Suppr超能文献

蒲公英橡胶颗粒的特性及其橡胶链的延伸

Characterization of rubber particles and rubber chain elongation in Taraxacum koksaghyz.

机构信息

Fraunhofer Institut für Molekularbiologie und Angewandte Okologie, Forckenbeckstr, 6, 52074 Aachen, Germany.

出版信息

BMC Biochem. 2010 Feb 19;11:11. doi: 10.1186/1471-2091-11-11.

Abstract

BACKGROUND

Natural rubber is a biopolymer with exceptional qualities that cannot be completely replaced using synthetic alternatives. Although several key enzymes in the rubber biosynthetic pathway have been isolated, mainly from plants such as Hevea brasiliensis, Ficus spec. and the desert shrub Parthenium argentatum, there have been no in planta functional studies, e.g. by RNA interference, due to the absence of efficient and reproducible protocols for genetic engineering. In contrast, the Russian dandelion Taraxacum koksaghyz, which has long been considered as a potential alternative source of low-cost natural rubber, has a rapid life cycle and can be genetically transformed using a simple and reliable procedure. However, there is very little molecular data available for either the rubber polymer itself or its biosynthesis in T. koksaghyz.

RESULTS

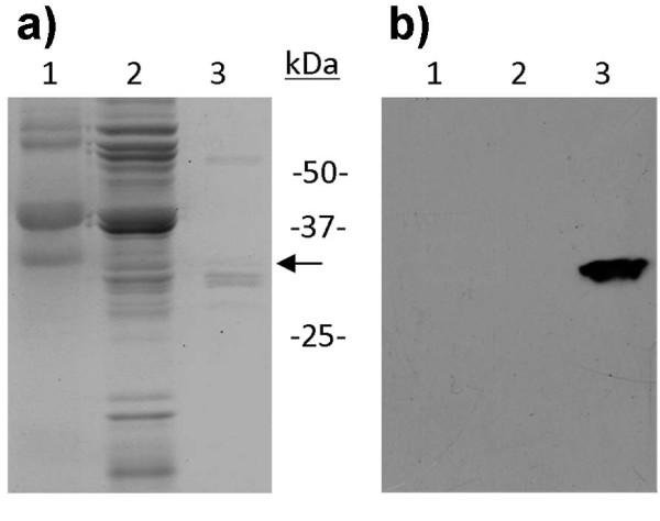
We established a method for the purification of rubber particles--the active sites of rubber biosynthesis--from T. koksaghyz latex. Photon correlation spectroscopy and transmission electron microscopy revealed an average particle size of 320 nm, and 13C nuclear magnetic resonance (NMR) spectroscopy confirmed that isolated rubber particles contain poly(cis-1,4-isoprene) with a purity > 95%. Size exclusion chromatography indicated that the weight average molecular mass (Mw) of T. koksaghyz natural rubber is 4,000-5,000 kDa. Rubber particles showed rubber transferase activity of 0.2 pmol min(-1) mg(-1). Ex vivo rubber biosynthesis experiments resulted in a skewed unimodal distribution of [1-14C]isopentenyl pyrophosphate (IPP) incorporation at a M of 2,500 kDa. Characterization of recently isolated cis-prenyltransferases (CPTs) from T. koksaghyz revealed that these enzymes are associated with rubber particles and are able to produce long-chain polyprenols in yeast.

CONCLUSIONS

T. koksaghyz rubber particles are similar to those described for H. brasiliensis. They contain very pure, high molecular mass poly(cis-1,4-isoprene) and the chain elongation process can be studied ex vivo. Because of their localization on rubber particles and their activity in yeast, we propose that the recently described T. koksaghyz CPTs are the major rubber chain elongating enzymes in this species. T. koksaghyz is amenable to genetic analysis and modification, and therefore could be used as a model species for the investigation and comparison of rubber biosynthesis.

摘要

背景

天然橡胶是一种具有特殊性质的生物聚合物,无法完全用合成替代品替代。尽管已经从巴西橡胶树、榕属植物和沙漠灌木银胶菊等植物中分离出了橡胶生物合成途径中的几种关键酶,但由于缺乏高效且可重复的遗传工程协议,尚未进行植物体内的功能研究,例如 RNA 干扰。相比之下,俄罗斯蒲公英 Taraxacum koksaghyz 长期以来一直被认为是低成本天然橡胶的潜在替代来源,它的生命周期很短,可以通过简单可靠的程序进行基因转化。然而,无论是 T. koksaghyz 中的橡胶聚合物本身还是其生物合成,都几乎没有分子数据。

结果

我们建立了一种从 T. koksaghyz 乳胶中纯化橡胶颗粒(橡胶生物合成的活性部位)的方法。光子相关光谱和透射电子显微镜显示平均粒径为 320nm,13C 核磁共振(NMR)光谱证实分离的橡胶颗粒含有纯度>95%的聚(顺-1,4-异戊二烯)。凝胶渗透色谱表明 T. koksaghyz 天然橡胶的重均分子量(Mw)为 4000-5000 kDa。橡胶颗粒的橡胶转移酶活性为 0.2pmol min(-1) mg(-1)。体外橡胶生物合成实验导致[1-14C]异戊烯焦磷酸(IPP)掺入的偏单峰分布在 Mw 为 2500 kDa。最近从 T. koksaghyz 中分离出的顺式 prenyltransferase(CPT)的特性表明,这些酶与橡胶颗粒相关,并且能够在酵母中产生长链聚异戊二烯。

结论

T. koksaghyz 橡胶颗粒与巴西橡胶树中描述的颗粒相似。它们含有非常纯净、高分子量的聚(顺-1,4-异戊二烯),并且可以在体外研究链延伸过程。由于它们定位于橡胶颗粒上并且在酵母中具有活性,我们提出最近描述的 T. koksaghyz CPT 是该物种中主要的橡胶链延伸酶。T. koksaghyz 易于进行遗传分析和修饰,因此可以用作研究和比较橡胶生物合成的模式物种。

https://cdn.ncbi.nlm.nih.gov/pmc/blobs/ae3c/2836272/f7a8a46bba8f/1471-2091-11-11-1.jpg

文献检索

告别复杂PubMed语法,用中文像聊天一样搜索,搜遍4000万医学文献。AI智能推荐,让科研检索更轻松。

立即免费搜索

文件翻译

保留排版,准确专业,支持PDF/Word/PPT等文件格式,支持 12+语言互译。

免费翻译文档

深度研究

AI帮你快速写综述,25分钟生成高质量综述,智能提取关键信息,辅助科研写作。

立即免费体验