• 文献检索
  • 文档翻译
  • 深度研究
  • 学术资讯
  • Suppr Zotero 插件Zotero 插件
  • 邀请有礼
  • 套餐&价格
  • 历史记录
应用&插件
Suppr Zotero 插件Zotero 插件浏览器插件Mac 客户端Windows 客户端微信小程序
定价
高级版会员购买积分包购买API积分包
服务
文献检索文档翻译深度研究API 文档MCP 服务
关于我们
关于 Suppr公司介绍联系我们用户协议隐私条款
关注我们

Suppr 超能文献

核心技术专利:CN118964589B侵权必究
粤ICP备2023148730 号-1Suppr @ 2026

文献检索

告别复杂PubMed语法,用中文像聊天一样搜索,搜遍4000万医学文献。AI智能推荐,让科研检索更轻松。

立即免费搜索

文件翻译

保留排版,准确专业,支持PDF/Word/PPT等文件格式,支持 12+语言互译。

免费翻译文档

深度研究

AI帮你快速写综述,25分钟生成高质量综述,智能提取关键信息,辅助科研写作。

立即免费体验

一种通过超折叠绿色荧光蛋白标签高水平生产烟草蚀纹病毒蛋白酶的新方法。

A novel method for high-level production of TEV protease by superfolder GFP tag.

作者信息

Wu Xudong, Wu Di, Lu Zhisheng, Chen Wentao, Hu Xiaojian, Ding Yu

机构信息

Department of Physiology and Biophysics, School of Life Sciences, Fudan University, Shanghai 200433, China.

出版信息

J Biomed Biotechnol. 2009;2009:591923. doi: 10.1155/2009/591923. Epub 2010 Feb 23.

DOI:10.1155/2009/591923
PMID:20182554
原文链接:https://pmc.ncbi.nlm.nih.gov/articles/PMC2826880/
Abstract

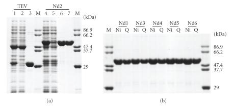
Because of its stringent sequence specificity, tobacco etch virus (TEV) protease is widely used to remove fusion tags from recombinant proteins. Due to the poor solubility of TEV protease, many strategies have been employed to increase the expression level of this enzyme. In our work, we introduced a novel method to produce TEV protease by using visible superfolder green fluorescent protein (sfGFP) as the fusion tag. The soluble production and catalytic activity of six variants of sfGFP-TEV was examined, and then the best variant was selected for large-scale production. After purified by Ni-NTA affinity chromatography and Q anion exchange chromatography, the best variant of sfGFP-TEV fusion protease was obtained with purity of over 98% and yield of over 320 mg per liter culture. The sfGFP-TEV had a similar catalytic activity to that of the original TEV protease. Our research showed a novel method of large-scale production of visible and functional TEV protease for structural genomics research and other applications.

摘要

由于烟草蚀纹病毒(TEV)蛋白酶具有严格的序列特异性,它被广泛用于从重组蛋白中去除融合标签。由于TEV蛋白酶的溶解性较差,人们采用了许多策略来提高这种酶的表达水平。在我们的工作中,我们引入了一种新方法,利用可见超折叠绿色荧光蛋白(sfGFP)作为融合标签来生产TEV蛋白酶。检测了sfGFP-TEV六种变体的可溶性表达和催化活性,然后选择最佳变体进行大规模生产。通过镍-氮三乙酸(Ni-NTA)亲和层析和Q阴离子交换层析纯化后,获得了纯度超过98%、每升培养物产量超过320毫克的sfGFP-TEV融合蛋白酶最佳变体。sfGFP-TEV具有与原始TEV蛋白酶相似的催化活性。我们的研究展示了一种用于结构基因组学研究和其他应用的大规模生产可见且具有功能的TEV蛋白酶的新方法。

https://cdn.ncbi.nlm.nih.gov/pmc/blobs/6a1f/2826880/d1490ba10cb6/JBB2009-591923.004.jpg
https://cdn.ncbi.nlm.nih.gov/pmc/blobs/6a1f/2826880/620161f3f619/JBB2009-591923.001.jpg
https://cdn.ncbi.nlm.nih.gov/pmc/blobs/6a1f/2826880/04f4f5037a10/JBB2009-591923.002.jpg
https://cdn.ncbi.nlm.nih.gov/pmc/blobs/6a1f/2826880/713dee214fe0/JBB2009-591923.003.jpg
https://cdn.ncbi.nlm.nih.gov/pmc/blobs/6a1f/2826880/d1490ba10cb6/JBB2009-591923.004.jpg
https://cdn.ncbi.nlm.nih.gov/pmc/blobs/6a1f/2826880/620161f3f619/JBB2009-591923.001.jpg
https://cdn.ncbi.nlm.nih.gov/pmc/blobs/6a1f/2826880/04f4f5037a10/JBB2009-591923.002.jpg
https://cdn.ncbi.nlm.nih.gov/pmc/blobs/6a1f/2826880/713dee214fe0/JBB2009-591923.003.jpg
https://cdn.ncbi.nlm.nih.gov/pmc/blobs/6a1f/2826880/d1490ba10cb6/JBB2009-591923.004.jpg

相似文献

1
A novel method for high-level production of TEV protease by superfolder GFP tag.一种通过超折叠绿色荧光蛋白标签高水平生产烟草蚀纹病毒蛋白酶的新方法。
J Biomed Biotechnol. 2009;2009:591923. doi: 10.1155/2009/591923. Epub 2010 Feb 23.
2
A combined approach to improving large-scale production of tobacco etch virus protease.一种提高烟草蚀纹病毒蛋白酶大规模生产的联合方法。
Protein Expr Purif. 2007 Sep;55(1):53-68. doi: 10.1016/j.pep.2007.04.013. Epub 2007 Apr 25.
3
Improved solubility of TEV protease by directed evolution.通过定向进化提高TEV蛋白酶的溶解度。
J Biotechnol. 2006 Feb 10;121(3):291-8. doi: 10.1016/j.jbiotec.2005.08.006. Epub 2005 Sep 15.
4
An improved strategy for high-level production of TEV protease in Escherichia coli and its purification and characterization.一种在大肠杆菌中高效生产烟草蚀纹病毒蛋白酶的改进策略及其纯化与表征
Protein Expr Purif. 2007 Jan;51(1):102-9. doi: 10.1016/j.pep.2006.07.003. Epub 2006 Jul 12.
5
Production, purification and characterization of a double-tagged TEV protease.双标签 TEV 蛋白酶的表达、纯化及鉴定。
Protein Expr Purif. 2022 Mar;191:106021. doi: 10.1016/j.pep.2021.106021. Epub 2021 Nov 16.
6
Removal of Affinity Tags with TEV Protease.使用TEV蛋白酶去除亲和标签。
Methods Mol Biol. 2017;1586:221-230. doi: 10.1007/978-1-4939-6887-9_14.
7
Single-step affinity and cost-effective purification of recombinant proteins using the Sepharose-binding lectin-tag from the mushroom Laetiporus sulphureus as fusion partner.使用来自硫磺多孔菌的琼脂糖结合凝集素标签作为融合伴侣,单步亲和且经济高效地纯化重组蛋白。
Protein Expr Purif. 2016 Mar;119:51-6. doi: 10.1016/j.pep.2015.11.004. Epub 2015 Nov 23.
8
Soluble expression of single-chain variable fragment (scFv) in Escherichia coli using superfolder green fluorescent protein as fusion partner.利用超级折叠绿色荧光蛋白作为融合伴侣在大肠杆菌中可溶性表达单链可变片段 (scFv)。
Appl Microbiol Biotechnol. 2019 Aug;103(15):6071-6079. doi: 10.1007/s00253-019-09925-6. Epub 2019 Jun 7.
9
Expression and Purification of Recombinant Proteins in Escherichia coli with a His or Dual His-MBP Tag.利用His标签或双His-MBP标签在大肠杆菌中表达和纯化重组蛋白
Methods Mol Biol. 2017;1607:1-15. doi: 10.1007/978-1-4939-7000-1_1.
10
Recombinant Passenger Proteins Can Be Conveniently Purified by One-Step Affinity Chromatography.重组乘客蛋白可通过一步亲和层析方便地纯化。
PLoS One. 2015 Dec 7;10(12):e0143598. doi: 10.1371/journal.pone.0143598. eCollection 2015.

引用本文的文献

1
Refining the Na1.7 pharmacophore of a class of venom-derived peptide inhibitors via a combination of in silico screening and rational engineering.通过计算机模拟筛选和理性工程相结合的方法优化一类源自毒液的肽抑制剂的Na1.7药效团
FEBS Lett. 2025 Jun;599(12):1717-1732. doi: 10.1002/1873-3468.70036. Epub 2025 Mar 29.
2
Native ESI-MS and Collision-Induced Unfolding (CIU) of the Complex between Bacterial Elongation Factor-Tu and the Antibiotic Enacyloxin IIa.天然电喷雾质谱(ESI-MS)和细菌延伸因子-Tu 与抗生素烯丙环素 IIa 复合物的碰撞诱导解折叠(CIU)。
J Am Soc Mass Spectrom. 2024 Jul 3;35(7):1490-1496. doi: 10.1021/jasms.4c00087. Epub 2024 Jun 3.
3

本文引用的文献

1
Using green and red fluorescent proteins to teach protein expression, purification, and crystallization.利用绿色和红色荧光蛋白讲解蛋白质的表达、纯化及结晶。
Biochem Mol Biol Educ. 2008 Jan;36(1):43-54. doi: 10.1002/bmb.117.
2
Enhancing the stability and solubility of TEV protease using in silico design.利用计算机辅助设计提高TEV蛋白酶的稳定性和溶解性。
Protein Sci. 2007 Nov;16(11):2360-7. doi: 10.1110/ps.072822507. Epub 2007 Sep 28.
3
A combined approach to improving large-scale production of tobacco etch virus protease.一种提高烟草蚀纹病毒蛋白酶大规模生产的联合方法。
Advancing large-scale production of TEV protease through an innovative NT* tag-based fusion construct.
通过基于创新的NT*标签的融合构建体推进TEV蛋白酶的大规模生产。
Curr Res Struct Biol. 2023 Sep 30;6:100106. doi: 10.1016/j.crstbi.2023.100106. eCollection 2023.
4
Structural insights into ubiquitin chain cleavage by ovarian tumor deubiquitinases.卵巢肿瘤去泛素化酶对泛素链切割的结构见解。
Life Sci Alliance. 2023 Apr 26;6(7). doi: 10.26508/lsa.202201876. Print 2023 Jul.
5
Design of programmable post-translational switch control platform for on-demand protein secretion in mammalian cells.可编程的翻译后开关控制平台设计,用于按需在哺乳动物细胞中分泌蛋白质。
Nucleic Acids Res. 2023 Jan 11;51(1):e1. doi: 10.1093/nar/gkac916.
6
Fluorescence dequenching assay for the activity of TEV protease.用于 TEV 蛋白酶活性的荧光淬灭分析。
Anal Biochem. 2022 Dec 15;659:114954. doi: 10.1016/j.ab.2022.114954. Epub 2022 Oct 18.
7
The use of high-affinity polyhistidine binders as masking probes for the selection of an NDM-1 specific aptamer.利用高亲和力多组氨酸结合物作为掩蔽探针筛选针对 NDM-1 的适体。
Sci Rep. 2022 May 13;12(1):7936. doi: 10.1038/s41598-022-12062-2.
8
The extracellular juncture domains in the intimin passenger adopt a constitutively extended conformation inducing restraints to its sphere of action.紧密素乘客体中的细胞外连接结构域呈组成型延伸构象,对其作用范围产生约束。
Sci Rep. 2020 Dec 4;10(1):21249. doi: 10.1038/s41598-020-77706-7.
9
Bacterial OTU deubiquitinases regulate substrate ubiquitination upon Legionella infection.细菌 OTU 去泛素化酶在军团菌感染时调节底物泛素化。
Elife. 2020 Nov 13;9:e58277. doi: 10.7554/eLife.58277.
10
Heterologous expression of plant glycosyltransferases for biochemistry and structural biology.植物糖基转移酶的异源表达在生物化学和结构生物学中的应用。
Methods Cell Biol. 2020;160:145-165. doi: 10.1016/bs.mcb.2020.05.002. Epub 2020 Jun 13.
Protein Expr Purif. 2007 Sep;55(1):53-68. doi: 10.1016/j.pep.2007.04.013. Epub 2007 Apr 25.
4
A fluorogenic substrate as quantitative in vivo reporter to determine protein expression and folding of tobacco etch virus protease in Escherichia coli.一种作为体内定量报告分子的荧光底物,用于测定烟草蚀纹病毒蛋白酶在大肠杆菌中的蛋白质表达和折叠情况。
Protein Expr Purif. 2007 Apr;52(2):478-84. doi: 10.1016/j.pep.2006.10.019. Epub 2006 Nov 7.
5
An improved strategy for high-level production of TEV protease in Escherichia coli and its purification and characterization.一种在大肠杆菌中高效生产烟草蚀纹病毒蛋白酶的改进策略及其纯化与表征
Protein Expr Purif. 2007 Jan;51(1):102-9. doi: 10.1016/j.pep.2006.07.003. Epub 2006 Jul 12.
6
Engineering and characterization of a superfolder green fluorescent protein.超折叠绿色荧光蛋白的工程设计与特性研究
Nat Biotechnol. 2006 Jan;24(1):79-88. doi: 10.1038/nbt1172. Epub 2005 Dec 20.
7
Comparison of SUMO fusion technology with traditional gene fusion systems: enhanced expression and solubility with SUMO.SUMO融合技术与传统基因融合系统的比较:SUMO增强表达和溶解性。
Protein Sci. 2006 Jan;15(1):182-9. doi: 10.1110/ps.051812706. Epub 2005 Dec 1.
8
Improved solubility of TEV protease by directed evolution.通过定向进化提高TEV蛋白酶的溶解度。
J Biotechnol. 2006 Feb 10;121(3):291-8. doi: 10.1016/j.jbiotec.2005.08.006. Epub 2005 Sep 15.
9
Protein production by auto-induction in high density shaking cultures.通过高密度摇瓶培养中的自诱导进行蛋白质生产。
Protein Expr Purif. 2005 May;41(1):207-34. doi: 10.1016/j.pep.2005.01.016.
10
Expression and purification of recombinant cytoplasmic domain of human erythrocyte band 3 with hexahistidine tag or chitin-binding tag in Escherichia coli.在大肠杆菌中表达并纯化带有六组氨酸标签或几丁质结合标签的人红细胞带3重组胞质结构域。
Protein Expr Purif. 2004 Apr;34(2):167-75. doi: 10.1016/j.pep.2003.10.019.