• 文献检索
  • 文档翻译
  • 深度研究
  • 学术资讯
  • Suppr Zotero 插件Zotero 插件
  • 邀请有礼
  • 套餐&价格
  • 历史记录
应用&插件
Suppr Zotero 插件Zotero 插件浏览器插件Mac 客户端Windows 客户端微信小程序
定价
高级版会员购买积分包购买API积分包
服务
文献检索文档翻译深度研究API 文档MCP 服务
关于我们
关于 Suppr公司介绍联系我们用户协议隐私条款
关注我们

Suppr 超能文献

核心技术专利:CN118964589B侵权必究
粤ICP备2023148730 号-1Suppr @ 2026

文献检索

告别复杂PubMed语法,用中文像聊天一样搜索,搜遍4000万医学文献。AI智能推荐,让科研检索更轻松。

立即免费搜索

文件翻译

保留排版,准确专业,支持PDF/Word/PPT等文件格式,支持 12+语言互译。

免费翻译文档

深度研究

AI帮你快速写综述,25分钟生成高质量综述,智能提取关键信息,辅助科研写作。

立即免费体验

伴有穿孔的末端回肠毛粪石:一种罕见表现并文献复习

Terminal ileal trichophytobezoar with perforation: A rare presentation with review.

作者信息

Scorpio Ronald, Sharma Devesh

机构信息

Division of Pediatric Surgery, Geisinger Medical Center, 100 North Academy Ave, Danville, Pennsylvania, USA.

出版信息

J Indian Assoc Pediatr Surg. 2008 Jan;13(1):38-40. doi: 10.4103/0971-9261.42575.

DOI:10.4103/0971-9261.42575
PMID:20177488
原文链接:https://pmc.ncbi.nlm.nih.gov/articles/PMC2810826/
Abstract

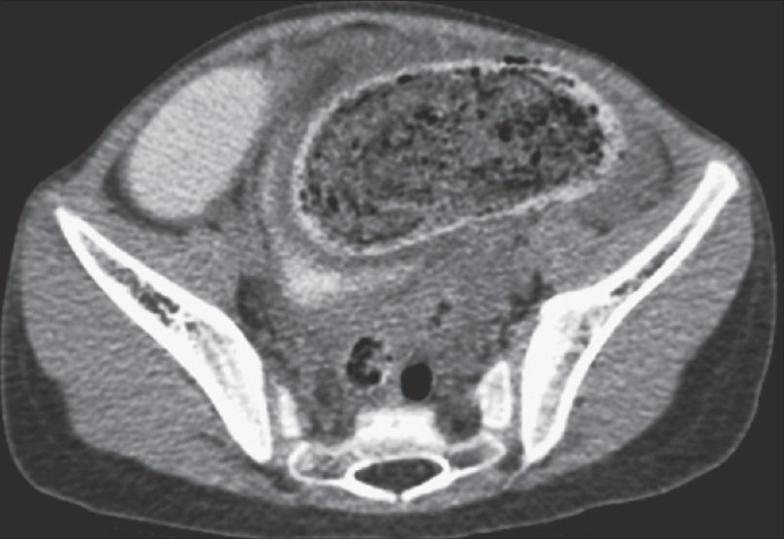
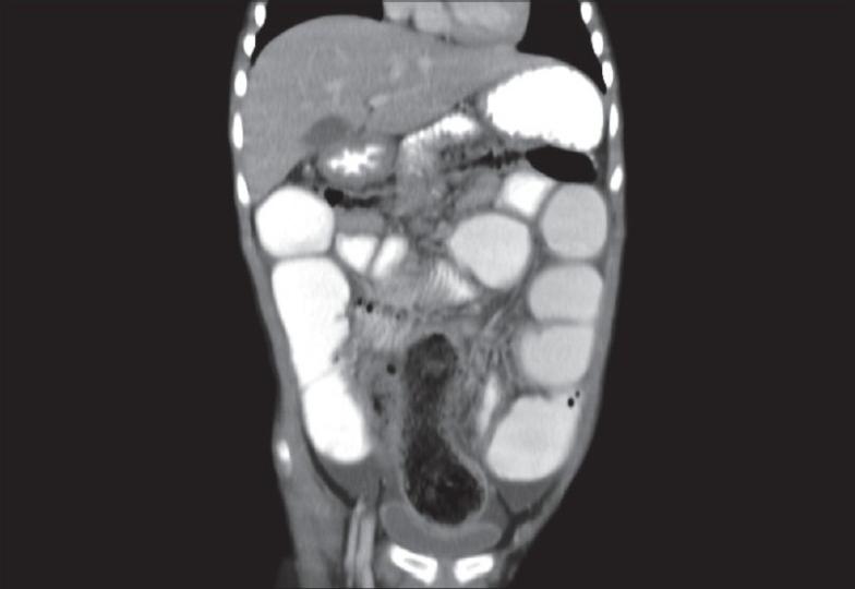
Trichophytobezoars are uncommon foreign bodies, formed by hairs and vegetable matter with impacted food particles. We report an unusual case of a 5-year-old girl with large terminal ileal trichophytobezoar causing perforation peritonitis.

摘要

毛发植物粪石是由毛发、植物物质和嵌塞的食物颗粒形成的罕见异物。我们报告了一例不寻常的病例,一名5岁女孩患有巨大的回肠末端毛发植物粪石,导致穿孔性腹膜炎。

https://cdn.ncbi.nlm.nih.gov/pmc/blobs/ad0f/2810826/49152ce6403d/JIAPS-13-38-g005.jpg
https://cdn.ncbi.nlm.nih.gov/pmc/blobs/ad0f/2810826/7e275ad512f8/JIAPS-13-38-g001.jpg
https://cdn.ncbi.nlm.nih.gov/pmc/blobs/ad0f/2810826/6539732d9c42/JIAPS-13-38-g002.jpg
https://cdn.ncbi.nlm.nih.gov/pmc/blobs/ad0f/2810826/40e838ce1409/JIAPS-13-38-g003.jpg
https://cdn.ncbi.nlm.nih.gov/pmc/blobs/ad0f/2810826/c6ec153221f1/JIAPS-13-38-g004.jpg
https://cdn.ncbi.nlm.nih.gov/pmc/blobs/ad0f/2810826/49152ce6403d/JIAPS-13-38-g005.jpg
https://cdn.ncbi.nlm.nih.gov/pmc/blobs/ad0f/2810826/7e275ad512f8/JIAPS-13-38-g001.jpg
https://cdn.ncbi.nlm.nih.gov/pmc/blobs/ad0f/2810826/6539732d9c42/JIAPS-13-38-g002.jpg
https://cdn.ncbi.nlm.nih.gov/pmc/blobs/ad0f/2810826/40e838ce1409/JIAPS-13-38-g003.jpg
https://cdn.ncbi.nlm.nih.gov/pmc/blobs/ad0f/2810826/c6ec153221f1/JIAPS-13-38-g004.jpg
https://cdn.ncbi.nlm.nih.gov/pmc/blobs/ad0f/2810826/49152ce6403d/JIAPS-13-38-g005.jpg

相似文献

1
Terminal ileal trichophytobezoar with perforation: A rare presentation with review.伴有穿孔的末端回肠毛粪石:一种罕见表现并文献复习
J Indian Assoc Pediatr Surg. 2008 Jan;13(1):38-40. doi: 10.4103/0971-9261.42575.
2
Endoscopic retrieval of gastric trichophytobezoar: Case report of a 12-year-old girl with trichophagia.内镜下取出胃毛植物性胃石:一名患食毛癖的12岁女孩的病例报告
Medicine (Baltimore). 2017 Jan;96(3):e5969. doi: 10.1097/MD.0000000000005969.
3
Ileal iterative spontaneous perforation from foreign body granuloma: problems of histopathologic diagnosis.异物肉芽肿导致的回肠反复自发性穿孔:组织病理学诊断问题
Rom J Morphol Embryol. 2009;50(4):749-52.
4
[An exceptional cause of peritonitis: ileal perforation due to a foreign body during reduction of an inguinal hernia].[腹膜炎的一个特殊病因:腹股沟疝还纳过程中异物导致的回肠穿孔]
Pan Afr Med J. 2018 Sep 18;31:37. doi: 10.11604/pamj.2018.31.37.11758. eCollection 2018.
5
Intestinal volvulus and perforation caused by multiple magnet ingestion: report of a case.多枚磁体摄入导致的肠扭转和穿孔:一例报告
Surg Today. 2007;37(1):50-2. doi: 10.1007/s00595-006-3330-6. Epub 2007 Jan 1.
6
Jejunal perforation due to ingested buffalo bone mimicking acute appendicitis.因误食水牛骨头导致空肠穿孔,酷似急性阑尾炎。
BMC Res Notes. 2016 Jun 24;9:321. doi: 10.1186/s13104-016-2127-y.
7
Toothpick-a rare cause of bowel perforation: case report and literature review.牙签——肠道穿孔的罕见原因:病例报告及文献综述
Radiol Case Rep. 2020 Aug 5;15(10):1799-1802. doi: 10.1016/j.radcr.2020.07.034. eCollection 2020 Oct.
8
Tubular Ileal Duplication Causing Perforative Peritonitis in an Adult: A Rare Presentation.成人回肠管状重复畸形致穿孔性腹膜炎:一种罕见表现
Surg J (N Y). 2021 Feb 1;7(1):e14-e17. doi: 10.1055/s-0040-1722180. eCollection 2021 Jan.
9
Esophagoaortic perforation by foreign body (coin) causing sudden death in a 3-year-old child.异物(硬币)致食管主动脉穿孔导致一名3岁儿童猝死
Am J Forensic Med Pathol. 1999 Jun;20(2):184-8. doi: 10.1097/00000433-199906000-00016.
10
Puerperal ileal perforation secondary to endometriosis: Case report and literature review.子宫内膜异位症继发产褥期回肠穿孔:病例报告及文献复习
Taiwan J Obstet Gynecol. 2016 Feb;55(1):121-4. doi: 10.1016/j.tjog.2014.06.010.

引用本文的文献

1
Endoscopic retrieval of gastric trichophytobezoar: Case report of a 12-year-old girl with trichophagia.内镜下取出胃毛植物性胃石:一名患食毛癖的12岁女孩的病例报告
Medicine (Baltimore). 2017 Jan;96(3):e5969. doi: 10.1097/MD.0000000000005969.
2
Large gastric wood bezoar: Anesthesia implications.巨大胃木质胃石:麻醉相关问题
J Anaesthesiol Clin Pharmacol. 2016 Jul-Sep;32(3):400-1. doi: 10.4103/0970-9185.168173.

本文引用的文献

1
Trichobezoar in children; review of the literature and report of two cases.儿童毛粪石;文献综述及两例报告
AMA Am J Dis Child. 1951 Jun;81(6):753-61.
2
[The Rapunzel syndrome - a case report: trichobezoar as a cause of intestinal perforation].[长发公主综合征——病例报告:毛发石作为肠穿孔的原因]
J Pediatr (Rio J). 2000 Jan-Feb;76(1):83-6. doi: 10.2223/jped.806.
3
Small bowel obstruction and covered perforation in childhood caused by bizarre bezoars and foreign bodies.儿童期由奇异胃石和异物引起的小肠梗阻及有覆盖物的穿孔。
Isr Med Assoc J. 2000 Feb;2(2):129-31.
4
The Rapunzel syndrome (trichobezoar) causing gastric perforation in a child: a case report.导致儿童胃穿孔的长发公主综合征(毛粪石):一例报告
Eur J Pediatr. 1996 Jan;155(1):18-9. doi: 10.1007/BF02115620.
5
Trichobezoars.毛发石
Aust N Z J Surg. 1994 Apr;64(4):281-3. doi: 10.1111/j.1445-2197.1994.tb02207.x.
6
The fascinating history of bezoars.胃石的迷人历史。
Med J Aust. 1986;145(11-12):613-4.
7
Small bowel trichobezoar with obstruction and perforation.
Indian Pediatr. 1979 Nov;16(11):1041-3.