• 文献检索
  • 文档翻译
  • 深度研究
  • 学术资讯
  • Suppr Zotero 插件Zotero 插件
  • 邀请有礼
  • 套餐&价格
  • 历史记录
应用&插件
Suppr Zotero 插件Zotero 插件浏览器插件Mac 客户端Windows 客户端微信小程序
定价
高级版会员购买积分包购买API积分包
服务
文献检索文档翻译深度研究API 文档MCP 服务
关于我们
关于 Suppr公司介绍联系我们用户协议隐私条款
关注我们

Suppr 超能文献

核心技术专利:CN118964589B侵权必究
粤ICP备2023148730 号-1Suppr @ 2026

文献检索

告别复杂PubMed语法,用中文像聊天一样搜索,搜遍4000万医学文献。AI智能推荐,让科研检索更轻松。

立即免费搜索

文件翻译

保留排版,准确专业,支持PDF/Word/PPT等文件格式,支持 12+语言互译。

免费翻译文档

深度研究

AI帮你快速写综述,25分钟生成高质量综述,智能提取关键信息,辅助科研写作。

立即免费体验

基于微阵列的颞窝蛛网膜囊肿基因表达谱分析及DNA拷贝数变异分析

Microarray-based gene expression profiling and DNA copy number variation analysis of temporal fossa arachnoid cysts.

作者信息

Aarhus Mads, Helland Christian A, Lund-Johansen Morten, Wester Knut, Knappskog Per M

机构信息

Centre for Medical Genetics and Molecular Medicine, Haukeland University Hospital, Bergen, Norway.

出版信息

Cerebrospinal Fluid Res. 2010 Feb 26;7:6. doi: 10.1186/1743-8454-7-6.

DOI:10.1186/1743-8454-7-6
PMID:20187927
原文链接:https://pmc.ncbi.nlm.nih.gov/articles/PMC2841093/
Abstract

BACKGROUND

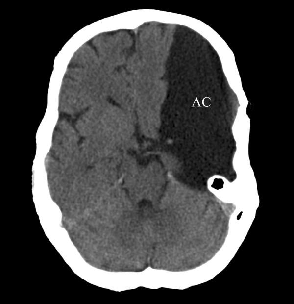
Intracranial arachnoid cysts (AC) are membranous sacs filled with CSF-like fluid that are commonly found in the temporal fossa. The majority of ACs are congenital. Typical symptoms are headache, dizziness, and dyscognition. Little is known about genes that contribute to the formation of the cyst membranes.

METHODS

In order to identify differences in gene expression between normal arachnoid membrane (AM) and cyst membrane, we have performed a high-resolution mRNA microarray analysis. In addition we have screened DNA from AC samples for chromosomal duplications or deletions using DNA microarray-based copy number variation analysis.

RESULTS

The transcriptome consisting of 33096 gene probes showed a near-complete similarity in expression between AC and AM samples. Only nine genes differed in expression between the two tissues: ASGR1, DPEP2, SOX9, SHROOM3, A2BP1, ATP10D, TRIML1, NMU were down regulated, whereas BEND5 was up regulated in the AC samples. Three of the AC samples had unreported human DNA copy number variations, all DNA gains.

CONCLUSIONS

Extending results of previous anatomical studies, the present study has identified a small subset of differentially expressed genes and DNA alterations in arachnoid cysts compared to normal arachnoid membrane.

摘要

背景

颅内蛛网膜囊肿(AC)是充满脑脊液样液体的膜性囊,常见于颞窝。大多数AC是先天性的。典型症状为头痛、头晕和认知障碍。关于促成囊肿膜形成的基因知之甚少。

方法

为了鉴定正常蛛网膜(AM)和囊肿膜之间的基因表达差异,我们进行了高分辨率mRNA微阵列分析。此外,我们使用基于DNA微阵列的拷贝数变异分析,对AC样本的DNA进行染色体重复或缺失筛查。

结果

由33096个基因探针组成的转录组显示,AC和AM样本之间的表达几乎完全相似。两种组织之间只有9个基因表达不同:ASGR1、DPEP2、SOX9、SHROOM3、A2BP1、ATP10D、TRIML1、NMU下调,而BEND5在AC样本中上调。3个AC样本存在未报告的人类DNA拷贝数变异,均为DNA增加。

结论

本研究扩展了先前解剖学研究的结果,确定了与正常蛛网膜相比,蛛网膜囊肿中一小部分差异表达基因和DNA改变。

https://cdn.ncbi.nlm.nih.gov/pmc/blobs/50aa/2841093/96530fb4c22e/1743-8454-7-6-3.jpg
https://cdn.ncbi.nlm.nih.gov/pmc/blobs/50aa/2841093/437b58cc4950/1743-8454-7-6-1.jpg
https://cdn.ncbi.nlm.nih.gov/pmc/blobs/50aa/2841093/91f54cb17293/1743-8454-7-6-2.jpg
https://cdn.ncbi.nlm.nih.gov/pmc/blobs/50aa/2841093/96530fb4c22e/1743-8454-7-6-3.jpg
https://cdn.ncbi.nlm.nih.gov/pmc/blobs/50aa/2841093/437b58cc4950/1743-8454-7-6-1.jpg
https://cdn.ncbi.nlm.nih.gov/pmc/blobs/50aa/2841093/91f54cb17293/1743-8454-7-6-2.jpg
https://cdn.ncbi.nlm.nih.gov/pmc/blobs/50aa/2841093/96530fb4c22e/1743-8454-7-6-3.jpg

相似文献

1
Microarray-based gene expression profiling and DNA copy number variation analysis of temporal fossa arachnoid cysts.基于微阵列的颞窝蛛网膜囊肿基因表达谱分析及DNA拷贝数变异分析
Cerebrospinal Fluid Res. 2010 Feb 26;7:6. doi: 10.1186/1743-8454-7-6.
2
Increased NKCC1 expression in arachnoid cysts supports secretory basis for cyst formation.蛛网膜囊肿中 NKCC1 表达增加支持囊肿形成的分泌基础。
Exp Neurol. 2010 Aug;224(2):424-8. doi: 10.1016/j.expneurol.2010.05.002. Epub 2010 May 21.
3
Protein profiling reveals inter-individual protein homogeneity of arachnoid cyst fluid and high qualitative similarity to cerebrospinal fluid.蛋白质谱分析显示蛛网膜囊肿液在个体间具有蛋白质同源性,且其蛋白质组成与脑脊液高度相似。
Fluids Barriers CNS. 2011 May 20;8:19. doi: 10.1186/2045-8118-8-19.
4
Quantitative proteomics comparison of arachnoid cyst fluid and cerebrospinal fluid collected perioperatively from arachnoid cyst patients.蛛网膜囊肿患者围手术期采集的蛛网膜囊肿液和脑脊液的定量蛋白质组学比较。
Fluids Barriers CNS. 2013 Apr 29;10(1):17. doi: 10.1186/2045-8118-10-17.
5
Shunt placement after cyst fenestration for middle cranial fossa arachnoid cysts in children.儿童中颅窝蛛网膜囊肿囊肿开窗术后分流管置入
J Neurosurg Pediatr. 2015 Nov;16(5):533-539. doi: 10.3171/2015.3.PEDS14573. Epub 2015 Jul 31.
6
[Endoscopic fenestration of arachnoid cyst of posterior cranial fossa through third ventriculostomy].[经第三脑室造瘘术行后颅窝蛛网膜囊肿内镜开窗术]
Zh Vopr Neirokhir Im N N Burdenko. 2021;85(5):96-102. doi: 10.17116/neiro20218505196.
7
[Clinical study on intracranial arachnoid cyst: with reference to the middle cranial fossa].颅内蛛网膜囊肿的临床研究:以中颅窝为例
No Shinkei Geka. 1989 Feb;17(2):117-23.
8
Arachnoid cysts do not contain cerebrospinal fluid: A comparative chemical analysis of arachnoid cyst fluid and cerebrospinal fluid in adults.蛛网膜囊肿不含脑脊液:成人蛛网膜囊肿液与脑脊液的对比化学分析。
Cerebrospinal Fluid Res. 2010 Jun 10;7:8. doi: 10.1186/1743-8454-7-8.
9
Intracranial arachnoid cysts--do they impair mental functions?颅内蛛网膜囊肿——它们会损害心理功能吗?
J Neurol. 2008 Aug;255(8):1113-20. doi: 10.1007/s00415-008-0011-y. Epub 2008 Jul 28.
10
Temporal fossa arachnoid cyst presenting with bilateral subdural hematoma following trauma: two case reports.颞窝蛛网膜囊肿外伤后伴双侧硬膜下血肿:两例报告
J Med Case Rep. 2009 Feb 9;3:53. doi: 10.1186/1752-1947-3-53.

引用本文的文献

1
Familial and syndromic forms of arachnoid cyst implicate genetic factors in disease pathogenesis.蛛网膜囊肿的家族性和综合征形式表明遗传因素在疾病发病机制中起作用。
Cereb Cortex. 2023 Mar 10;33(6):3012-3025. doi: 10.1093/cercor/bhac257.
2
Dpep2 Emerging as a Modulator of Macrophage Inflammation Confers Protection Against CVB3-Induced Viral Myocarditis.Dpep2 作为巨噬细胞炎症的调节剂发挥作用,为柯萨奇病毒 B3 诱导的病毒性心肌炎提供保护。
Front Cell Infect Microbiol. 2019 Mar 7;9:57. doi: 10.3389/fcimb.2019.00057. eCollection 2019.
3
Familial arachnoid cysts: a review of 35 families.

本文引用的文献

1
Reports of Medical Cases, Selected with a View of Illustrating the Symptoms and Cure of Diseases, by a Reference to Morbid Anatomy.《医学病例报告》,旨在通过参考病理解剖来阐释疾病的症状与治疗方法而选编。
Med Chir Rev. 1831 Jul-Oct;15(30):289-330.
2
Copy number variants, diseases and gene expression.拷贝数变异、疾病与基因表达。
Hum Mol Genet. 2009 Apr 15;18(R1):R1-8. doi: 10.1093/hmg/ddp011.
3
Intracranial arachnoid cysts--do they impair mental functions?颅内蛛网膜囊肿——它们会损害心理功能吗?
家族性蛛网膜囊肿:35个家族的综述
Childs Nerv Syst. 2019 Apr;35(4):607-612. doi: 10.1007/s00381-019-04060-z. Epub 2019 Jan 23.
4
Neuropsychological improvement after posterior fossa arachnoid cyst drainage.后颅窝蛛网膜囊肿引流术后的神经心理学改善
Childs Nerv Syst. 2017 Jan;33(1):135-141. doi: 10.1007/s00381-016-3285-x. Epub 2016 Nov 10.
5
Diverse arachnoid cyst morphology indicates different pathophysiological origins.蛛网膜囊肿形态多样,表明其具有不同的病理生理起源。
Fluids Barriers CNS. 2014 Mar 3;11(1):5. doi: 10.1186/2045-8118-11-5.
6
Intracranial arachnoid cysts: impairment of higher cognitive functions and postoperative improvement.颅内蛛网膜囊肿:高级认知功能障碍及术后改善。
J Neurodev Disord. 2013 Aug 28;5(1):21. doi: 10.1186/1866-1955-5-21.
7
Intragenic deletion of RBFOX1 associated with neurodevelopmental/neuropsychiatric disorders and possibly other clinical presentations.与神经发育/神经精神疾病以及可能的其他临床表现相关的RBFOX1基因内缺失。
Mol Cytogenet. 2013 Jul 3;6(1):26. doi: 10.1186/1755-8166-6-26.
8
Quantitative proteomics comparison of arachnoid cyst fluid and cerebrospinal fluid collected perioperatively from arachnoid cyst patients.蛛网膜囊肿患者围手术期采集的蛛网膜囊肿液和脑脊液的定量蛋白质组学比较。
Fluids Barriers CNS. 2013 Apr 29;10(1):17. doi: 10.1186/2045-8118-10-17.
9
Mirror-image arachnoid cysts in a pair of monozygotic twins: a case report and review of the literature.镜像蛛网膜囊肿在一对同卵双胞胎中的病例报告及文献复习。
Int J Med Sci. 2011;8(5):402-5. doi: 10.7150/ijms.8.402. Epub 2011 Jun 22.
10
Protein profiling reveals inter-individual protein homogeneity of arachnoid cyst fluid and high qualitative similarity to cerebrospinal fluid.蛋白质谱分析显示蛛网膜囊肿液在个体间具有蛋白质同源性,且其蛋白质组成与脑脊液高度相似。
Fluids Barriers CNS. 2011 May 20;8:19. doi: 10.1186/2045-8118-8-19.
J Neurol. 2008 Aug;255(8):1113-20. doi: 10.1007/s00415-008-0011-y. Epub 2008 Jul 28.
4
Large recurrent microdeletions associated with schizophrenia.与精神分裂症相关的大型复发性微缺失
Nature. 2008 Sep 11;455(7210):232-6. doi: 10.1038/nature07229.
5
Microarray analysis reveals down-regulation of the tumour suppressor gene WWOX and up-regulation of the oncogene TYMS in intracranial sporadic meningiomas.微阵列分析显示,在颅内散发性脑膜瘤中,肿瘤抑制基因WWOX下调,而癌基因TYMS上调。
J Neurooncol. 2008 Jul;88(3):251-9. doi: 10.1007/s11060-008-9569-6. Epub 2008 Mar 26.
6
Incidental findings on brain MRI in the general population.普通人群脑磁共振成像的偶然发现。
N Engl J Med. 2007 Nov 1;357(18):1821-8. doi: 10.1056/NEJMoa070972.
7
Strong association of de novo copy number mutations with autism.新发拷贝数突变与自闭症的强关联。
Science. 2007 Apr 20;316(5823):445-9. doi: 10.1126/science.1138659. Epub 2007 Mar 15.
8
A population based study of intracranial arachnoid cysts: clinical and neuroimaging outcomes following surgical cyst decompression in adults.一项基于人群的颅内蛛网膜囊肿研究:成人手术囊肿减压后的临床和神经影像学结果
J Neurol Neurosurg Psychiatry. 2007 Oct;78(10):1129-35. doi: 10.1136/jnnp.2006.107995. Epub 2007 Feb 13.
9
Chemical analysis of fluid obtained from intracranial arachnoid cysts in pediatric patients.小儿颅内蛛网膜囊肿液体的化学分析。
J Neurosurg. 2005 Nov;103(5 Suppl):427-32. doi: 10.3171/ped.2005.103.5.0427.
10
Differentiating campomelic dysplasia from Cumming syndrome.区分弯肢性发育异常与卡明综合征。
Am J Med Genet A. 2005 May 15;135(1):110-2. doi: 10.1002/ajmg.a.30650.