Suppr超能文献

未确诊的早期骨髓纤维化导致痉挛性压迫性脊髓病的髓外造血:病例报告及文献复习

Extramedullary hemopoiesis with undiagnosed, early myelofibrosis causing spastic compressive myelopathy: Case report and review.

作者信息

Dewan Udita, Kumari Niraj, Jaiswal Awadesh, Behari Sanjay, Jain Manoj

机构信息

Department of Pathology, Sanjay Gandhi Postgraduate Institute of Medical Sciences, Lucknow, India.

出版信息

Indian J Orthop. 2010 Jan;44(1):98-103. doi: 10.4103/0019-5413.57281.

Abstract

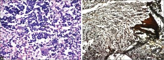
Extramedullary hemopoiesis (EMH) is a common compensatory phenomenon associated with chronic hemolytic anemia. Abnormal hemopoietic tissue usually develops in sites responsible for fetal hemopoiesis, such as spleen, liver and kidney; however, other regions such as the spine may also become involved. In this study, a patient presenting with spastic paraparesis due to EMH in the dorsal spine is described. A 62-year-old man presented with paraparesis. Magnetic resonance imaging revealed a large lesion involving the T2-L2 vertebral levels with a large extradural component causing thecal sac compression. Laminectomy with excision of mass was carried out. The histopathology revealed EMH. The patient had no known cause for EMH at the time of diagnosis but, subsequently, a bone marrow examination revealed early myelofibrosis. This case represents the rare occurrence of a large extradural extramedullary hematopoiesis in a patient with no known predisposing factor for hemopoiesis at the time of presentation.

摘要

髓外造血(EMH)是一种与慢性溶血性贫血相关的常见代偿现象。异常造血组织通常在负责胎儿造血的部位发展,如脾脏、肝脏和肾脏;然而,其他区域如脊柱也可能受累。在本研究中,描述了一名因胸椎髓外造血导致痉挛性截瘫的患者。一名62岁男性出现截瘫。磁共振成像显示一个大的病变累及T2-L2椎体水平,有一个大的硬膜外成分导致硬膜囊受压。进行了椎板切除术并切除肿块。组织病理学显示为髓外造血。该患者在诊断时没有已知的髓外造血病因,但随后骨髓检查显示早期骨髓纤维化。该病例代表了一例罕见的在就诊时无已知造血易感因素的患者出现大型硬膜外髓外造血的情况。

https://cdn.ncbi.nlm.nih.gov/pmc/blobs/e7ca/2822429/71119467b6bf/IJOrtho-44-98-g001.jpg

文献检索

告别复杂PubMed语法,用中文像聊天一样搜索,搜遍4000万医学文献。AI智能推荐,让科研检索更轻松。

立即免费搜索

文件翻译

保留排版,准确专业,支持PDF/Word/PPT等文件格式,支持 12+语言互译。

免费翻译文档

深度研究

AI帮你快速写综述,25分钟生成高质量综述,智能提取关键信息,辅助科研写作。

立即免费体验