• 文献检索
  • 文档翻译
  • 深度研究
  • 学术资讯
  • Suppr Zotero 插件Zotero 插件
  • 邀请有礼
  • 套餐&价格
  • 历史记录
应用&插件
Suppr Zotero 插件Zotero 插件浏览器插件Mac 客户端Windows 客户端微信小程序
定价
高级版会员购买积分包购买API积分包
服务
文献检索文档翻译深度研究API 文档MCP 服务
关于我们
关于 Suppr公司介绍联系我们用户协议隐私条款
关注我们

Suppr 超能文献

核心技术专利:CN118964589B侵权必究
粤ICP备2023148730 号-1Suppr @ 2026

文献检索

告别复杂PubMed语法,用中文像聊天一样搜索,搜遍4000万医学文献。AI智能推荐,让科研检索更轻松。

立即免费搜索

文件翻译

保留排版,准确专业,支持PDF/Word/PPT等文件格式,支持 12+语言互译。

免费翻译文档

深度研究

AI帮你快速写综述,25分钟生成高质量综述,智能提取关键信息,辅助科研写作。

立即免费体验

膀胱癌患者中酷似腹膜播散的良性脾组织植入:一例报告

Benign splenosis mimicking peritoneal seeding in a bladder cancer patient: a case report.

作者信息

Rizzo Stefania, Monfardini Lorenzo, Belmonte Maddalena, Rocco Bernardo, Belloni Massimo

机构信息

Department of Radiology, European Institute of Oncology, via Ripamonti 435, Milan, 20141, Italy.

出版信息

Cases J. 2009 Sep 11;2:8982. doi: 10.1186/1757-1626-0002-0000008982.

DOI:10.1186/1757-1626-0002-0000008982
PMID:20184706
原文链接:https://pmc.ncbi.nlm.nih.gov/articles/PMC2827057/
Abstract

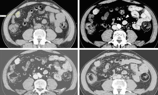
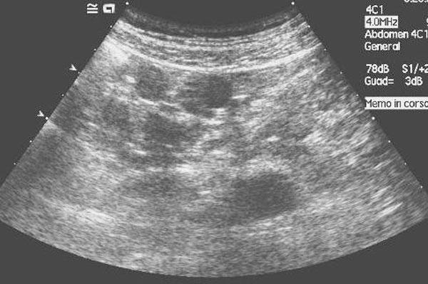
INTRODUCTION

Splenosis is a post-traumatic autotrasplantation and proliferation of splenic tissue in ectopic sites. These implants may mimic malignancy in healthy patients or peritoneal metastases in cancer patients. When a previous history of splenic injury is known, the finding of soft tissue nodules in many thoracic and abdominal locations might raise the suspicion of the benign condition of splenosis, in order to avoid unnecessary surgery or chemotherapy.

CASE PRESENTATION

A 56-year-old man with history of persistent hematuria from bladder cancer was referred to our Institution for suspected peritoneal carcinosis. For staging purposes he underwent abdominal computed tomography and ultrasound. The integration of patient's history and imaging results led to the diagnosis of peritoneal splenosis. The patient therefore underwent regular Trans Urethral Resection of Bladder for the known malignancy; while no treatment was necessary for splenosis. Two years follow-up was negative for metastases.

CONCLUSION

Splenosis is a benign condition after traumatic splenectomy which should be taken into account in the differential diagnosis with peritoneal seeding of malignancy because its appearance may resemble malignancy.

摘要

引言

脾组织移植是脾组织在创伤后于异位部位进行自体移植和增殖。这些植入物在健康患者中可能类似恶性肿瘤,在癌症患者中可能类似腹膜转移瘤。当已知有脾损伤既往史时,在许多胸腹部位置发现软组织结节可能会引发对脾组织移植这一良性病症的怀疑,以避免不必要的手术或化疗。

病例介绍

一名56岁男性,有膀胱癌导致持续性血尿病史,因疑似腹膜癌转移被转诊至我院。为进行分期评估,他接受了腹部计算机断层扫描和超声检查。综合患者病史和影像学结果,诊断为腹膜脾组织移植。因此,该患者因已知的恶性肿瘤接受了常规经尿道膀胱肿瘤切除术;而脾组织移植无需治疗。两年随访未发现转移。

结论

脾组织移植是外伤性脾切除术后的一种良性病症,在与恶性肿瘤腹膜播散的鉴别诊断中应予以考虑,因为其表现可能类似恶性肿瘤。

https://cdn.ncbi.nlm.nih.gov/pmc/blobs/ee3d/2827057/9076eb2f3bf4/1757-1626-0002-0000008982-2.jpg
https://cdn.ncbi.nlm.nih.gov/pmc/blobs/ee3d/2827057/632a1f57cd35/1757-1626-0002-0000008982-1.jpg
https://cdn.ncbi.nlm.nih.gov/pmc/blobs/ee3d/2827057/9076eb2f3bf4/1757-1626-0002-0000008982-2.jpg
https://cdn.ncbi.nlm.nih.gov/pmc/blobs/ee3d/2827057/632a1f57cd35/1757-1626-0002-0000008982-1.jpg
https://cdn.ncbi.nlm.nih.gov/pmc/blobs/ee3d/2827057/9076eb2f3bf4/1757-1626-0002-0000008982-2.jpg

相似文献

1
Benign splenosis mimicking peritoneal seeding in a bladder cancer patient: a case report.膀胱癌患者中酷似腹膜播散的良性脾组织植入:一例报告
Cases J. 2009 Sep 11;2:8982. doi: 10.1186/1757-1626-0002-0000008982.
2
Benign splenosis mimicking peritoneal seeding in a bladder cancer patient: a case report.膀胱癌患者中酷似腹膜种植的良性脾组织植入:一例报告
Cases J. 2009 Dec 9;2:9294. doi: 10.1186/1757-1626-2-9294.
3
Coincidence of Intra-Abdominal Splenosis in a Patient with Advanced Ovarian Cancer: Case Report and Review of the Literature.晚期卵巢癌患者合并腹腔内脾组织植入:病例报告及文献复习
Surg J (N Y). 2021 Jun 23;7(2):e116-e120. doi: 10.1055/s-0041-1731426. eCollection 2021 Apr.
4
Diffuse abdominal splenosis mimicking peritoneal metastases in a 35-year-old man with a resectable carcinoma of the ampulla of vater.一名35岁患有可切除性 Vater壶腹癌的男性,出现酷似腹膜转移的弥漫性腹腔脾组织植入。
Case Rep Oncol. 2013 Sep 14;6(3):467-71. doi: 10.1159/000355233. eCollection 2013.
5
Splenosis: a great mimicker of neoplastic disease.脾组织异位症:一种极具肿瘤性疾病特征的病变。
Abdom Radiol (NY). 2018 Nov;43(11):3054-3059. doi: 10.1007/s00261-018-1601-5.
6
Splenosis mimicking an extramural duodenal mass: A case report.酷似十二指肠壁外肿物的脾组织植入:一例报告
Oncol Lett. 2014 Dec;8(6):2811-2813. doi: 10.3892/ol.2014.2609. Epub 2014 Oct 10.
7
Abdominal splenosis mimicking peritoneal deposits - A case report.酷似腹膜种植的腹部脾组织植入——病例报告
Pan Afr Med J. 2014 Apr 12;17:269. doi: 10.11604/pamj.2014.17.269.3413. eCollection 2014.
8
Subcutaneous Splenosis Presenting 37 years post-traumatic splenectomy; A Case Report.创伤后脾切除37年后出现的皮下脾种植;病例报告
Int J Surg Case Rep. 2022 May;94:107018. doi: 10.1016/j.ijscr.2022.107018. Epub 2022 Apr 2.
9
Parenchymal thoracic splenosis: history and nuclear imaging without invasive procedures may provide diagnosis.实质性胸腔脾组织植入:病史及无需侵入性操作的核成像检查可能有助于诊断。
J Clin Med Res. 2010 Aug 18;2(4):180-4. doi: 10.4021/jocmr401w.
10
Intra-abdominal splenosis mimicking metastatic cancer.腹腔内脾组织假性转移瘤,酷似转移性癌。
Am J Med Sci. 2011 Mar;341(3):246-9. doi: 10.1097/maj.0b013e318202893f.

引用本文的文献

1
The Benign Side of the Abdominal Wall: A Pictorial Review of Non-Neoplastic Diseases.腹壁的良性病变:非肿瘤性疾病的图谱综述
Diagnostics (Basel). 2022 Dec 17;12(12):3211. doi: 10.3390/diagnostics12123211.
2
Splenic scintigraphy-reloaded: Pulmonary and pleural lesions proven to be splenosis by heat-damaged erythrocyte scintigraphy.脾脏闪烁扫描术新进展:经热损伤红细胞闪烁扫描术证实为脾组织异位的肺部及胸膜病变
Radiol Case Rep. 2022 Sep 24;17(12):4466-4469. doi: 10.1016/j.radcr.2022.08.098. eCollection 2022 Dec.
3
Incidental splenosis discovered during robotic assisted radical prostatectomy: A case report.

本文引用的文献

1
Intrahepatic splenosis with severe iron deposition presenting with atypical magnetic resonance images.
Intern Med. 2008;47(8):743-6. doi: 10.2169/internalmedicine.47.0689. Epub 2008 Apr 16.
2
A case of multiple intra-abdominal splenosis with computed tomography and magnetic resonance imaging correlative findings.一例腹部多发脾组织异位的计算机断层扫描和磁共振成像相关表现
World J Gastroenterol. 2008 Mar 7;14(9):1453-5. doi: 10.3748/wjg.14.1453.
3
Intrahepatic and widely distributed intraabdominal splenosis: multidetector CT, US and scintigraphic findings.肝内及广泛分布的腹腔内脾组织异位:多排螺旋CT、超声及闪烁扫描结果
机器人辅助根治性前列腺切除术中偶然发现的脾组织自体移植:一例报告。
Urol Case Rep. 2022 Sep 6;45:102209. doi: 10.1016/j.eucr.2022.102209. eCollection 2022 Nov.
4
Abdominal and pelvic splenosis: atypical findings, pitfalls, and mimics.腹部和盆腔脾组织植入症:非典型表现、陷阱和类似物。
Abdom Radiol (NY). 2022 Mar;47(3):923-947. doi: 10.1007/s00261-021-03402-3. Epub 2022 Jan 25.
5
Case report of tc-99m sulfur colloid single-photon emission computed tomography/computed tomography study differentiating tumor from accessory spleen.锝-99m硫胶体单光子发射计算机断层扫描/计算机断层扫描研究鉴别肿瘤与副脾的病例报告
World J Nucl Med. 2013 Sep;12(3):129-31. doi: 10.4103/1450-1147.136740.
Intern Emerg Med. 2008 Sep;3(3):265-7. doi: 10.1007/s11739-008-0112-8. Epub 2008 Feb 9.
4
Splenosis: a review.脾组织植入:综述
South Med J. 2007 Jun;100(6):589-93. doi: 10.1097/SMJ.0b013e318038d1f8.
5
Consider the diagnosis of splenosis for soft tissue masses long after any splenic injury.对于任何脾脏损伤后很长时间出现的软组织肿块,应考虑脾组织异位的诊断。
Am Surg. 2004 Nov;70(11):967-70.
6
Intrahepatic accessory spleen: imaging features.
Liver Int. 2004 Jun;24(3):216-7. doi: 10.1111/j.1478-3231.2004.00915.x.
7
MR features of abdominal splenosis.腹部副脾的磁共振成像特征。
AJR Am J Roentgenol. 2003 Feb;180(2):493-6. doi: 10.2214/ajr.180.2.1800493.
8
Intrahepatic splenosis: imaging features.肝内脾组织异位:影像学特征
Abdom Imaging. 2000 Mar-Apr;25(2):187-9. doi: 10.1007/s002619910042.
9
Pelvic splenosis mimicking endometriosis, causing low abdominal mass and pain.酷似子宫内膜异位症的盆腔脾组织植入,导致下腹部肿块和疼痛。
Hum Reprod. 1998 Jun;13(6):1683-5. doi: 10.1093/humrep/13.6.1683.
10
Intrahepatic splenosis mimicking hepatic adenoma.
AJR Am J Roentgenol. 1997 Mar;168(3):725-6. doi: 10.2214/ajr.168.3.9057523.