨髁上骨折的疗效

Outcome of Gartland type II and type III supracondylar fractures treated by Blount's technique.

作者信息

de Gheldere Antoine, Bellan Damien

机构信息

Department of Paediatric Orthopaedic Surgery, CHU Brabois, Children's Hospital, Rue du Morvan, F-54500, Vandoeuvre les Nancy, France.

出版信息

Indian J Orthop. 2010 Jan;44(1):89-94. doi: 10.4103/0019-5413.58612.

Abstract

BACKGROUND

According to some orthopedic surgeons, almost all supracondylar humerus fractures should be treated operatively by reduction and pinning. While according to others, closed reduction and immobolization should be used for Gartland type II and some type III fractures. However, the limit of this technique remains unclear. We present 74 patients with displaced extension-type supracondylar fractures treated by closed reduction and immobilization with a collar sling fixed to a cast around the wrist. The purpose of the study is to give a more precise limitation of this technique.

MATERIALS AND METHODS

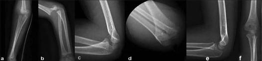
Retrospective data acquisition of 74 patients with a Gartland type II or type III fractures treated by closed reduction and immobilization (Blount's technique) between January 2004 and December 2007 was done. The mean age was 6.3 years (range, 2-11). The mean time of follow-up was 6.5 months (range, 3-25). All open injuries and complex elbow fracture dislocations or T-condylar fractures were excluded from the study. All patients were evaluated with standardized anteroposterior and true lateral x-rays of the elbow, and Flynn criteria were used for functional assessment.

RESULTS

Gartland type II fractures had 94% good or excellent final results. Gartland type III fractures had 73% good or excellent final result. The Gartland type III outcome depended on the displacement. The fractures remained stable in 88% for the posterior displacement, and 58% for the posteromedial displacement. These displacements were mild. However, for the posterolaterally displaced fractures, only 36% were stable; 36% had a mild displacement and 27% had a major displacement.

CONCLUSION

Pure posterior displacement is more stable than posteromedial displacement which is more stable than posterolaterally displaced fractures. This study suggests that Gartland type II and pure posterior or posteromedial displaced Gartland type III fractures can be treated by closed reduction and immobilization with success.

摘要

背景

一些骨科医生认为,几乎所有肱骨髁上骨折都应通过复位和穿针进行手术治疗。而另一些医生则认为,对于Gartland II型和部分III型骨折,应采用闭合复位和固定的方法。然而,这种技术的局限性尚不清楚。我们报告了74例移位的伸直型肱骨髁上骨折患者,采用闭合复位并用颈腕吊带固定于石膏上进行治疗。本研究的目的是更精确地界定该技术的局限性。

材料与方法

回顾性收集2004年1月至2007年12月期间采用闭合复位和固定(布朗特技术)治疗的74例Gartland II型或III型骨折患者的数据。平均年龄为6.3岁(范围2 - 11岁)。平均随访时间为6.5个月(范围3 - 25个月)。所有开放性损伤、复杂的肘关节骨折脱位或髁间骨折均被排除在研究之外。所有患者均接受标准化的肘关节正侧位X线检查,并采用弗林标准进行功能评估。

结果

Gartland II型骨折的最终结果94%为良好或优秀。Gartland III型骨折的最终结果73%为良好或优秀。Gartland III型骨折的结果取决于移位情况。对于后移位骨折,88%保持稳定;对于后内侧移位骨折,58%保持稳定。这些移位均较轻微。然而,对于后外侧移位骨折,只有36%保持稳定;36%有轻度移位,27%有严重移位。

结论

单纯后移位比后内侧移位更稳定,后内侧移位又比后外侧移位骨折更稳定。本研究表明,Gartland II型以及单纯后移位或后内侧移位的Gartland III型骨折可通过闭合复位和固定成功治疗。

https://cdn.ncbi.nlm.nih.gov/pmc/blobs/3236/2822426/de6aca5d0e4a/IJOrtho-44-89-g001.jpg

文献检索

告别复杂PubMed语法,用中文像聊天一样搜索,搜遍4000万医学文献。AI智能推荐,让科研检索更轻松。

立即免费搜索

文件翻译

保留排版,准确专业,支持PDF/Word/PPT等文件格式,支持 12+语言互译。

免费翻译文档

深度研究

AI帮你快速写综述,25分钟生成高质量综述,智能提取关键信息,辅助科研写作。

立即免费体验